Tel:
+49 (0)241 95 163 153
Fax:
+49 (0)241 95 163 155
E-Mail:
orders@anticorps-enligne.fr

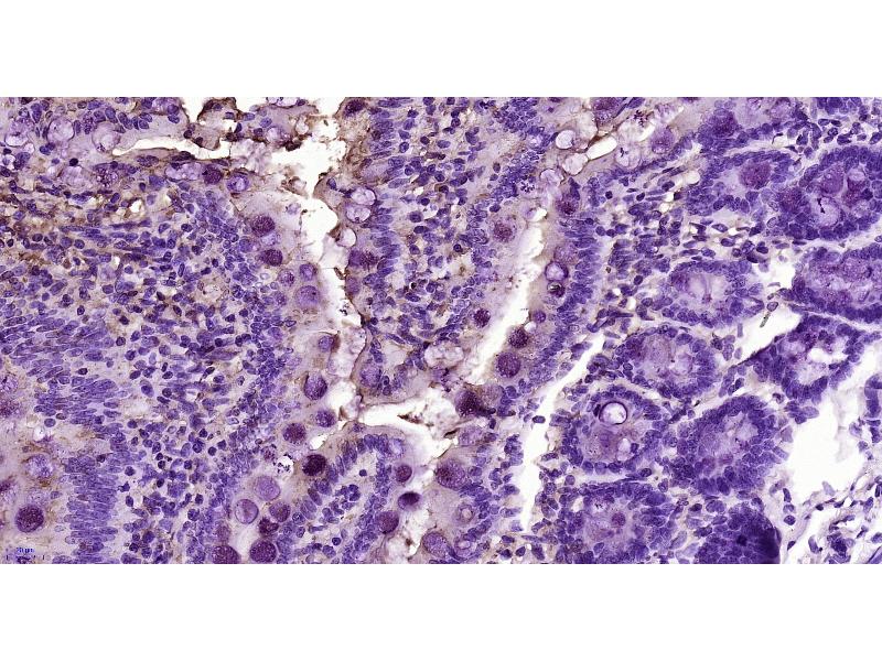
Progestin Receptor beta/mprb (AA 251-300) anticorps

Il existe 1 publication pour ce produit. L’anticorps anti-Progestin Receptor beta/mprb Polyclonal Lapin est utilisé pour la détection de Progestin Receptor beta/mprb dans des échantillons de Chien, Souris, Rat et Mouton. Il a été validé pour ELISA, ICC, IF (cc), IF (p), IHC (fro), IHC (p) et WB.
N° du produit ABIN1387676
357,70 €
Plus frais de livraison 40,00 € et TVA
100 μL
Destination: France
Envoi sous 8 à 12 jours ouvrables

Aperçu rapide pour Progestin Receptor beta/mprb (AA 251-300) anticorps (ABIN1387676)

Antigène

Progestin Receptor beta/mprb

Reactivité

Chien, Souris, Rat, Mouton

Hôte

Lapin

Clonalité

Polyclonal

Application

ELISA, Immunocytochemistry (ICC), Immunofluorescence (Cultured Cells) (IF (cc)), Immunofluorescence (Paraffin-embedded Sections) (IF (p)), Immunohistochemistry (Frozen Sections) (IHC (fro)), Immunohistochemistry (Paraffin-embedded Sections) (IHC (p)), Western Blotting (WB)
  • Épitope

    AA 251-300

     Réactivité croisée

    Chien, Souris, Rat, Mouton

    Homologie

    Human,Cow,Pig,Horse,Chicken,Rabbit

    Purification

    Purified by Protein A.

    Immunogène

    KLH conjugated synthetic peptide derived from human Progestin Receptor Beta

    Isotype

    IgG
  • Indications d'application

    WB 1:300-5000
    ELISA 1:500-1000
    IHC-P 1:200-400
    IHC-F 1:100-500
    IF(IHC-P) 1:50-200
    IF(IHC-F) 1:50-200
    IF(ICC) 1:50-200
    ICC 1:100-500

    Restrictions

    For Research Use only
  • Format

    Liquid

    Concentration

    1 μg/μL

    Buffer

    0.01M TBS( pH 7.4) with 1 % BSA, 0.02 % Proclin300 and 50 % Glycerol.

    Agent conservateur

    ProClin

    Précaution d'utilisation

    This product contains ProClin: a POISONOUS AND HAZARDOUS SUBSTANCE, which should be handled by trained staff only.

    Stock

    4 °C,-20 °C

    Stockage commentaire

    Shipped at 4°C. Store at -20°C for one year. Avoid repeated freeze/thaw cycles.

    Date de péremption

    12 months
  • Kasubuchi, Watanabe, Hirano, Inoue, Li, Terasawa, Konishi, Itoh, Kimura: "Membrane progesterone receptor beta (mPRβ/Paqr8) promotes progesterone-dependent neurite outgrowth in PC12 neuronal cells via non-G protein-coupled receptor (GPCR) signaling." dans: Scientific reports, Vol. 7, Issue 1, pp. 5168, (2017) (PubMed).

  • Antigène

    Progestin Receptor beta/mprb

    Sujet

    Synonyms: C6orf33, LMPB1, Lysosomal membrane protein in brain 1, Membrane progestin receptor beta, mPR beta, MPRB, PAQR8, Progestin and adipoQ receptor family member 8, Progestin and adipoQ receptor family member VIII, MPRB_HUMAN.

    Background: The steroid progesterone induces the resumption of maturation in oocytes via a nongenomic pathway through binding to a novel membrane progestin receptor (mPR). This pathway inhibits adenylyl cyclase and reduces intracellular cAMP, and also activates mitogen-activated protein kinase to effect signal transduction pathways. Five distinct groups, designated Alpha, Beta, Gamma, Delta, comprise the mPR gene family. mPR Alpha, also designated progestin and adipo Theta receptor family member VII (PAQR7), consists of an extracellular N-terminus, an intracellular C-terminus and seven transmembrane domains. mPR Alpha is expressed in ovary, testis, placenta, uterus and bladder. mPR Beta, or progestin and adipo Theta receptor family member VIII (PAQR8), consists of eight putative transmembrane regions and an intracellular N-terminus that contains a leucine-rich motif. mPR Beta is a 354 amino acid protein expressed in brain and spinal cord. Both mPR Alpha and mPR Beta may be G protein-coupled receptors and may be involved in oocyte maturation.

    ID gène

    85315
Vous êtes ici:
Chat with us!