Tel:
+49 (0)241 95 163 153
Fax:
+49 (0)241 95 163 155
E-Mail:
orders@anticorps-enligne.fr

TOP2B anticorps (AA 1-50)

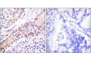
Cet anticorps anti-TOP2B Polyclonal Lapin (ABIN1533446) détecte spécifiquement TOP2B dans WB, IHC et ELISA. L’anticorps est réactif avec des échantillons de Humain et Souris.
N° du produit ABIN1533446
402,00 €
Plus frais de livraison 40,00 € et TVA
Destination: France
Envoi sous 6 à 9 jours ouvrables

Aperçu rapide pour TOP2B anticorps (AA 1-50) (ABIN1533446)

Antigène

Voir toutes TOP2B Anticorps
TOP2B (Topoisomerase (DNA) II beta 180kDa (TOP2B))

Reactivité

  • 50
  • 19
  • 19
  • 5
  • 4
  • 4
  • 3
  • 3
  • 3
  • 1
  • 1
Humain, Souris

Hôte

  • 49
  • 2
Lapin

Clonalité

  • 49
  • 1
Polyclonal

Conjugué

  • 26
  • 3
  • 3
  • 2
  • 1
  • 1
  • 1
  • 1
  • 1
  • 1
  • 1
  • 1
  • 1
  • 1
  • 1
  • 1
  • 1
  • 1
  • 1
  • 1
  • 1
Cet anticorp TOP2B est non-conjugé

Application

  • 21
  • 15
  • 15
  • 13
  • 13
  • 9
  • 7
  • 6
  • 6
  • 3
  • 2
  • 1
  • 1
Western Blotting (WB), Immunohistochemistry (IHC), ELISA
  • Épitope

    • 15
    • 6
    • 5
    • 3
    • 2
    • 2
    • 1
    • 1
    • 1
    • 1
    • 1
    • 1
    • 1
    • 1
    AA 1-50

    Specificité

    TOP2B Antibody detects endogenous levels of total TOP2B protein.

    Purification

    The antibody was purified from rabbit antiserum by affinity-chromatography using immunogen.

    Pureté

    > 95 %

    Immunogène

    The antiserum was produced against synthesized peptide derived from human TOP2B.

    Isotype

    IgG
  • Indications d'application

    WB: 1:500~1:1000 IHC: 1:50~1:100 ELISA: 1:20000

    Commentaires

    Unigene-Number: Hs.475733 (NCBI Gene Symbol: TOP2B)

    Restrictions

    For Research Use only
  • Format

    Liquid

    Concentration

    1 mg/mL

    Buffer

    phosphate buffered saline (without Mg2+ and Ca2+), pH 7.4, 150 mM NaCl, 0.02 % sodium azide and 50 % glycerol.

    Agent conservateur

    Sodium azide

    Précaution d'utilisation

    This product contains sodium azide: a POISONOUS AND HAZARDOUS SUBSTANCE which should be handled by trained staff only.

    Stock

    -20 °C

    Stockage commentaire

    Stable at -20°C for at least 1 year.

    Date de péremption

    12 months
  • Antigène

    TOP2B (Topoisomerase (DNA) II beta 180kDa (TOP2B))

    Autre désignation

    TOP2B

    Sujet

    Synonyms: DNA topoisomerase 2-beta, DNA topoisomerase II, beta isozyme, TOP2B

    NCBI Gene Symbol: TOP2B

    Poids moléculaire

    183 kDa

    ID gène

    7155

    OMIM

    126431

    UniProt

    Q02880
Vous êtes ici:
Chat with us!