Tel:
+49 (0)241 95 163 153
Fax:
+49 (0)241 95 163 155
E-Mail:
orders@anticorps-enligne.fr

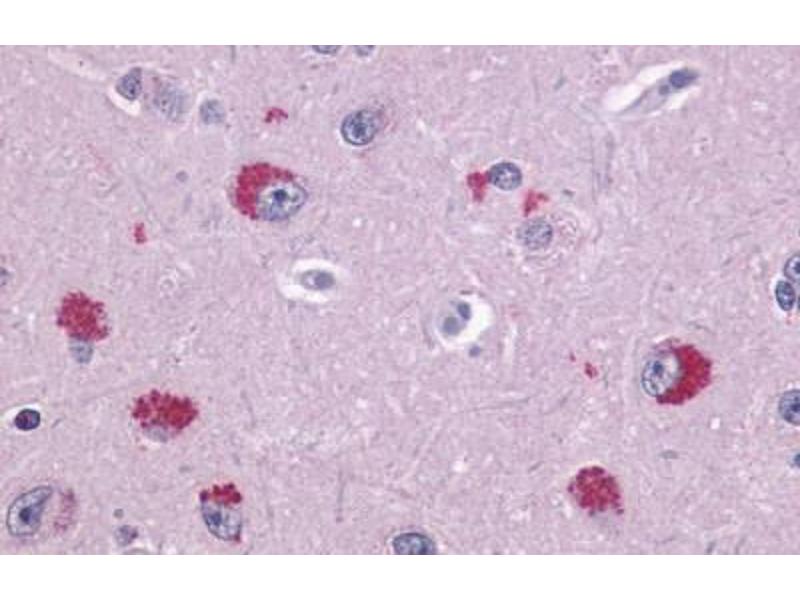
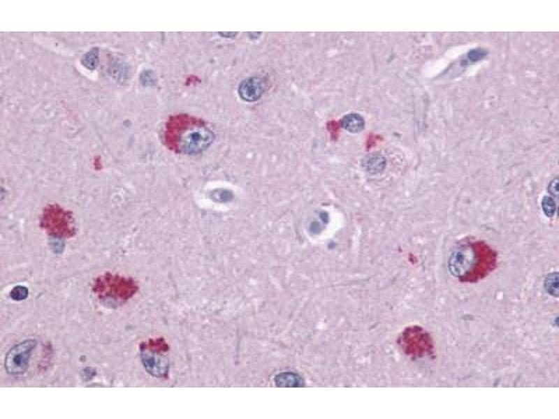
TAAR1 anticorps (Extracellular Domain)

L’anticorps anti-TAAR1 Polyclonal Lapin est utilisé pour la détection de TAAR1 dans des échantillons de Humain et Singe. Il a été validé pour WB, IHC (p) et IHC.
N° du produit ABIN1049378
587,09 €
Plus frais de livraison 40,00 € et TVA
50 μg
Destination: France
Envoi sous 15 à 20 jours ouvrables

Aperçu rapide pour TAAR1 anticorps (Extracellular Domain) (ABIN1049378)

Antigène

Voir toutes TAAR1 Anticorps
TAAR1 (Trace Amine Associated Receptor 1 (TAAR1))

Reactivité

  • 18
  • 9
  • 7
  • 4
  • 2
Humain, Singe

Hôte

  • 19
Lapin

Clonalité

  • 19
Polyclonal

Conjugué

  • 19
Cet anticorp TAAR1 est non-conjugé

Application

  • 13
  • 10
  • 7
  • 4
Western Blotting (WB), Immunohistochemistry (Paraffin-embedded Sections) (IHC (p)), Immunohistochemistry (IHC)
  • Épitope

    • 4
    • 3
    • 2
    • 2
    • 1
    • 1
    • 1
    • 1
    • 1
    • 1
    • 1
    Extracellular Domain

    Specificité

    Human TAAR1. BLAST analysis of the peptide immunogen showed no homology with other human proteins.

    Homologie

    Percent identity with other species by BLAST analysis: Human, Chimpanzee, Gorilla, Gibbon, Monkey (100%) Orangutan, Elephant (94%) Tamarin, Bovine, Cat, Rabbit, Horse, Pig (88%) Marmoset, Opossum (82%).

    Purification

    Immunoaffinity purified

    Immunogène

    Synthetic 17 amino acid peptide from 2nd extracellular domain of human TAAR1. Percent identity with other species by BLAST analysis: Human, Chimpanzee, Gorilla, Gibbon, Monkey (100%), Orangutan, Elephant (94%), Tamarin, Bovine, Cat, Rabbit, Horse, Pig (88%), Marmoset, Opossum (82%).

    Type of Immunogen: Synthetic peptide
  • Indications d'application

    Approved: IHC, IHC-P (6 - 15 μg/mL), WB

    Commentaires

    Target Species of Antibody: Human

    Procédure de l'essai

    The IHC-pro Immunohistochemistry Protocol

    Tissue Preparation
    Formalin fixation and embedding in paraffin wax

    Tissue Sectioning
    Make 4-µm sections and place on pre-cleaned and charged microscope slides.
    Heat in a tissue-drying oven for 45 minutes at 60°C
    Deparaffinization
    Wash slides in 3 changes of xylene – 5 minutes each at room temperature.

    Rehydration
    Wash slides in 3 changes of 100% alcohol – 3 minutes each at room temperature.
    Wash slides in 2 changes of 95% alcohol – 3 minutes each at room temperature.
    Wash slides in 1 change of 80% alcohol – 3 minutes at room temperature.
    Rinse slides in gentle running distilled water – 5 minutes at room temperature.

    Antigen retrieval
    Steam slides in 0.01 M sodium citrate buffer, pH 6.0 at 99-100°C - 20 minutes
    Remove from heat and let stand at room temperature in buffer - 20 minutes
    Rinse in 1X TBS with Tween (TBST) – 1 minute at room temperature.

    Immunostaining
    Do not allow tissues to dry at any time during the staining procedure.
    Apply a universal protein block – 20 minutes at room temperature.
    Drain protein block from slides, apply diluted primary antibody – 45 minutes at room temperature.
    Rinse slides in 1X TBST - 1 minute at room temperature.
    Apply a biotinylated secondary antibody (specific to the host of the primary antibody) - 30 minutes at room temperature.
    Rinse slides 1X TBST – 1 minute at room temperature.
    Apply alkaline phosphatase streptavidin – 30 minutes at room temperature.
    Rinse slides in 1X TBST - 1 minute at room temperature.
    Apply alkaline phosphatase chromogen substrate – 30 minutes at room temperature.
    Wash slides in distilled water – 1 minute at room temperature.

    Dehydrate
    This method should only be used if the chromogen substrate is alcohol insoluble.
    Wash slides in 2 changes of 80% alcohol – 1 minute each at room temperature.
    Wash slides in 2 changes of 95% alcohol – 1 minute each at room temperature.
    Wash slides in 3 changes of 100% alcohol – 1 minute each at room temperature.
    Wash slides in 3 changes of xylene – 1 minute each at room temperature.
    Apply coverslip

    Restrictions

    For Research Use only
  • Format

    Liquid

    Concentration

    Lot specific

    Buffer

    PBS, less than 0.1 % sodium azide.

    Agent conservateur

    Sodium azide

    Précaution d'utilisation

    This product contains Sodium azide: a POISONOUS AND HAZARDOUS SUBSTANCE which should be handled by trained staff only.

    Stock

    4 °C,-20 °C

    Stockage commentaire

    Aliquot and store undiluted at -20°C or below for up to 1 year. Can be stored undiluted at 4°C for up to 1 month. Avoid freeze-thaw cycles.

    Date de péremption

    12 months
  • Antigène

    TAAR1 (Trace Amine Associated Receptor 1 (TAAR1))

    Autre désignation

    TAAR1 / TA1

    Sujet

    Name/Gene ID: TAAR1
    Subfamily: Trace amine
    Family: GPCR

    Synonyms: TAAR1, RP11-295F4.9, RTAR1, Snorf33, TRAR1, TaR-1, TAR1, TA1, Trace amine receptor 1

    ID gène

    134864
Vous êtes ici:
Chat with us!