MMP10 anticorps (AA 361-410)
Aperçu rapide pour MMP10 anticorps (AA 361-410) (ABIN1533343)
Antigène
Voir toutes MMP10 AnticorpsReactivité
Hôte
Clonalité
Conjugué
Application
-
-
Épitope
- AA 361-410
-
Specificité
-
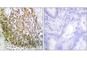
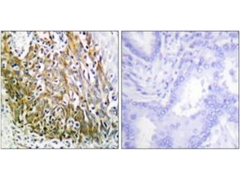
MMP-10 Antibody detects endogenous levels of total MMP-10 protein.
-
Purification
- The antibody was purified from rabbit antiserum by affinity-chromatography using immunogen.
-
Pureté
- > 95 %
-
Immunogène
- The antiserum was produced against synthesized peptide derived from human MMP-10.
-
Isotype
- IgG
-
-
-
-
Indications d'application
- IHC: 1:50~1:100 IF: 1:100~1:500 ELISA: 1:10000
-
Commentaires
-
Unigene-Number: Hs.2258 (NCBI Gene Symbol: MMP10)
-
Restrictions
- For Research Use only
-
-
-
Format
- Liquid
-
Concentration
- 1 mg/mL
-
Buffer
- phosphate buffered saline (without Mg2+ and Ca2+), pH 7.4, 150 mM NaCl, 0.02 % sodium azide and 50 % glycerol.
-
Agent conservateur
- Sodium azide
-
Précaution d'utilisation
- This product contains sodium azide: a POISONOUS AND HAZARDOUS SUBSTANCE which should be handled by trained staff only.
-
Stock
- -20 °C
-
Stockage commentaire
- Stable at -20°C for at least 1 year.
-
Date de péremption
- 12 months
-
-
- MMP10 (Matrix Metallopeptidase 10 (Stromelysin 2) (MMP10))
-
Autre désignation
- MMP-10
-
Sujet
-
Synonyms: STMY2, STROMELYSIN II, matrix metalloproteinase 10 (stromelysin 2)
NCBI Gene Symbol: MMP10
-
Poids moléculaire
- 54 kDa
-
ID gène
- 4319
-
OMIM
- 185260
-
UniProt
- P09238
Antigène
-