Tel:
+49 (0)241 95 163 153
Fax:
+49 (0)241 95 163 155
E-Mail:
orders@anticorps-enligne.fr

NPBWR2 anticorps (N-Term)

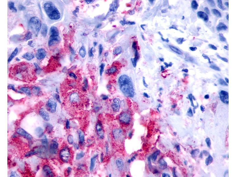
Cet anticorps anti-NPBWR2 Polyclonal Lapin (ABIN1049112) détecte spécifiquement NPBWR2 dans IHC et IHC (p). L’anticorps est réactif avec des échantillons de Humain.
N° du produit ABIN1049112
534,81 €
Plus frais de livraison 40,00 € et TVA
50 μg
Destination: France
Envoi sous 15 à 20 jours ouvrables

Aperçu rapide pour NPBWR2 anticorps (N-Term) (ABIN1049112)

Antigène

Voir toutes NPBWR2 Anticorps
NPBWR2 (Neuropeptides B/W Receptor 2 (NPBWR2))

Reactivité

  • 13
  • 1
Humain

Hôte

  • 13
Lapin

Clonalité

  • 13
Polyclonal

Conjugué

  • 9
  • 2
  • 1
  • 1
Cet anticorp NPBWR2 est non-conjugé

Application

  • 7
  • 5
  • 2
  • 2
  • 1
Immunohistochemistry (IHC), Immunohistochemistry (Paraffin-embedded Sections) (IHC (p))
  • Épitope

    • 5
    • 2
    • 1
    • 1
    • 1
    • 1
    N-Term

    Specificité

    Human NPBWR2. BLAST analysis of the peptide immunogen showed no homology with other human proteins, except ADAM19 (59 % ).

    Homologie

    Percent identity with other species by BLAST analysis: Human, Gorilla (100%) Monkey, Marmoset (94%) Gibbon (88%).

    Purification

    Immunoaffinity purified

    Immunogène

    Synthetic 17 amino acid peptide from N-terminal extracellular domain of human NPBWR2. Percent identity with other species by BLAST analysis: Human, Gorilla (100%), Monkey, Marmoset (94%), Gibbon (88%).

    Type of Immunogen: Synthetic peptide
  • Indications d'application

    Approved: IHC, IHC-P (3 μg/mL)

    Commentaires

    Target Species of Antibody: Human

    Procédure de l'essai

    The IHC-pro Immunohistochemistry Protocol

    Tissue Preparation
    Formalin fixation and embedding in paraffin wax

    Tissue Sectioning
    Make 4-µm sections and place on pre-cleaned and charged microscope slides.
    Heat in a tissue-drying oven for 45 minutes at 60°C
    Deparaffinization
    Wash slides in 3 changes of xylene – 5 minutes each at room temperature.

    Rehydration
    Wash slides in 3 changes of 100% alcohol – 3 minutes each at room temperature.
    Wash slides in 2 changes of 95% alcohol – 3 minutes each at room temperature.
    Wash slides in 1 change of 80% alcohol – 3 minutes at room temperature.
    Rinse slides in gentle running distilled water – 5 minutes at room temperature.

    Antigen retrieval
    Steam slides in 0.01 M sodium citrate buffer, pH 6.0 at 99-100°C - 20 minutes
    Remove from heat and let stand at room temperature in buffer - 20 minutes
    Rinse in 1X TBS with Tween (TBST) – 1 minute at room temperature.

    Immunostaining
    Do not allow tissues to dry at any time during the staining procedure.
    Apply a universal protein block – 20 minutes at room temperature.
    Drain protein block from slides, apply diluted primary antibody – 45 minutes at room temperature.
    Rinse slides in 1X TBST - 1 minute at room temperature.
    Apply a biotinylated secondary antibody (specific to the host of the primary antibody) - 30 minutes at room temperature.
    Rinse slides 1X TBST – 1 minute at room temperature.
    Apply alkaline phosphatase streptavidin – 30 minutes at room temperature.
    Rinse slides in 1X TBST - 1 minute at room temperature.
    Apply alkaline phosphatase chromogen substrate – 30 minutes at room temperature.
    Wash slides in distilled water – 1 minute at room temperature.

    Dehydrate
    This method should only be used if the chromogen substrate is alcohol insoluble.
    Wash slides in 2 changes of 80% alcohol – 1 minute each at room temperature.
    Wash slides in 2 changes of 95% alcohol – 1 minute each at room temperature.
    Wash slides in 3 changes of 100% alcohol – 1 minute each at room temperature.
    Wash slides in 3 changes of xylene – 1 minute each at room temperature.
    Apply coverslip

    Restrictions

    For Research Use only
  • Format

    Liquid

    Concentration

    Lot specific

    Buffer

    PBS, less than 0.1 % sodium azide.

    Agent conservateur

    Sodium azide

    Précaution d'utilisation

    This product contains Sodium azide: a POISONOUS AND HAZARDOUS SUBSTANCE which should be handled by trained staff only.

    Stock

    4 °C,-20 °C

    Stockage commentaire

    Aliquot and store undiluted at -20°C or below for up to 1 year. Can be stored undiluted at 4°C for up to 1 month. Avoid freeze-thaw cycles.

    Date de péremption

    12 months
  • Antigène

    NPBWR2 (Neuropeptides B/W Receptor 2 (NPBWR2))

    Autre désignation

    NPBWR2 / GPR8

    Sujet

    Name/Gene ID: NPBWR2
    Subfamily: Neuropeptide
    Family: GPCR

    Synonyms: NPBWR2, G protein-coupled receptor 8, G-protein coupled receptor 8, GPR8, Neuropeptides B/W receptor 2

    ID gène

    2832
Vous êtes ici:
Chat with us!