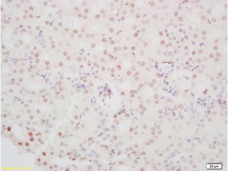
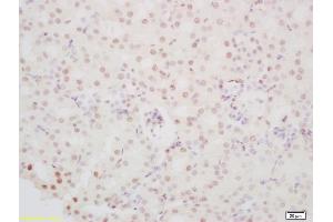
PINX1 anticorps (AA 85-133)
Aperçu rapide pour PINX1 anticorps (AA 85-133) (ABIN1387106)
Antigène
Voir toutes PINX1 AnticorpsReactivité
Hôte
Clonalité
Conjugué
Application
-
-
Épitope
- AA 85-133
-
Réactivité croisée
- Humain, Souris, Rat
-
Purification
- Purified by Protein A.
-
Immunogène
- KLH conjugated synthetic peptide derived from human PINX-1
-
Isotype
- IgG
-
-
-
-
Indications d'application
-
WB 1:300-5000
IHC-P 1:200-400
IF(IHC-P) 1:50-200 -
Restrictions
- For Research Use only
-
-
-
Format
- Liquid
-
Concentration
- 1 μg/μL
-
Buffer
- 0.01M TBS( pH 7.4) with 1 % BSA, 0.02 % Proclin300 and 50 % Glycerol.
-
Agent conservateur
- ProClin
-
Précaution d'utilisation
- This product contains ProClin: a POISONOUS AND HAZARDOUS SUBSTANCE, which should be handled by trained staff only.
-
Stock
- 4 °C,-20 °C
-
Stockage commentaire
- Shipped at 4°C. Store at -20°C for one year. Avoid repeated freeze/thaw cycles.
-
Date de péremption
- 12 months
-
-
- PINX1 (PIN2/TERF1 Interacting, Telomerase Inhibitor 1 (PINX1))
-
Autre désignation
- PINX-1
-
Sujet
-
Synonyms: LPTL, LPTS, PIN2/TERF1-interacting telomerase inhibitor 1, Liver-related putative tumor suppressor, Pin2-interacting protein X1, Protein 67-11-3, TRF1-interacting protein 1, PINX1
Background: Microtubule-binding protein essential for faithful chromosome segregation. Mediates TRF1 and TERT accumulation in nucleolus and enhances TRF1 binding to telomeres. Inhibits telomerase activity. May inhibit cell proliferation and act as tumor suppressor.
-
ID gène
- 54984
-
UniProt
- Q96BK5
Antigène
-