Tel:
+49 (0)241 95 163 153
Fax:
+49 (0)241 95 163 155
E-Mail:
orders@anticorps-enligne.fr

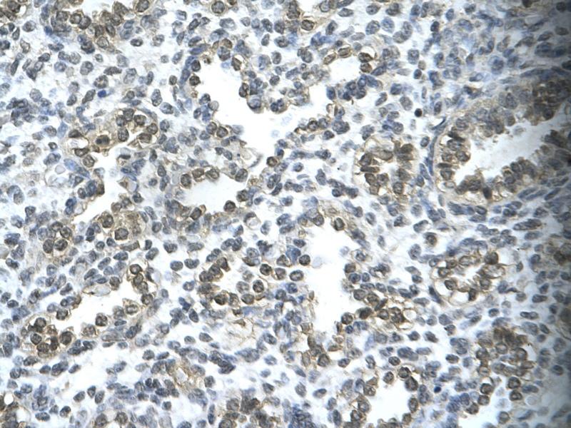
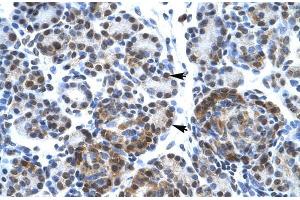
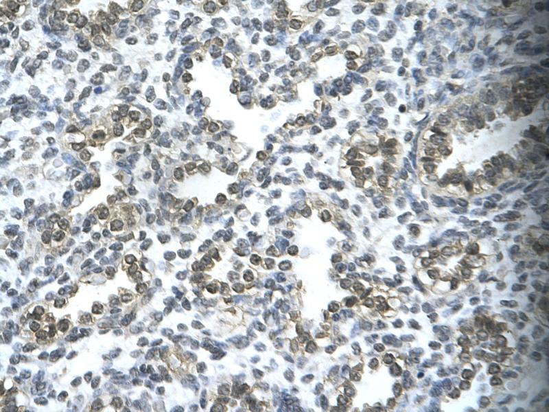
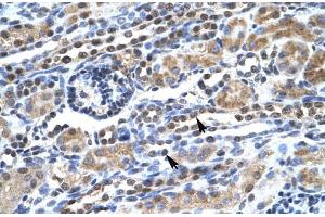
SUPT5H anticorps (C-Term)

Cet anticorps anti-SUPT5H Polyclonal Lapin (ABIN1109175) détecte spécifiquement SUPT5H dans WB et IHC (p). L’anticorps est réactif avec des échantillons de Humain, Souris, Rat, Chien, Boeuf (Vache), Poisson zèbre (Danio rerio), Poulet et Xenopus laevis.
N° du produit ABIN1109175
796,92 €
Plus frais de livraison 40,00 € et TVA
100 μL
Destination: France
Envoi sous 17 jours ouvrables

Aperçu rapide pour SUPT5H anticorps (C-Term) (ABIN1109175)

Antigène

Voir toutes SUPT5H Anticorps
SUPT5H (Transcription Elongation Factor SPT5 (SUPT5H))

Reactivité

  • 48
  • 31
  • 27
  • 7
  • 6
  • 6
  • 6
  • 5
  • 3
  • 2
  • 1
  • 1
Humain, Souris, Rat, Chien, Boeuf (Vache), Poisson zèbre (Danio rerio), Poulet, Xenopus laevis

Hôte

  • 46
  • 2
Lapin

Clonalité

  • 25
  • 23
Polyclonal

Conjugué

  • 25
  • 3
  • 2
  • 2
  • 2
  • 2
  • 2
  • 2
  • 2
  • 2
  • 1
  • 1
  • 1
  • 1
Cet anticorp SUPT5H est non-conjugé

Application

  • 44
  • 27
  • 16
  • 13
  • 12
  • 5
  • 2
  • 2
  • 1
  • 1
  • 1
Western Blotting (WB), Immunohistochemistry (Paraffin-embedded Sections) (IHC (p))
  • Épitope

    • 7
    • 4
    • 2
    • 1
    • 1
    • 1
    • 1
    • 1
    • 1
    • 1
    • 1
    • 1
    • 1
    • 1
    • 1
    C-Term

    Séquence

    PYAAPSPQGS YQPSPSPQSY HQVAPSPAGY QNTHSPASYH PTPSPMAYQA

    Réactivité croisée (Details)

    Species reactivity (expected):Mouse, Rat, Dog, Bovine, African clawed frog, Chicken, ZebrafishSpecies reactivity (tested):Human

    Purification

    Purified using peptide immunoaffinity column

    Immunogène

    The immunogen for anti-SUPT5H antibody: synthetic peptide directed towards the C terminal of human SUPT5H
  • Indications d'application

    Optimal working dilution should be determined by the investigator.

    Restrictions

    For Research Use only
  • Reconstitution

    Add 50 μL of distilled water to a final concentration of 1 mg/mL.

    Conseil sur la manipulation

    Avoid repeated freezing and thawing.

    Stock

    4 °C/-20 °C

    Stockage commentaire

    Store lyophilized at 2-8 °C or at -20 °C long term. After reconstitution store the antibody undiluted at 2-8 °C for up to one month or in aliquots at -20 °C long term.
  • Antigène

    SUPT5H (Transcription Elongation Factor SPT5 (SUPT5H))

    Autre désignation

    SUPT5H

    Sujet

    SUPT5H and its binding partner regulate transcriptional elongation by RNA polymerase II. SPT4 and SPT5 are involved in both 5,6-dichloro-1-beta-D-ribofuranosylbenzimidazole (DRB)-mediated transcriptional inhibition and the activation of transcriptional elongation by the human immunodeficiency virus type 1 (HIV-1) Tat protein.Synonyms: DRB sensitivity-inducing factor large subunit, DSIF p160, DSIFp160, SPT5, SPT5H, Tat-CT1 protein, Tat-cotransactivator 1 protein, Transcription elongation factor SPT5

    ID gène

    6829

    NCBI Accession

    NP_003160
Vous êtes ici:
Chat with us!