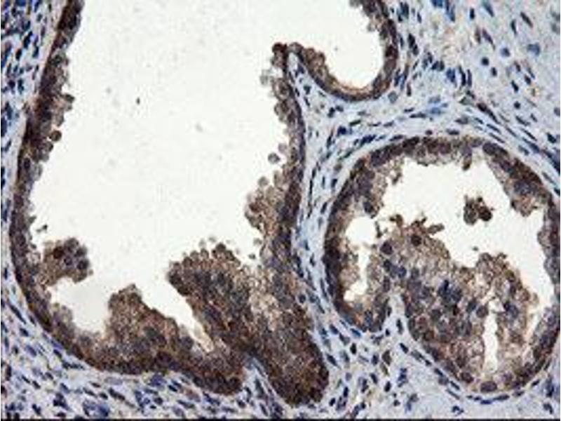
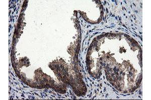
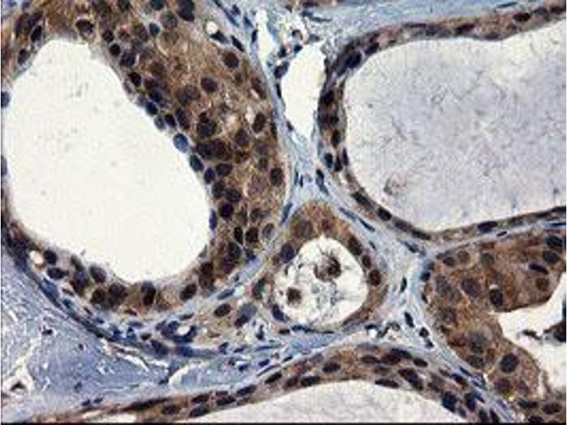
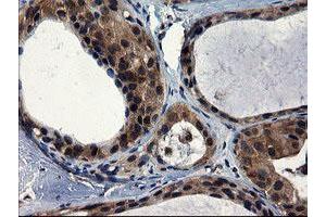
CNOT4 anticorps (AA 190-455)
Aperçu rapide pour CNOT4 anticorps (AA 190-455) (ABIN1491098)
Antigène
Voir toutes CNOT4 AnticorpsReactivité
Hôte
Clonalité
Conjugué
Application
Clone
-
-
Épitope
- AA 190-455
-
Specificité
- Human CNOT4 / CLONE243
-
Purification
- Protein A/G purified
-
Immunogène
-
Human recombinant protein fragment corresponding to amino acids 190-455 of human CNOT4 (NP_037448) produced in E. coli.
Type of Immunogen: Recombinant protein -
Isotype
- IgG1
-
-
-
-
Indications d'application
- Approved: IHC, IHC-P (1:150), WB (1:2000)
-
Commentaires
-
Target Species of Antibody: Human
-
Restrictions
- For Research Use only
-
-
-
Format
- Liquid
-
Concentration
- Lot specific
-
Buffer
- PBS, pH 7.3, 1 % BSA, 50 % glycerol, 0.02 % sodium azide
-
Agent conservateur
- Sodium azide
-
Précaution d'utilisation
- This product contains Sodium azide: a POISONOUS AND HAZARDOUS SUBSTANCE which should be handled by trained staff only.
-
Stock
- -20 °C
-
Stockage commentaire
- Store at -20°C. Avoid freeze-thaw cycles.
-
-
- CNOT4 (CCR4-NOT Transcription Complex, Subunit 4 (CNOT4))
-
Autre désignation
- CNOT4 / CLONE243
-
Sujet
-
Name/Gene ID: CNOT4
Synonyms: CNOT4, CCR4-associated factor 4, NOT4, Not4-n, NOT4H, CLONE243 -
ID gène
- 4850
-
NCBI Accession
- NP_037448
Antigène
-