Tel:
+49 (0)241 95 163 153
Fax:
+49 (0)241 95 163 155
E-Mail:
orders@anticorps-enligne.fr

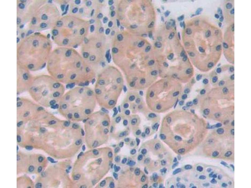
HSPA2 anticorps (AA 1-633)

Cet anticorps anti-HSPA2 Polyclonal Lapin (ABIN1078116) détecte spécifiquement HSPA2 dans WB, IHC, IP et ICC. L’anticorps est réactif avec des échantillons de Rat.
N° du produit ABIN1078116
266,00 €
Plus frais de livraison 40,00 € et TVA
Destination: France
Envoi sous 13 à 17 jours ouvrables

Aperçu rapide pour HSPA2 anticorps (AA 1-633) (ABIN1078116)

Antigène

Voir toutes HSPA2 Anticorps
HSPA2 (Heat Shock 70kDa Protein 2 (HSPA2))

Reactivité

  • 71
  • 45
  • 37
  • 3
  • 3
  • 3
  • 2
  • 2
  • 1
  • 1
  • 1
  • 1
Rat

Hôte

  • 63
  • 16
Lapin

Clonalité

  • 44
  • 35
Polyclonal

Conjugué

  • 36
  • 11
  • 4
  • 4
  • 4
  • 4
  • 4
  • 4
  • 4
  • 2
  • 2
Cet anticorp HSPA2 est non-conjugé

Application

  • 64
  • 37
  • 11
  • 11
  • 10
  • 10
  • 4
  • 2
  • 2
  • 1
  • 1
Western Blotting (WB), Immunohistochemistry (IHC), Immunoprecipitation (IP), Immunocytochemistry (ICC)
  • Épitope

    • 8
    • 6
    • 5
    • 3
    • 2
    • 2
    • 1
    • 1
    • 1
    • 1
    • 1
    AA 1-633

    Fonction

    Polyclonal Antibody to Heat Shock 70kDa Protein 2 (HSPA2)

    Specificité

    The antibody is a rabbit polyclonal antibody raised against HSPA2. It has been selected for its ability to recognize HSPA2 in immunohistochemical staining and western blotting.

     Réactivité croisée

    Humain

    Purification

    Antigen-specific affinity chromatography followed by Protein A affinity chromatography

    Immunogène

    RPD060Ra01Recombinant Heat Shock 70kDa Protein 2 (HSPA2)

    Isotype

    IgG
  • Indications d'application

    Western blotting: 0.2-2 μg/mL,1:250-2500 Immunohistochemistry: 5-20 μg/mL,1:25-100 Immunocytochemistry: 5-20 μg/mL,1:25-100 Optimal working dilutions must be determined by end user.

    Commentaires

    The thermal stability is described by the loss rate. The loss rate was determined by accelerated thermal degradation test, that is, incubate the protein at 37°C for 48h, and no obvious degradation and precipitation were observed. The loss rate is less than 5% within the expiration date under appropriate storage condition.

    Restrictions

    For Research Use only
  • Format

    Liquid

    Concentration

    500 μg/mL

    Buffer

    PBS, pH 7.4, containing 0.01 % SKL, 1 mM DTT, 5 % Trehalose and Proclin300.

    Agent conservateur

    Dithiothreitol (DTT), ProClin

    Précaution d'utilisation

    WARNING: Reagents contain sodium azide. Sodium azide is very toxic if ingested or inhaled. Avoid contact with skin, eyes, or clothing. Wear eye or face protection when handling. If skin or eye contact occurs, wash with copious amounts of water. If ingested or inhaled, contact a physician immediately. Sodium azide yields toxic hydrazoic acid under acidic conditions. Dilute azide-containing compounds in running water before discarding to avoid accumulation of potentially explosive deposits in lead or copper plumbing.

    Conseil sur la manipulation

    Avoid repeated freeze-thaw cycles.

    Stock

    4 °C,-20 °C

    Stockage commentaire

    Store at 4°C for frequent use. Stored at -20°C in a manual defrost freezer for two year without detectable loss of activity. Avoid repeated freeze-thaw cycles.

    Date de péremption

    12 months
  • Antigène

    HSPA2 (Heat Shock 70kDa Protein 2 (HSPA2))

    Autre désignation

    HSPA2

    Sujet

    HSP-A2, Heat shock-related 70 kDa protein 2
Vous êtes ici:
Chat with us!