Tel:
+49 (0)241 95 163 153
Fax:
+49 (0)241 95 163 155
E-Mail:
orders@anticorps-enligne.fr

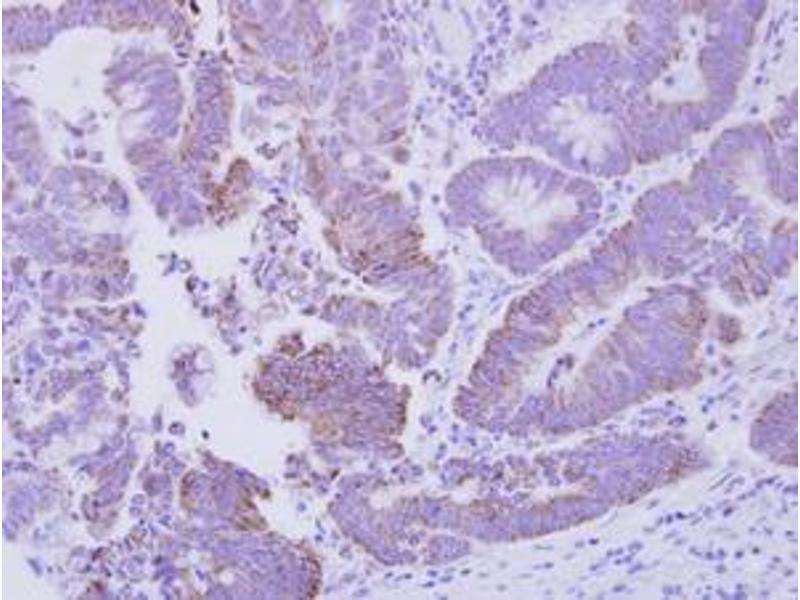
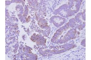
CG1458 anticorps (AA 1-133)

Cet anticorps anti-CG1458 Polyclonal Lapin (ABIN1496301) détecte spécifiquement CG1458 dans IHC, IHC (p) et WB. L’anticorps est réactif avec des échantillons de Drosophila melanogaster et Humain.
N° du produit ABIN1496301
833,74 €
Plus frais de livraison 40,00 € et TVA
100 μL
Destination: France
Envoi sous 15 à 20 jours ouvrables

Aperçu rapide pour CG1458 anticorps (AA 1-133) (ABIN1496301)

Antigène

CG1458

Reactivité

Drosophila melanogaster, Humain

Hôte

Lapin

Clonalité

Polyclonal

Application

Immunohistochemistry (IHC), Immunohistochemistry (Paraffin-embedded Sections) (IHC (p)), Western Blotting (WB)
  • Épitope

    AA 1-133

    Specificité

    Drosophila, human CG1458

    Homologie

    Percent identity by BLAST analysis:

    Purification

    Immunoaffinity purified

    Immunogène

    Recombinant fragment corresponding to a region within amino acids 1 and 133 of CG1458 (SwissProt Q9VAM6). Percent identity by BLAST analysis:

    Type of Immunogen: Recombinant protein

    Isotype

    IgG
  • Indications d'application

    Approved: IHC, IHC-P (1:100 - 1:1000), WB (1:500 - 1:3000)

    Usage: Suggested starting dilutions are as follows: Western blot: 1:500-1:3000, IHC-Paraffin: 1:100-1:1000 [suggested antigen retrieval using heat mediated 10 mM Citrate buffer (  pH 6.0) or Tris-EDTA buffer (  pH 8.0)]. Not yet tested in other applications. Optimal working dilutions should be determined experimentally by the end user.

    Commentaires

    Target Species of Antibody: Drosophila

    Restrictions

    For Research Use only
  • Format

    Liquid

    Concentration

    Lot specific

    Buffer

    PBS,  pH 7, 1 % BSA, 20 % Glycerol, 0.01 % Thimerosal

    Agent conservateur

    Thimerosal (Merthiolate)

    Précaution d'utilisation

    This product contains Thimerosal (Merthiolate): a POISONOUS AND HAZARDOUS SUBSTANCE which should be handled by trained staff only.

    Conseil sur la manipulation

    Avoid freeze-thaw cycles.

    Stock

    -20 °C

    Stockage commentaire

    Aliquot and freeze at -20°C. Avoid freeze-thaw cycles.
  • Antigène

    CG1458

    Autre désignation

    CG1458

    Sujet

    Name/Gene ID: CG1458

    Synonyms: CG1458, BcDNA:RE49709, Dmel\CG1458

    ID gène

    43459

    UniProt

    Q9VAM6
Vous êtes ici:
Chat with us!