PECR anticorps
Aperçu rapide pour PECR anticorps (ABIN1500148)
Antigène
Voir toutes PECR AnticorpsReactivité
Hôte
Clonalité
Conjugué
Application
Clone
-
-
Specificité
- Human PECR
-
Purification
- Protein A/G purified
-
Immunogène
-
Full length human recombinant protein of human PECR (NP_060911) produced in HEK293T cell.
Type of Immunogen: Recombinant protein -
Isotype
- IgG1
-
-
-
-
Indications d'application
-
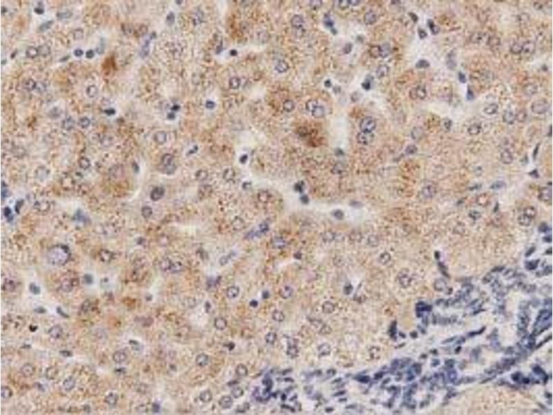
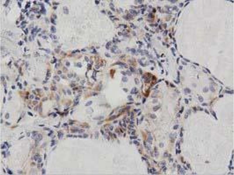
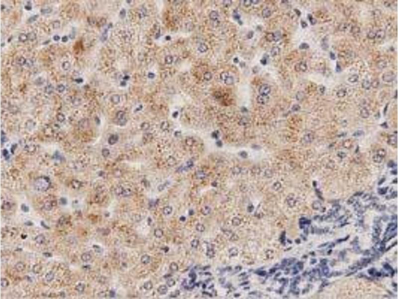
Approved: Flo (1:100), IF (1:100), IHC, IHC-P (1:150), WB (1:500 - 1:2000)
Usage: Concentration: 0.50 mg/mL (Lot dependent) -
Commentaires
-
Target Species of Antibody: Human
-
Restrictions
- For Research Use only
-
-
-
Format
- Liquid
-
Concentration
- Lot specific
-
Buffer
- PBS, pH 7.3, 1 % BSA, 50 % glycerol, 0.02 % sodium azide
-
Agent conservateur
- Sodium azide
-
Précaution d'utilisation
- This product contains Sodium azide: a POISONOUS AND HAZARDOUS SUBSTANCE which should be handled by trained staff only.
-
Stock
- -20 °C
-
Stockage commentaire
- Store at -20°C. Avoid freeze-thaw cycles.
-
-
- PECR (Peroxisomal Trans-2-Enoyl-CoA Reductase (PECR))
-
Autre désignation
- PECR
-
Sujet
-
Name/Gene ID: PECR
Synonyms: PECR, DCRRP, HPDHASE, PVI-ARL, PVIARL, TERP, DCR-RP, HSA250303, SDR29C1 -
ID gène
- 55825
-
NCBI Accession
- NP_060911
Antigène
-