NIF3L1 anticorps
Aperçu rapide pour NIF3L1 anticorps (ABIN1496618)
Antigène
Voir toutes NIF3L1 AnticorpsReactivité
Hôte
Clonalité
Conjugué
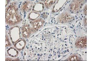
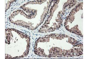
Application
Clone
-
-
Specificité
- Human ALS2CR1 / NIF3L1
-
Purification
- Protein A/G purified
-
Immunogène
-
Full length human recombinant protein of human NIF3L1(NP_068596) produced in HEK293T cell.
Type of Immunogen: Recombinant protein -
Isotype
- IgG2a
-
-
-
-
Indications d'application
- Approved: IF (1:100), IHC, IHC-P (1:150), WB (1:500 - 1:2000)
-
Commentaires
-
Target Species of Antibody: Human
-
Restrictions
- For Research Use only
-
-
-
Format
- Liquid
-
Concentration
- Lot specific
-
Buffer
- PBS, pH 7.3, 1 % BSA, 50 % glycerol, 0.02 % sodium azide
-
Agent conservateur
- Sodium azide
-
Précaution d'utilisation
- This product contains Sodium azide: a POISONOUS AND HAZARDOUS SUBSTANCE which should be handled by trained staff only.
-
Stock
- -20 °C
-
Stockage commentaire
- Store at -20°C. Avoid freeze-thaw cycles.
-
-
- NIF3L1 (NIF3 NGG1 Interacting Factor 3-Like 1 (NIF3L1))
-
Autre désignation
- ALS2CR1 / NIF3L1
-
Sujet
-
Name/Gene ID: NIF3L1
Synonyms: NIF3L1, CALS-7, MDS015, NIF3-like protein 1, ALS2CR1 -
ID gène
- 60491
-
NCBI Accession
- NP_068596
Antigène
-