RASGRP3 anticorps (AA 380-690)
Aperçu rapide pour RASGRP3 anticorps (AA 380-690) (ABIN1491477)
Antigène
Voir toutes RASGRP3 AnticorpsReactivité
Hôte
Clonalité
Conjugué
Application
Clone
-
-
Épitope
- AA 380-690
-
Specificité
- Human RASGRP3 / GRP3
-
Purification
- Protein A/G purified
-
Immunogène
-
Human recombinant protein fragment corresponding to amino acids 380-690 of human RASGRP3 (NP_733772) produced in E. coli.
Type of Immunogen: Recombinant protein -
Isotype
- IgG1
-
-
-
-
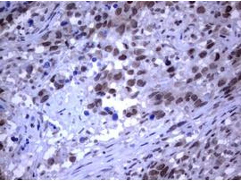
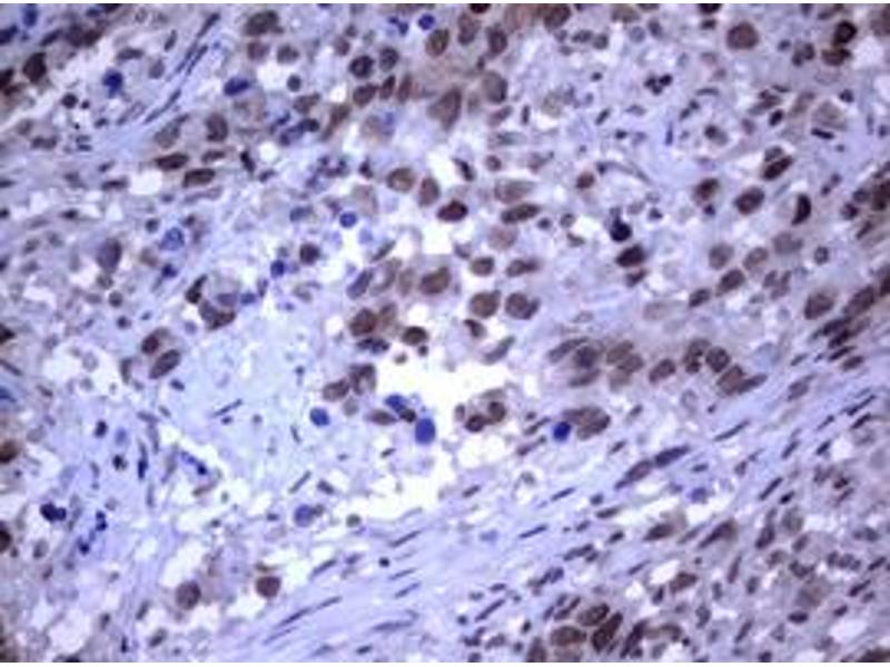
Indications d'application
- Approved: IHC, IHC-P (1:150), WB (1:2000)
-
Commentaires
-
Target Species of Antibody: Human
-
Restrictions
- For Research Use only
-
-
-
Format
- Liquid
-
Concentration
- Lot specific
-
Buffer
- PBS, pH 7.3, 1 % BSA, 50 % glycerol, 0.02 % sodium azide
-
Agent conservateur
- Sodium azide
-
Précaution d'utilisation
- This product contains Sodium azide: a POISONOUS AND HAZARDOUS SUBSTANCE which should be handled by trained staff only.
-
Conseil sur la manipulation
- Minimize freezing and thawing.
-
Stock
- -20 °C
-
Stockage commentaire
- Store at -20°C. Avoid freeze-thaw cycles.
-
-
- RASGRP3 (RAS Guanyl Releasing Protein 3 (Calcium and DAG-Regulated) (RASGRP3))
-
Autre désignation
- RASGRP3 / GRP3
-
Sujet
-
Name/Gene ID: RASGRP3
Synonyms: RASGRP3, GRP3, KIAA0846, Ras guanyl-releasing protein 3 -
ID gène
- 25780
-
NCBI Accession
- NP_733772
Antigène
-