Tel:
+49 (0)241 95 163 153
Fax:
+49 (0)241 95 163 155
E-Mail:
orders@anticorps-enligne.fr

DSPP anticorps

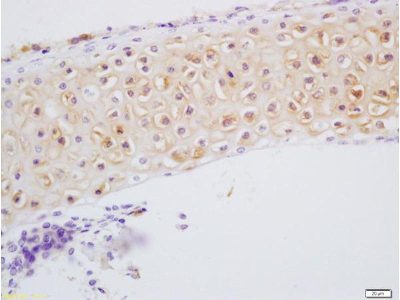
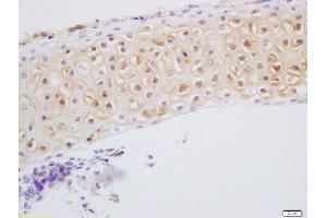
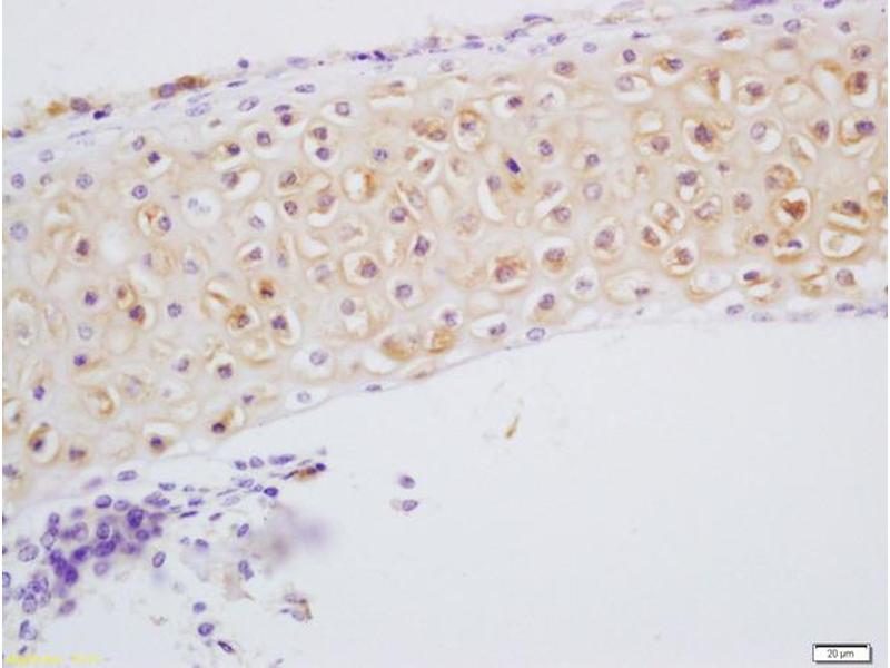
Cet anticorps anti-DSPP Polyclonal Lapin (ABIN1386864) détecte spécifiquement DSPP dans IF (p) et IHC (p). L’anticorps est réactif avec des échantillons de Humain, Souris et Rat.
N° du produit ABIN1386864
357,70 €
Plus frais de livraison 40,00 € et TVA
100 μL
Destination: France
Envoi sous 12 à 17 jours ouvrables

Aperçu rapide pour DSPP anticorps (ABIN1386864)

Antigène

Voir toutes DSPP Anticorps
DSPP (Dentin Sialophosphoprotein (DSPP))

Reactivité

Humain, Souris, Rat

Hôte

  • 21
  • 3
Lapin

Clonalité

  • 21
  • 3
Polyclonal

Conjugué

  • 10
  • 1
  • 1
  • 1
  • 1
  • 1
  • 1
  • 1
  • 1
  • 1
  • 1
  • 1
  • 1
  • 1
  • 1
Cet anticorp DSPP est non-conjugé

Application

  • 22
  • 13
  • 13
  • 5
  • 5
  • 4
  • 4
  • 3
  • 3
  • 1
  • 1
  • 1
Immunofluorescence (Paraffin-embedded Sections) (IF (p)), Immunohistochemistry (Paraffin-embedded Sections) (IHC (p))
  •  Réactivité croisée

    Humain, Souris, Rat

    Purification

    Purified by Protein A.

    Immunogène

    KLH conjugated synthetic peptide derived from human DSPP/Dentin phosphophoryn

    Isotype

    IgG
  • Indications d'application

    IHC-P: (1:100-500), IF(IHC-P): (1:50-200)
    Optimal working dilution should be determined by the investigator.

    Restrictions

    For Research Use only
  • Format

    Liquid

    Concentration

    1 μg/μL

    Buffer

    Aqueous buffered solution containing 1 % BSA, 50 % glycerol and 0.09 % sodium azide.

    Agent conservateur

    Sodium azide

    Précaution d'utilisation

    This product contains Sodium azide: a POISONOUS AND HAZARDOUS SUBSTANCE which should be handled by trained staff only.

    Stock

    -20 °C

    Stockage commentaire

    Store at -20°C for 12 months.

    Date de péremption

    12 months
  • Antigène

    DSPP (Dentin Sialophosphoprotein (DSPP))

    Autre désignation

    DSPP

    Sujet

    Synonyms: Dentin phosphophoryn, Dentin phosphoprotein, dentin phosphoryn, Dentin sialophosphoprotein, Dentin sialophosphoprotein precursor, Dentin sialoprotein, dentinogenesis imperfecta 1, DFNA39, DGI1, DMP3, DPP, DSP, Dspp, DSPP_HUMAN, DTDP2.

    Background: DSPP may be an important factor in dentinogenesis. DSPP may bind high amount of calcium and facilitate initial mineralization of dentin matrix collagen as well as regulate the size and shape of the crystals.The dentin sialophosphoprotein (DSPP) gene encodes two major noncollagenous dentin matrix proteins: dentin sialoprotein, known as DSP, and dentin phosphoprotein, known as phosphophoryn or DPP. The DSPP gene maps to human chromosome 4 and yields a 4.6 kb transcript containing 5 exons, with exons 1-4 encoding for DSP and exon 5 encoding for both the C-terminus of DSP and the full length DPP. DPP and DSP are acidic proteins that represent about 50 % of the noncollagenous proteins in the dentin extracellular matrix of teeth. The DSPP gene is a likely candidate gene for the genetic diseases associated with abnormal dentin formation such as dentinogenesis imperfecta type II and dentin dysplasia type II. DPP may bind large amounts of calcium and may facilitate initial mineralization of dentin matrix collagen as well as regulate the size and shape of the crystals.

    ID gène

    1834
Vous êtes ici:
Chat with us!