Tel:
+49 (0)241 95 163 153
Fax:
+49 (0)241 95 163 155
E-Mail:
orders@anticorps-enligne.fr

CYP1A anticorps

L’anticorps anti-CYP1A Monoclonal Souris est utilisé pour la détection de CYP1A dans des échantillons de Poisson. Il a été validé pour IHC, ELISA et WB.
N° du produit ABIN108737
487,15 €
Plus frais de livraison 40,00 € et TVA
Destination: France
Envoi sous 5 à 7 jours ouvrables

Aperçu rapide pour CYP1A anticorps (ABIN108737)

Antigène

CYP1A (Cytochrome P450 1A (CYP1A))

Reactivité

  • 1
  • 1
Poisson

Hôte

  • 1
  • 1
Souris

Clonalité

  • 1
  • 1
Monoclonal

Conjugué

  • 2
Cet anticorp CYP1A est non-conjugé

Application

Immunohistochemistry (IHC), ELISA, Western Blotting (WB)

Clone

C10-7
  • Specificité

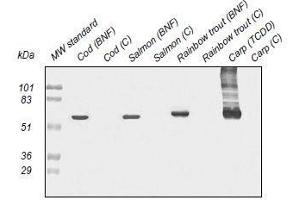
    C10-7 cross-reacts with CYP1A in liver samples from carp (Cyprinus carpio), rainbow trout (Oncorhynchus mykiss), salmon (Salmo salar), Atlantic cod (Gadus morhua), turbot (Scophthalmus maximus) lemon sole (Microstomus kitt) and mudfish (Clarias anguillaris). The degree of cross-reactivity differ between species and with the different methods employed.

    Immunogène

    A synthetic peptide corresponding to amino-acid sequence 277-294 of rainbow trout CYP1A, coupled to the carrier protein keyhole limpet hemocyanin (KLH).

    Isotype

    IgG3 kappa
  • Indications d'application

    C10-7 is well suited for ELISA. The antibody also work well in western blot for a number of species. The antibody also works well in immunohistochemistry. Since assay conditions vary, the optimum dilution should be determined for each particular application. Note: The antibody is dissolved in a buffer containing BSA, and is therefore not recommended to use for coating. Normal dilution range: ELISA: 1:300 - 1: 1000. Western blot: 1:50 - 1:500

    Restrictions

    For Research Use only
  • Format

    Liquid

    Stock

    4 °C
  • Antigène

    CYP1A (Cytochrome P450 1A (CYP1A))

    Sujet

    The product consists of Protein-A affinity-purified mouse monoclonal antibodies against peptide 277-294 of rainbow trout (Oncorhynchus mykiss) cytochrome P450 1A (CYP1A). The antibodies are dissolved in 0.1 M Na-phosphate, 0.15 M NaCl, 1% BSA, 0.1% Na-azide, pH 7.4.
Vous êtes ici:
Chat with us!