Tel:
+49 (0)241 95 163 153
Fax:
+49 (0)241 95 163 155
E-Mail:
orders@anticorps-enligne.fr

DAXX anticorps (pSer668)

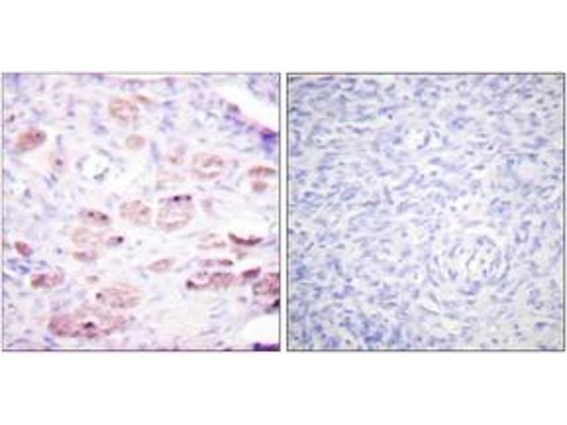
L’anticorps anti-DAXX Polyclonal Lapin est utilisé pour la détection de DAXX dans des échantillons de Humain. Il a été validé pour WB, ELISA et IHC.
N° du produit ABIN1531267
402,00 €
Plus frais de livraison 40,00 € et TVA
Destination: France
Envoi sous 6 à 9 jours ouvrables

Aperçu rapide pour DAXX anticorps (pSer668) (ABIN1531267)

Antigène

Voir toutes DAXX Anticorps
DAXX (Death-Domain Associated Protein (DAXX))

Reactivité

  • 169
  • 63
  • 52
  • 7
  • 2
  • 1
  • 1
  • 1
  • 1
  • 1
  • 1
  • 1
  • 1
Humain

Hôte

  • 153
  • 17
Lapin

Clonalité

  • 131
  • 39
Polyclonal

Conjugué

  • 63
  • 8
  • 7
  • 7
  • 5
  • 5
  • 5
  • 5
  • 5
  • 5
  • 5
  • 5
  • 5
  • 5
  • 5
  • 4
  • 4
  • 4
  • 4
  • 4
  • 4
  • 3
  • 1
  • 1
  • 1
Cet anticorp DAXX est non-conjugé

Application

  • 142
  • 65
  • 65
  • 39
  • 37
  • 34
  • 27
  • 24
  • 22
  • 16
  • 6
  • 3
  • 3
  • 2
  • 1
Western Blotting (WB), ELISA, Immunohistochemistry (IHC)
  • Épitope

    • 23
    • 21
    • 16
    • 16
    • 15
    • 8
    • 4
    • 4
    • 3
    • 2
    • 2
    • 2
    • 2
    • 2
    • 2
    • 2
    • 1
    • 1
    • 1
    • 1
    • 1
    • 1
    • 1
    • 1
    • 1
    • 1
    • 1
    • 1
    • 1
    • 1
    AA 634-683, pSer668

    Specificité

    Daxx (Phospho-Ser668) Antibody detects endogenous levels of Daxx only when phosphorylated at Ser668.

    PhosphorylationH:S668

    Purification

    The antibody was purified from rabbit antiserum by affinity-chromatography using phospho peptide. The antibody against non-phospho peptide was removed by chromatography using corresponding non-phospho peptide.

    Pureté

    > 95 %

    Immunogène

    The antiserum was produced against synthesized peptide derived from human Daxx around the phosphorylation site of Ser668.

    Isotype

    IgG
  • Indications d'application

    WB: 1:500~1:1000 IHC: 1:50~1:100 ELISA: 1:10000

    Commentaires

    Unigene-Number: Hs.336916 (NCBI Gene Symbol: DAXX)

    Restrictions

    For Research Use only
  • Format

    Liquid

    Concentration

    1 mg/mL

    Buffer

    phosphate buffered saline (without Mg2+ and Ca2+), pH 7.4, 150 mM NaCl, 0.02 % sodium azide and 50 % glycerol.

    Agent conservateur

    Sodium azide

    Précaution d'utilisation

    This product contains sodium azide: a POISONOUS AND HAZARDOUS SUBSTANCE which should be handled by trained staff only.

    Stock

    -20 °C

    Stockage commentaire

    Stable at -20°C for at least 1 year.

    Date de péremption

    12 months
  • Antigène

    DAXX (Death-Domain Associated Protein (DAXX))

    Autre désignation

    Daxx

    Sujet

    Synonyms: BING2, Death domain-associated protein 6, EAP1, ETS1 associated protein 1, Fas DEATH domain- associated protein

    NCBI Gene Symbol: DAXX

    Poids moléculaire

    81 kDa

    ID gène

    1616

    OMIM

    603186

    UniProt

    Q9UER7

    Pathways

    Intracellular Steroid Hormone Receptor Signaling Pathway
Vous êtes ici:
Chat with us!