Tel:
+49 (0)241 95 163 153
Fax:
+49 (0)241 95 163 155
E-Mail:
orders@anticorps-enligne.fr

RNF113B anticorps

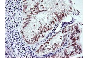
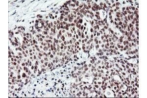
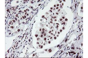
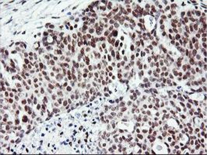
Cet anticorps Souris Monoclonal détecte spécifiquement RNF113B dans WB, IHC, IHC (p) et FACS. Il présente une réactivité avec des échantillons de Humain, Souris, Rat, Chien et Singe.
N° du produit ABIN1500715
806,47 €
Plus frais de livraison 40,00 € et TVA
100 μL
Destination: France
Envoi sous 15 à 20 jours ouvrables

Aperçu rapide pour RNF113B anticorps (ABIN1500715)

Antigène

RNF113B (Ring Finger Protein 113B (RNF113B))

Reactivité

Humain, Souris, Rat, Chien, Singe

Hôte

  • 30
  • 8
Souris

Clonalité

  • 32
  • 6
Monoclonal

Conjugué

  • 18
  • 1
  • 1
  • 1
  • 1
  • 1
  • 1
  • 1
  • 1
  • 1
  • 1
  • 1
  • 1
  • 1
  • 1
  • 1
  • 1
  • 1
  • 1
  • 1
  • 1
Cet anticorp RNF113B est non-conjugé

Application

  • 32
  • 13
  • 5
  • 4
  • 4
  • 4
  • 2
  • 1
  • 1
Western Blotting (WB), Immunohistochemistry (IHC), Immunohistochemistry (Paraffin-embedded Sections) (IHC (p)), Flow Cytometry (FACS)

Clone

2C10
  • Specificité

    Human RNF113B

    Purification

    Protein A/G purified

    Immunogène

    Full length human recombinant protein of human RNF113B(NP_849192) produced in HEK293T cell.

    Type of Immunogen: Recombinant protein

    Isotype

    IgG1
  • Indications d'application

    Approved: Flo (1:100), IHC, IHC-P (1:150), WB (1:500 - 1:2000)

    Commentaires

    Target Species of Antibody: Human

    Restrictions

    For Research Use only
  • Format

    Liquid

    Concentration

    Lot specific

    Buffer

    PBS,  pH 7.3, 1 % BSA, 50 % glycerol, 0.02 % sodium azide

    Agent conservateur

    Sodium azide

    Précaution d'utilisation

    This product contains Sodium azide: a POISONOUS AND HAZARDOUS SUBSTANCE which should be handled by trained staff only.

    Conseil sur la manipulation

    Minimize freezing and thawing.

    Stock

    -20 °C

    Stockage commentaire

    Store at -20°C. Avoid freeze-thaw cycles.
  • Antigène

    RNF113B (Ring Finger Protein 113B (RNF113B))

    Autre désignation

    RNF113B

    Sujet

    Name/Gene ID: RNF113B

    Synonyms: RNF113B, BA10G5.1, ZNF183L1, Zinc finger protein 183-like 1, Ring finger protein 113B, RNF161

    ID gène

    140432

    NCBI Accession

    NP_849192

    UniProt

    Q8IZP6
Vous êtes ici:
Chat with us!