Tel:
+49 (0)241 95 163 153
Fax:
+49 (0)241 95 163 155
E-Mail:
orders@anticorps-enligne.fr

JunB anticorps (pSer79)

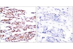
L’anticorps anti-JunB Polyclonal Lapin est utilisé pour la détection de JunB dans des échantillons de Humain, Souris et Rat. Il a été validé pour IHC, IP et ELISA.
N° du produit ABIN1531892
402,00 €
Plus frais de livraison 40,00 € et TVA
Destination: France
Envoi sous 6 à 9 jours ouvrables

Aperçu rapide pour JunB anticorps (pSer79) (ABIN1531892)

Antigène

Voir toutes JunB (JUNB) Anticorps
JunB (JUNB) (Jun B Proto-Oncogene (JUNB))

Reactivité

  • 133
  • 63
  • 59
  • 10
  • 9
  • 8
  • 7
  • 6
  • 5
  • 4
  • 3
  • 2
  • 2
  • 1
  • 1
  • 1
Humain, Souris, Rat

Hôte

  • 125
  • 7
  • 1
Lapin

Clonalité

  • 103
  • 30
Polyclonal

Conjugué

  • 70
  • 7
  • 4
  • 4
  • 4
  • 4
  • 4
  • 4
  • 3
  • 3
  • 2
  • 2
  • 2
  • 2
  • 2
  • 2
  • 2
  • 2
  • 2
  • 2
  • 2
  • 1
  • 1
  • 1
  • 1
Cet anticorp JunB est non-conjugé

Application

  • 95
  • 35
  • 34
  • 33
  • 28
  • 27
  • 26
  • 16
  • 15
  • 6
  • 5
  • 3
  • 2
  • 1
Immunohistochemistry (IHC), Immunoprecipitation (IP), ELISA
  • Épitope

    • 29
    • 15
    • 15
    • 13
    • 7
    • 4
    • 3
    • 3
    • 3
    • 3
    • 2
    • 2
    • 2
    • 2
    • 1
    • 1
    • 1
    • 1
    • 1
    • 1
    • 1
    • 1
    • 1
    • 1
    • 1
    • 1
    • 1
    • 1
    AA 46-95, pSer79

    Specificité

    JunB (Phospho-Ser79) Antibody detects endogenous levels of JunB only when phosphorylated at Ser79.

    PhosphorylationH:S79 M:S79 R:S79

    Purification

    The antibody was purified from rabbit antiserum by affinity-chromatography using phospho peptide. The antibody against non-phospho peptide was removed by chromatography using corresponding non-phospho peptide.

    Pureté

    > 95 %

    Immunogène

    The antiserum was produced against synthesized peptide derived from human JunB around the phosphorylation site of Ser79.

    Isotype

    IgG
  • Indications d'application

    IHC: 1:50~1:100 ELISA: 1:20000

    Commentaires

    Unigene-Number: Hs.25292 (NCBI Gene Symbol: JUNB)

    Restrictions

    For Research Use only
  • Format

    Liquid

    Concentration

    1 mg/mL

    Buffer

    phosphate buffered saline (without Mg2+ and Ca2+), pH 7.4, 150 mM NaCl, 0.02 % sodium azide and 50 % glycerol.

    Agent conservateur

    Sodium azide

    Précaution d'utilisation

    This product contains sodium azide: a POISONOUS AND HAZARDOUS SUBSTANCE which should be handled by trained staff only.

    Stock

    -20 °C

    Stockage commentaire

    Stable at -20°C for at least 1 year.

    Date de péremption

    12 months
  • Antigène

    JunB (JUNB) (Jun B Proto-Oncogene (JUNB))

    Autre désignation

    JunB

    Sujet

    Synonyms: Transcription factor jun-B

    NCBI Gene Symbol: JUNB

    Poids moléculaire

    35 kDa

    ID gène

    3726

    OMIM

    165161

    UniProt

    P17275
Vous êtes ici:
Chat with us!