Tel:
+49 (0)241 95 163 153
Fax:
+49 (0)241 95 163 155
E-Mail:
orders@anticorps-enligne.fr

ACO2 Anticorps

(Aconitase 2, Mitochondrial (ACO2))

Choisissez l’un des 86 anticorps ACO2 de notre liste de produits basés sur 14 publications et 52 images de validation.

Découvrez des anticorps ACO2 fiables issus d’une large sélection de fabricants renommés. Notre portefeuille permet une détection précise de ACO2 dans plusieurs espèces, y compris Human, Mouse, Rat, Pig, Cow, C. elegans, Dog, Guinea Pig, Horse, Rabbit, Saccharomyces cerevisiae, Bat, Chicken, Hamster, Monkey, et prend en charge diverses applications de recherche telles que WB, IHC, ELISA, IF, IP.

Trouvez rapidement l’anticorps adapté grâce à nos outils de recherche, de filtrage et de comparaison. Chaque page produit fournit des données de validation détaillées, des références bibliographiques et des retours d’utilisateurs. Contrairement aux ressources dédiées uniquement à la comparaison, vous pouvez acheter directement les anticorps sur notre site. Choisissez parmi des anticorps polyclonaux, monoclonaux ou recombinants ACO2, issus de différents hôtes tels que Rabbit, Mouse, Goat. Parcourez nos produits ci-dessous et commandez directement pour soutenir vos recherches en toute confiance.

Les noms alternatifs de ACO2 sont ACO2, aco2.S, Bm1_07420, aco2, ach1, Aco2, aco-2.

86 Résultats

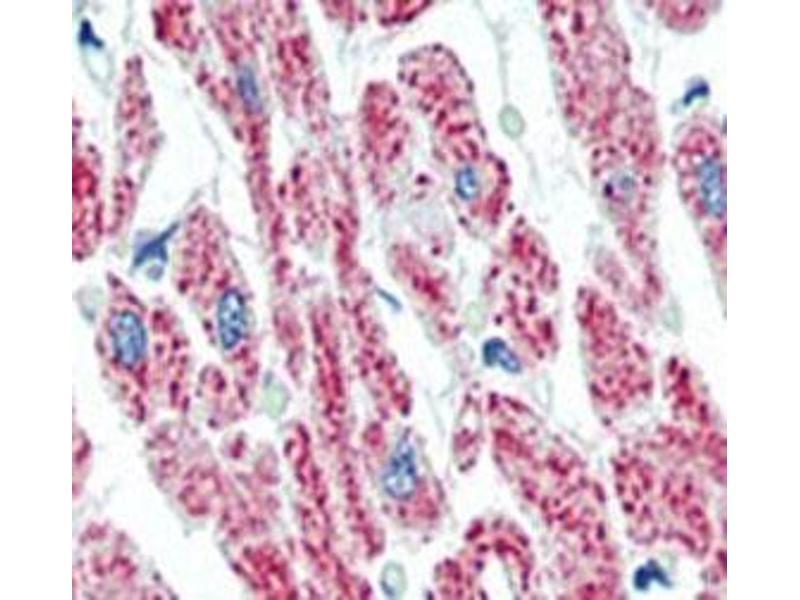
ACO2 Reactivité: Humain, Rat, Souris WB, ELISA, IHC Hôte: Lapin Polyclonal unconjugated
N° du produit ABIN5647449
309,38 €
Plus frais de livraison 40,00 € et TVA
0.08 mL (Autres quantités disponibles)
Destination: France
Envoi sous 6 à 9 jours ouvrables
 
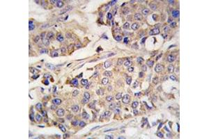
ACO2 Reactivité: Humain WB, ELISA, IHC Hôte: Lapin Polyclonal unconjugated
N° du produit ABIN5647448
309,38 €
Plus frais de livraison 40,00 € et TVA
0.08 mL (Autres quantités disponibles)
Destination: France
Envoi sous 6 à 9 jours ouvrables
 
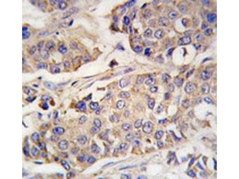
ACO2 Reactivité: Humain, Rat, Porc, Boeuf (Vache), Saccharomyces cerevisiae WB, IHC Hôte: Lapin Polyclonal unconjugated
Pubmed 1 reference
N° du produit ABIN2786628
534,11 €
Plus frais de livraison 40,00 € et TVA
100 μL (Autres quantités disponibles)
Destination: France
Envoi sous 6 à 9 jours ouvrables
 
ACO2 Reactivité: Humain, Rat, Souris WB Hôte: Lapin Polyclonal unconjugated
N° du produit ABIN4886417
500,50 €
Plus frais de livraison 40,00 € et TVA
100 μg
Destination: France
Envoi sous 8 à 12 jours ouvrables
 
ACO2 Reactivité: Humain, Rat, Souris WB, IHC (p), IP, IF (cc), IF (p) Hôte: Lapin Monoclonal 2F4 unconjugated
N° du produit ABIN6942035
456,42 €
Plus frais de livraison 40,00 € et TVA
100 μL
Destination: France
Envoi sous 12 à 17 jours ouvrables
 
ACO2 Reactivité: Humain WB, ELISA, IHC Hôte: Lapin Polyclonal unconjugated
N° du produit ABIN7567905
527,38 €
Plus frais de livraison 40,00 € et TVA
100 μg
Destination: France
Envoi sous 10 à 13 jours ouvrables
 
ACO2 Reactivité: Humain WB, IHC, IF Hôte: Souris Monoclonal 3G8 unconjugated
N° du produit ABIN2132874
1.792,74 €
Plus frais de livraison 40,00 € et TVA
100 μL
Destination: France
Envoi sous 13 à 17 jours ouvrables
 
ACO2 Reactivité: Humain WB, IF, FACS Hôte: Souris Monoclonal 7A11 unconjugated
N° du produit ABIN2132875
1.792,74 €
Plus frais de livraison 40,00 € et TVA
100 μL
Destination: France
Envoi sous 13 à 17 jours ouvrables
 
ACO2 Reactivité: Humain IF, FACS Hôte: Souris Monoclonal 3G10 unconjugated
N° du produit ABIN2132877
1.792,74 €
Plus frais de livraison 40,00 € et TVA
100 μL
Destination: France
Envoi sous 13 à 17 jours ouvrables
 
ACO2 Reactivité: Humain WB, IF, IHC (p), IP, ICC Hôte: Lapin Polyclonal unconjugated
N° du produit ABIN7464733
765,00 €
Plus frais de livraison 40,00 € et TVA
100 μL
Destination: France
Envoi sous 7 à 10 jours ouvrables
 
ACO2 Reactivité: Humain WB, ELISA, IHC (p), IF (cc), IF (p), IHC (fro) Hôte: Lapin Polyclonal unconjugated
N° du produit ABIN739590
357,70 €
Plus frais de livraison 40,00 € et TVA
100 μL
Destination: France
Envoi sous 8 à 12 jours ouvrables
 
ACO2 Reactivité: Humain Hôte: Lapin Polyclonal FITC
N° du produit ABIN7143023
328,90 €
Plus frais de livraison 40,00 € et TVA
100 μg (Autres quantités disponibles)
Destination: France
Envoi sous 11 à 15 jours ouvrables
 
ACO2 Reactivité: Humain ELISA Hôte: Lapin Polyclonal Biotin
N° du produit ABIN7143022
328,90 €
Plus frais de livraison 40,00 € et TVA
100 μg (Autres quantités disponibles)
Destination: France
Envoi sous 11 à 15 jours ouvrables
 
ACO2 Reactivité: Humain ELISA Hôte: Lapin Polyclonal HRP
N° du produit ABIN7143024
328,90 €
Plus frais de livraison 40,00 € et TVA
100 μg (Autres quantités disponibles)
Destination: France
Envoi sous 11 à 15 jours ouvrables
 
ACO2 Reactivité: Humain, Souris WB, IP Hôte: Lapin Polyclonal unconjugated
N° du produit ABIN7449941
576,62 €
Plus frais de livraison 40,00 € et TVA
100 μg (Autres quantités disponibles)
Destination: France
Envoi sous 7 à 10 jours ouvrables
 
ACO2 Reactivité: Humain, Souris WB, IP Hôte: Lapin Polyclonal unconjugated
N° du produit ABIN7449940
576,62 €
Plus frais de livraison 40,00 € et TVA
100 μg (Autres quantités disponibles)
Destination: France
Envoi sous 7 à 10 jours ouvrables
 
ACO2 Reactivité: Humain, Rat, Souris WB, ELISA, IHC Hôte: Lapin Polyclonal unconjugated
N° du produit ABIN2614014
1.328,20 €
Plus frais de livraison 40,00 € et TVA
200 μL
Destination: France
Envoi sous 15 à 20 jours ouvrables
 
ACO2 Reactivité: Humain, Rat, Souris WB, ELISA, IHC Hôte: Lapin Polyclonal FITC
N° du produit ABIN1890989
1.708,41 €
Plus frais de livraison 40,00 € et TVA
200 μL
Destination: France
Envoi sous 15 à 20 jours ouvrables
 
ACO2 Reactivité: Humain, Rat, Souris WB, ELISA, IHC Hôte: Lapin Polyclonal APC
N° du produit ABIN1890987
1.708,41 €
Plus frais de livraison 40,00 € et TVA
200 μL
Destination: France
Envoi sous 15 à 20 jours ouvrables
 
ACO2 Reactivité: Humain, Rat, Souris WB, ELISA, IHC Hôte: Lapin Polyclonal HRP
N° du produit ABIN1890985
1.708,41 €
Plus frais de livraison 40,00 € et TVA
200 μL
Destination: France
Envoi sous 15 à 20 jours ouvrables
 
  • Type Primary
    • Primary
  • Application
    • Western Blotting (WB)
    • Immunohistochemistry (IHC)
    • ELISA
    • Immunofluorescence (IF)
    • Immunoprecipitation (IP)
    • Immunocytochemistry (ICC)
    • Immunohistochemistry (Paraffin-embedded Sections) (IHC (p))
    • Flow Cytometry (FACS)
    • Immunofluorescence (Cultured Cells) (IF (cc))
    • Immunofluorescence (Paraffin-embedded Sections) (IF (p))
    • Enzyme Immunoassay (EIA)
    • Immunohistochemistry (Frozen Sections) (IHC (fro))
  • Réactivité
    • Human
    • Mouse
    • Rat
    • Pig
    • Cow
    • C. elegans
    • Dog
    • Guinea Pig
    • Horse
    • Rabbit
    • Saccharomyces cerevisiae
    • Bat
    • Chicken
    • Hamster
    • Monkey
  • Cité dans publications
  • Images disponible
  • Sans conservateur uniquement
  • Carrier free only
  • Hote
    • Rabbit
    • Mouse
    • Goat
  • Clonalité
    • Polyclonal
    • Monoclonal
  • Clone
    • S07-7A1
    • 1A11
    • 20A46
    • 23GB1585
    • 2F4
    • 3G10
    • 3G8
    • 4C12D1
    • 755CT20-2-6
    • 7A11
    • 8H4
    • R07-7A1
    • RB14646
    • RB9338
  • Epitope
    • AA 438-467
    • AA 452-676
    • C-Term
    • AA 1-780
    • AA 294-325
    • AA 541-555
    • Center
    • Internal Region
    • N-Term
    • AA 1-179
    • AA 108-157
    • AA 350-400
    • AA 41-523
    • AA 421-470
    • AA 433-467
    • AA 51-246
    • AA 561-596
    • AA 650-700
    • AA 651-750
    • Middle Region
    • Mitochondrial
  • Conjugué
    • Inconjugué
    • Biotin
    • Alexa Fluor 488
    • Alexa Fluor 555
    • Alexa Fluor 594
    • Alexa Fluor 647
    • Alexa Fluor 680
    • Alexa Fluor 750
    • FITC
    • Alexa Fluor 350
    • Alexa Fluor 405
    • HRP
    • APC
    • PE
  • Isotype
    • IgG
    • Ig Fraction
    • IgG1
    • IgG2a
  • Type Proteine
    • Recombinant Antibody
  • Format
    • Liquid
    • Lyophilized
  • Grade
    • Verified
    • KD Validated
  • Supplier
    • antibodies-online
    • Signalway
    • Boster Bio
    • Abbexa
    • Aviva Systems Biology
    • Cohesion Biosciences
    • NSJ Bioreagents
    • Acris
    • CUSABIO
    • ProSci
    • ProteoGenix

Dernières publications pour nos ACO2 Anticorps

Ruiz, Bégou, Launay, Ranea-Robles, Bianchi, López-Erauskin, Morató, Guilera, Petit, Vaurs-Barriere, Guéret-Gonthier, Bonnet-Dupeyron, Fourcade, Auwerx, Boespflug-Tanguy, Pujol: "Oxidative stress and mitochondrial dynamics malfunction are linked in Pelizaeus-Merzbacher disease." dans: Brain pathology (Zurich, Switzerland), (2017) (PubMed).

Navarro, Botella, Metzendorf, Lind, Schneuwly: "Mitoferrin modulates iron toxicity in a Drosophila model of Friedreich?s ataxia." dans: Free radical biology & medicine, Vol. 85, pp. 71-82, (2015) (PubMed).

Carpenter, Paw, Dewhirst, Lo: "Akt phosphorylates and activates HSF-1 independent of heat shock, leading to Slug overexpression and epithelial-mesenchymal transition (EMT) of HER2-overexpressing breast cancer cells." dans: Oncogene, Vol. 34, Issue 5, pp. 546-57, (2015) (PubMed).

Fernandes, Uytterhoeven, Kuenen, Wang, Slabbaert, Swerts, Kasprowicz, Aerts, Verstreken: "Reduced synaptic vesicle protein degradation at lysosomes curbs TBC1D24/sky-induced neurodegeneration." dans: The Journal of cell biology, Vol. 207, Issue 4, pp. 453-62, (2014) (PubMed).

Ilgen, Stoldt, Conradi, Wurm, Rüschoff, Ghadimi, Liersch, Jakobs: "STED super-resolution microscopy of clinical paraffin-embedded human rectal cancer tissue." dans: PLoS ONE, Vol. 9, Issue 7, pp. e101563, (2014) (PubMed).

Schauer, Freund, Prenni, Curthoys: "Proteomic profiling and pathway analysis of the response of rat renal proximal convoluted tubules to metabolic acidosis." dans: American journal of physiology. Renal physiology, Vol. 305, Issue 5, pp. F628-40, (2013) (PubMed).

Freund, Prenni, Curthoys: "Response of the mitochondrial proteome of rat renal proximal convoluted tubules to chronic metabolic acidosis." dans: American journal of physiology. Renal physiology, Vol. 304, Issue 2, pp. F145-55, (2013) (PubMed).

Tammineni, Anugula, Mohammed, Anjaneyulu, Larner, Sepuri: "The import of the transcription factor STAT3 into mitochondria depends on GRIM-19, a component of the electron transport chain." dans: The Journal of biological chemistry, Vol. 288, Issue 7, pp. 4723-32, (2013) (PubMed).

Scheving, Wittig, Heide, Albuquerque, Steger, Brandt, Tegeder: "Protein S-nitrosylation and denitrosylation in the mouse spinal cord upon injury of the sciatic nerve." dans: Journal of proteomics, Vol. 75, Issue 13, pp. 3987-4004, (2012) (PubMed).

Cantu, Fulton, Drechsel, Patel: "Mitochondrial aconitase knockdown attenuates paraquat-induced dopaminergic cell death via decreased cellular metabolism and release of iron and H₂O₂." dans: Journal of neurochemistry, Vol. 118, Issue 1, pp. 79-92, (2011) (PubMed).

Pseudonymes pour ACO2 Anticorps

aconitase 2 (ACO2) Anticorps
aconitase 2 S homeolog (aco2.S) Anticorps
aconitate hydratase, mitochondrial (Bm1_07420) Anticorps
aconitase, mitochondrial (aco2) Anticorps
mitochondrial aconitate hydratase (ach1) Anticorps
aconitase 2 (aco2) Anticorps
aconitase 2, mitochondrial (Aco2) Anticorps
aconitase 2 (Aco2) Anticorps
aconitase 2, mitochondrial (aco2) Anticorps
Probable aconitate hydratase, mitochondrial (aco-2) Anticorps
Aco-2 Anticorps
Aco3 Anticorps
aconitase 2 Anticorps
ACONM Anticorps
cb1017 Anticorps
D10Wsu183e Anticorps
DDBDRAFT_0206187 Anticorps
DDBDRAFT_0230168 Anticorps
DDB_0206187 Anticorps
DDB_0230168 Anticorps
F10M23.310 Anticorps
F10M23_310 Anticorps
ICRD Anticorps
wu:fa10e03 Anticorps
wu:fb69g04 Anticorps
wu:fc20c11 Anticorps
Vous êtes ici:
Chat with us!