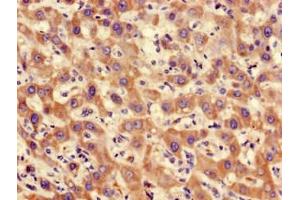
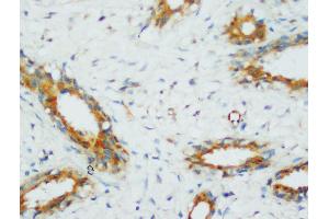
L’anticorps anti-PPP2CA Polyclonal Lapin est utilisé pour la détection de PPP2CA dans des échantillons de Humain, Souris et Rat. Il a été validé pour WB, IF et IHC (p).
This antibody detects PPP2CA at N-term. No cross reactivity with other proteins.
Réactivité croisée (Details)
Species reactivity (tested):Human, mouse, rat
Purification
Immunogen affinity purified
Immunogène
Synthetic peptide corresponding to a sequence mapping near the N-terminal of human PP2A .Remarks: Sequence is identical to the related rat and mouse sequence.
The catalytic subunit of human protein phosphatase 2A (PPP2CA) encodes a 309-amino acid polypeptide.It is localized to chromosome 5. The gene (approximately 30 kbp) is composed of seven exons and six introns. It is predicted to be important for phosphatase enzymatic activity. Methylation of the C-terminal leucine residue (Leu309) of protein serine/threonine phosphatase 2A catalytic subunit (PP2AC) is known to regulate catalytic activity in vitro. Furthermore, PP2A has a fundamental role in cardiac function, and suggests that disturbances in protein phosphatase expression and activity may cause or exacerbate the course of cardiac diseases.Synonyms: PP2A-alpha, Protein Phospatase 2A, Replication protein C, Serine/threonine-protein phosphatase 2A catalytic subunit alpha isoform