CRTAM anticorps (AA 31-130)
Aperçu rapide pour CRTAM anticorps (AA 31-130) (ABIN1387894)
Antigène
Voir toutes CRTAM AnticorpsReactivité
Hôte
Clonalité
Conjugué
Application
-
-
Épitope
- AA 31-130
-
Réactivité croisée
- Humain, Souris
-
Homologie
- Rat,Pig,Rabbit
-
Purification
- Purified by Protein A.
-
Immunogène
- KLH conjugated synthetic peptide derived from human CRTAM
-
Isotype
- IgG
-
-
-
-
Indications d'application
-
WB 1:300-5000
ELISA 1:500-1000
FCM 1:20-100
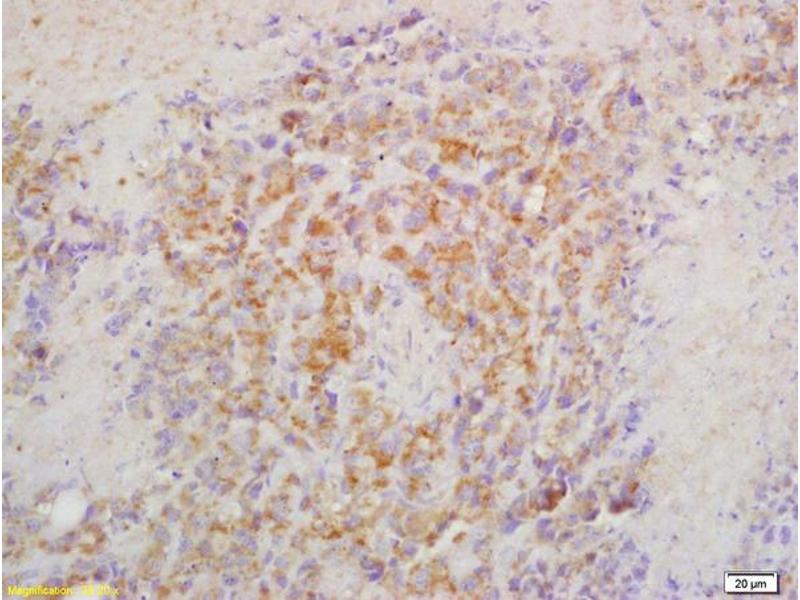
IHC-P 1:200-400
IHC-F 1:100-500
IF(IHC-P) 1:50-200
IF(IHC-F) 1:50-200
IF(ICC) 1:50-200
ICC 1:100-500 -
Restrictions
- For Research Use only
-
-
-
Format
- Liquid
-
Concentration
- 1 μg/μL
-
Buffer
- 0.01M TBS( pH 7.4) with 1 % BSA, 0.02 % Proclin300 and 50 % Glycerol.
-
Agent conservateur
- ProClin
-
Précaution d'utilisation
- This product contains ProClin: a POISONOUS AND HAZARDOUS SUBSTANCE, which should be handled by trained staff only.
-
Stock
- 4 °C,-20 °C
-
Stockage commentaire
- Shipped at 4°C. Store at -20°C for one year. Avoid repeated freeze/thaw cycles.
-
Date de péremption
- 12 months
-
-
-
: "miR-142-3p Regulates Cortical Oligodendrocyte Gene Co-expression Networks Associated with Tauopathy." dans: Human molecular genetics, (2021) (PubMed).
-
-
- CRTAM (Cytotoxic and Regulatory T Cell Molecule (CRTAM))
-
Autre désignation
- CRTAM
-
Sujet
-
Synonyms: CD355, Cytotoxic and regulatory T-cell molecule, Class-I MHC-restricted T-cell-associated molecule, CRTAM
Background: Interaction with CADM1 promotes natural killer (NK) cell cytotoxicity and interferon-gamma (IFN-gamma) secretion by CD8+ cells in vitro as well as NK cell-mediated rejection of tumors expressing CADM3 in vivo.
-
ID gène
- 56253
-
UniProt
- O95727
-
Pathways
- Regulation of Leukocyte Mediated Immunity, Positive Regulation of Immune Effector Process, Activated T Cell Proliferation
Antigène
-