MRPS34 anticorps
Aperçu rapide pour MRPS34 anticorps (ABIN1499566)
Antigène
Voir toutes MRPS34 AnticorpsReactivité
Hôte
Clonalité
Conjugué
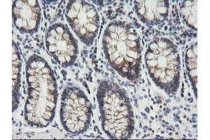
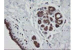
Application
Clone
-
-
Specificité
- Human MRPS34
-
Purification
- Protein A/G purified
-
Immunogène
-
Full length human recombinant protein of human MRPS34(NP_076425) produced in E. coli.
Type of Immunogen: Recombinant protein -
Isotype
- IgG1
-
-
-
-
Indications d'application
- Approved: IF (1:100), IHC, IHC-P (1:150), WB (1:500 - 1:1000)
-
Commentaires
-
Target Species of Antibody: Human
-
Restrictions
- For Research Use only
-
-
-
Format
- Liquid
-
Concentration
- Lot specific
-
Buffer
- PBS, pH 7.3, 1 % BSA, 50 % glycerol, 0.02 % sodium azide
-
Agent conservateur
- Sodium azide
-
Précaution d'utilisation
- This product contains Sodium azide: a POISONOUS AND HAZARDOUS SUBSTANCE which should be handled by trained staff only.
-
Stock
- -20 °C
-
Stockage commentaire
- Store at -20°C. Avoid freeze-thaw cycles.
-
-
- MRPS34 (Mitochondrial Ribosomal Protein S34 (MRPS34))
-
Autre désignation
- MRPS34
-
Sujet
-
Name/Gene ID: MRPS34
Synonyms: MRPS34, S34mt, MRP-S34, MRP-S12 -
ID gène
- 65993
-
NCBI Accession
- NP_076425
Antigène
-