SDCCAG8 anticorps (Internal Region)
Aperçu rapide pour SDCCAG8 anticorps (Internal Region) (ABIN1019666)
Antigène
Voir toutes SDCCAG8 AnticorpsReactivité
Hôte
Clonalité
Conjugué
Application
Classe de qualité
-
-
Épitope
- Internal Region
-
Fonction
- SDCCAG8
-
Séquence
- TINDQSQYIH HLEAE
-
Réactivité croisée
- Chien, Humain, Souris, Porc, Rat
-
Purification
- Purified from goat serum by ammonium sulphate precipitation followed by antigen affinity chromatography using the immunizing peptide.
-
Immunogène
- Peptide with sequence C-TINDQSQYIHHLEAE, from the internal region of the protein sequence according to NP_006633.1.
-
Isotype
- IgG
-
-
-
-
Indications d'application
-
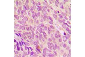
Immunohistochemistry: Paraffin embedded Human Brain (Cortex). Recommended concentration: 5 μg/mL.
Western Blot: Approx 80 kDa band observed in lysates of cell line HEK293 (calculated MW of 82.7 kDa according to NP_006633.1). Recommended concentration: 0.3-1 μg/mL. Primary incubation was 1 hour.
Peptide ELISA: antibody detection limit dilution 1:128000.
-
Restrictions
- For Research Use only
-
-
-
Format
- Liquid
-
Concentration
- 0.5 mg/mL
-
Buffer
- Supplied at 0.5 mg/mL in Tris saline, 0.02 % sodium azide, pH 7.3 with 0.5 % bovine serum albumin.
-
Agent conservateur
- Sodium azide
-
Précaution d'utilisation
- This product contains Sodium azide: a POISONOUS AND HAZARDOUS SUBSTANCE which should be handled by trained staff only.
-
Conseil sur la manipulation
- Minimize freezing and thawing.
-
Stock
- -20 °C
-
Stockage commentaire
- Aliquot and store at -20°C, with minimal freeze/thawing. A working aliquot may be refrigerated at 4°C for a few weeks and still remain viable.
-
-
- SDCCAG8 (serologically Defined Colon Cancer Antigen 8 (SDCCAG8))
-
Autre désignation
- SDCCAG8
-
Sujet
- SDCCAG8, serologically defined colon cancer antigen 8, BBS16, CCCAP, NPHP10, NY-CO-8, SLSN7, hCCCAP, OTTHUMP00000037913, antigen NY-CO-8, centrosomal colon cancer autoantigen protein
-
ID gène
- 10806, 76816, 305002
-
NCBI Accession
- NP_006633
-
Pathways
- M Phase, Tube Formation
Antigène
-