GSTT2 anticorps
Aperçu rapide pour GSTT2 anticorps (ABIN1498553)
Antigène
Voir toutes GSTT2 AnticorpsReactivité
Hôte
Clonalité
Conjugué
Application
Clone
-
-
Specificité
- Human GSTT2
-
Purification
- Protein A/G purified
-
Immunogène
-
Full length human recombinant protein of human GSTT2(NP_000845) produced in HEK293T cell.
Type of Immunogen: Recombinant protein -
Isotype
- IgG2b
-
-
-
-
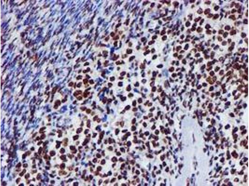
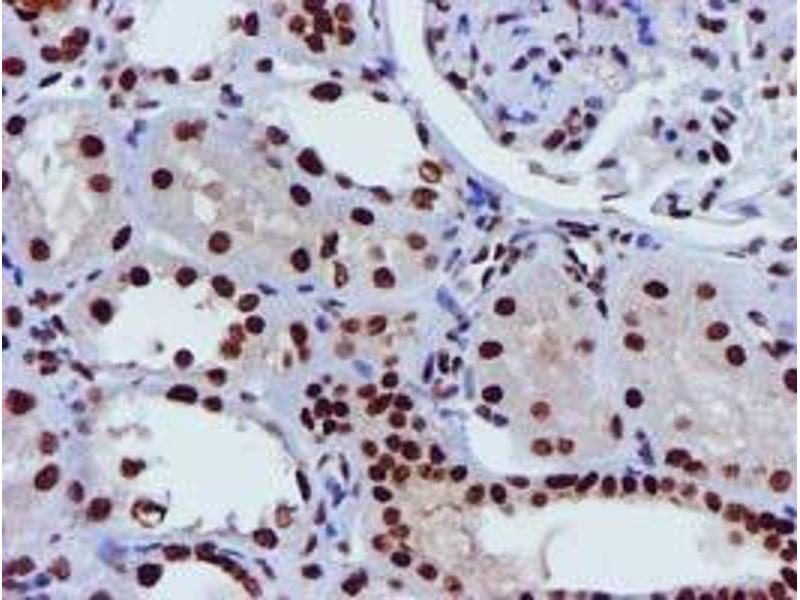
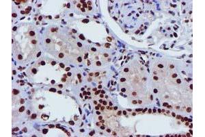
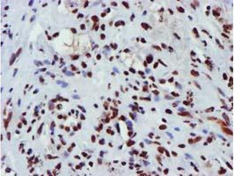
Indications d'application
- Approved: Flo (1:100), IF (1:100), IHC, IHC-P (1:150), WB (1:2000)
-
Commentaires
-
Target Species of Antibody: Human
-
Restrictions
- For Research Use only
-
-
-
Format
- Liquid
-
Concentration
- Lot specific
-
Buffer
- PBS, pH 7.3, 1 % BSA, 50 % glycerol, 0.02 % sodium azide
-
Agent conservateur
- Sodium azide
-
Précaution d'utilisation
- This product contains Sodium azide: a POISONOUS AND HAZARDOUS SUBSTANCE which should be handled by trained staff only.
-
Conseil sur la manipulation
- Minimize freezing and thawing.
-
Stock
- -20 °C
-
Stockage commentaire
- Store at -20°C. Avoid freeze-thaw cycles.
-
-
- GSTT2 (Glutathione S-Transferase theta 2 (GSTT2))
-
Autre désignation
- GSTT2
-
Sujet
-
Name/Gene ID: GSTT2
Synonyms: GSTT2, GST class-theta-2 -
ID gène
- 2953
-
NCBI Accession
- NP_000845
-
UniProt
- P0CG30
-
Pathways
- Myometrial Relaxation and Contraction, Autophagy
Antigène
-