Tel:
+49 (0)241 95 163 153
Fax:
+49 (0)241 95 163 155
E-Mail:
orders@anticorps-enligne.fr

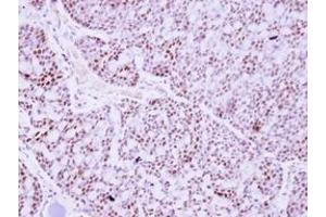
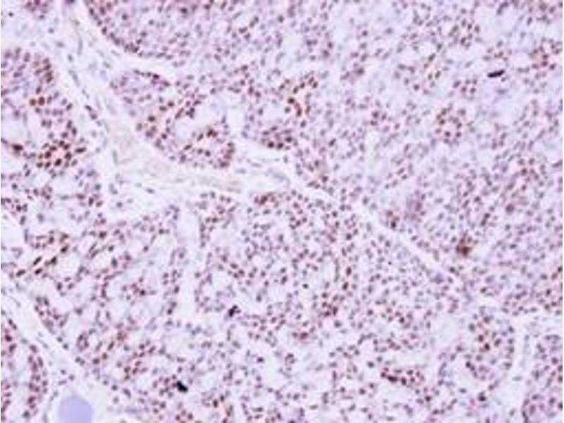
PTTG2 anticorps (AA 2-174)

L’anticorps anti-PTTG2 Polyclonal Lapin est utilisé pour la détection de PTTG2 dans des échantillons de Humain. Il a été validé pour WB, IHC (p) et IHC.
N° du produit ABIN1500512
833,74 €
Plus frais de livraison 40,00 € et TVA
100 μL
Destination: France
Envoi sous 15 à 20 jours ouvrables

Aperçu rapide pour PTTG2 anticorps (AA 2-174) (ABIN1500512)

Antigène

PTTG2 (Pituitary Tumor-Transforming 2 (PTTG2))

Reactivité

  • 28
  • 3
  • 2
  • 2
  • 2
  • 1
  • 1
Humain

Hôte

  • 27
  • 1
Lapin

Clonalité

  • 28
Polyclonal

Conjugué

  • 13
  • 3
  • 2
  • 2
  • 1
  • 1
  • 1
  • 1
  • 1
  • 1
  • 1
  • 1
Cet anticorp PTTG2 est non-conjugé

Application

  • 17
  • 11
  • 5
  • 1
  • 1
Western Blotting (WB), Immunohistochemistry (Paraffin-embedded Sections) (IHC (p)), Immunohistochemistry (IHC)
  • Épitope

    • 7
    • 5
    • 3
    • 2
    • 1
    • 1
    • 1
    • 1
    • 1
    AA 2-174

    Specificité

    Human PTTG2

    Homologie

    Percent identity by BLAST analysis:

    Purification

    Immunoaffinity purified

    Immunogène

    Recombinant protein fragment contain a sequence corresponding to a region within amino acids 2 and 174 of PTTG2. Percent identity by BLAST analysis:

    Type of Immunogen: Recombinant protein

    Isotype

    IgG
  • Indications d'application

    Approved: IHC, IHC-P (1:100 - 1:1000), WB (1:500 - 1:3000)

    Usage: Suggested starting dilutions are as follows: Western blot: 1:500-1:3000, IHC-Paraffin: 1:100-1:1000 [suggested antigen retrieval using heat mediated 10 mM Citrate buffer (  pH 6.0) or Tris-EDTA buffer (  pH 8.0)]. Not yet tested in other applications. Optimal working dilutions should be determined experimentally by the end user.

    Commentaires

    Target Species of Antibody: Human

    Restrictions

    For Research Use only
  • Format

    Liquid

    Concentration

    Lot specific

    Buffer

    PBS,  pH 7, 1 % BSA, 20 % Glycerol, 0.01 % Thimerosal

    Agent conservateur

    Thimerosal (Merthiolate)

    Précaution d'utilisation

    This product contains Thimerosal (Merthiolate): a POISONOUS AND HAZARDOUS SUBSTANCE which should be handled by trained staff only.

    Conseil sur la manipulation

    Avoid freeze-thaw cycles.

    Stock

    -20 °C

    Stockage commentaire

    Aliquot and freeze at -20°C. Avoid freeze-thaw cycles.
  • Antigène

    PTTG2 (Pituitary Tumor-Transforming 2 (PTTG2))

    Autre désignation

    PTTG2

    Sujet

    Name/Gene ID: PTTG2

    Synonyms: PTTG2, Pituitary tumor-transforming 2, Securin-2

    ID gène

    10744

    UniProt

    Q9NZH5
Vous êtes ici:
Chat with us!