GALE anticorps
Aperçu rapide pour GALE anticorps (ABIN1498366)
Antigène
Voir toutes GALE AnticorpsReactivité
Hôte
Clonalité
Conjugué
Application
Clone
-
-
Specificité
- Human GALE
-
Purification
- Protein A/G purified
-
Immunogène
-
Full length human recombinant protein of human GALE (NP_000394) produced in HEK293T cell.
Type of Immunogen: Recombinant protein -
Isotype
- IgG1
-
-
-
-
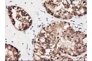
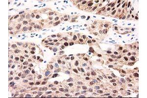
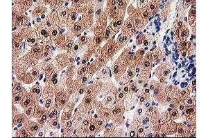
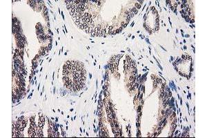
Indications d'application
- Approved: IHC, IHC-P (1:150), WB (1:500 - 1:2000)
-
Commentaires
-
Target Species of Antibody: Human
-
Restrictions
- For Research Use only
-
-
-
Format
- Liquid
-
Concentration
- Lot specific
-
Buffer
- PBS, pH 7.3, 1 % BSA, 50 % glycerol, 0.02 % sodium azide
-
Agent conservateur
- Sodium azide
-
Précaution d'utilisation
- This product contains Sodium azide: a POISONOUS AND HAZARDOUS SUBSTANCE which should be handled by trained staff only.
-
Stock
- -20 °C
-
Stockage commentaire
- Store at -20°C. Avoid freeze-thaw cycles.
-
-
- GALE (UDP-Galactose-4-Epimerase (GALE))
-
Autre désignation
- GALE
-
Sujet
-
Name/Gene ID: GALE
Synonyms: GALE, Galactowaldenase, Galactose-4-epimerase, UDP-, UDP-glucose 4-epimerase, SDR1E1, UDP galactose-4-epimerase, UDP-galactose 4-epimerase, UDP-galactose-4-epimerase -
ID gène
- 2582
-
NCBI Accession
- NP_000394
-
Pathways
- Response to Water Deprivation, Cellular Glucan Metabolic Process
Antigène
-