DENND2D anticorps (AA 200-238)
Aperçu rapide pour DENND2D anticorps (AA 200-238) (ABIN1385457)
Antigène
Reactivité
Hôte
Clonalité
Conjugué
Application
-
-
Épitope
- AA 200-238
-
Réactivité croisée
- Humain, Souris, Rat
-
Purification
- Purified by Protein A.
-
Immunogène
- KLH conjugated synthetic peptide derived from human DENND2D
-
Isotype
- IgG
-
-
-
-
Indications d'application
-
WB 1:300-5000
FCM 1:20-100
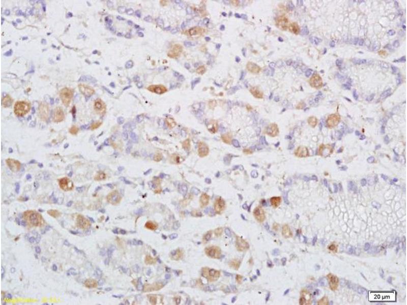
IHC-P 1:200-400
IF(IHC-P) 1:50-200 -
Restrictions
- For Research Use only
-
-
-
Format
- Liquid
-
Concentration
- 1 μg/μL
-
Buffer
- 0.01M TBS( pH 7.4) with 1 % BSA, 0.02 % Proclin300 and 50 % Glycerol.
-
Agent conservateur
- ProClin
-
Précaution d'utilisation
- This product contains ProClin: a POISONOUS AND HAZARDOUS SUBSTANCE, which should be handled by trained staff only.
-
Stock
- 4 °C,-20 °C
-
Stockage commentaire
- Shipped at 4°C. Store at -20°C for one year. Avoid repeated freeze/thaw cycles.
-
Date de péremption
- 12 months
-
-
- DENND2D (DENN/MADD Domain Containing 2D (DENND2D))
-
Autre désignation
- DENND2D
-
Sujet
-
Synonyms: DENN domain-containing protein 2D, DENND2D
Background: Guanine nucleotide exchange factor (GEF) which may activate RAB9A and RAB9B. Promotes the exchange of GDP to GTP, converting inactive GDP-bound Rab proteins into their active GTP-bound form.
-
ID gène
- 79961
-
UniProt
- Q9H6A0
Antigène
-