PNMT anticorps
Aperçu rapide pour PNMT anticorps (ABIN1500314)
Antigène
Voir toutes PNMT AnticorpsReactivité
Hôte
Clonalité
Conjugué
Application
Clone
-
-
Specificité
- Human PNMT
-
Purification
- Protein A/G purified
-
Immunogène
-
Full length human recombinant protein of human PNMT (NP_002677) produced in HEK293T cell.
Type of Immunogen: Recombinant protein -
Isotype
- IgG2a
-
-
-
-
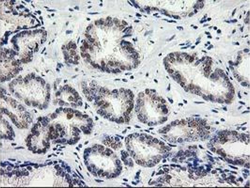
Indications d'application
- Approved: IF (1:100), IHC, IHC-P (1:150), WB (1:2000)
-
Commentaires
-
Target Species of Antibody: Human
-
Restrictions
- For Research Use only
-
-
-
Format
- Liquid
-
Concentration
- Lot specific
-
Buffer
- PBS, pH 7.3, 1 % BSA, 50 % glycerol, 0.02 % sodium azide
-
Agent conservateur
- Sodium azide
-
Précaution d'utilisation
- This product contains Sodium azide: a POISONOUS AND HAZARDOUS SUBSTANCE which should be handled by trained staff only.
-
Conseil sur la manipulation
- Minimize freezing and thawing.
-
Stock
- -20 °C
-
Stockage commentaire
- Store at -20°C. Avoid freeze-thaw cycles.
-
-
- PNMT (Phenylethanolamine N-Methyltransferase (PNMT))
-
Autre désignation
- PNMT
-
Sujet
-
Name/Gene ID: PNMT
Synonyms: PNMT, PNMTase, PENT, Phenylethanolamine N-methylase -
ID gène
- 5409
-
NCBI Accession
- NP_002677
-
UniProt
- P11086
-
Pathways
- Response to Water Deprivation
Antigène
-