BUB1 anticorps (AA 251-300)
Aperçu rapide pour BUB1 anticorps (AA 251-300) (ABIN1533511)
Antigène
Voir toutes BUB1 AnticorpsReactivité
Hôte
Clonalité
Conjugué
Application
-
-
Épitope
- AA 251-300
-
Specificité
-
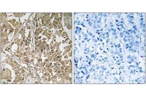
BUB1 Antibody detects endogenous levels of total BUB1 protein.
-
Purification
- The antibody was purified from rabbit antiserum by affinity-chromatography using immunogen.
-
Pureté
- > 95 %
-
Immunogène
- The antiserum was produced against synthesized peptide derived from human BUB1.
-
Isotype
- IgG
-
-
-
-
Indications d'application
- IHC: 1:50~1:100 ELISA: 1:10000
-
Commentaires
-
Unigene-Number: Hs.469649 (NCBI Gene Symbol: BUB1)
-
Restrictions
- For Research Use only
-
-
-
Format
- Liquid
-
Concentration
- 1 mg/mL
-
Buffer
- phosphate buffered saline (without Mg2+ and Ca2+), pH 7.4, 150 mM NaCl, 0.02 % sodium azide and 50 % glycerol.
-
Agent conservateur
- Sodium azide
-
Précaution d'utilisation
- This product contains sodium azide: a POISONOUS AND HAZARDOUS SUBSTANCE which should be handled by trained staff only.
-
Stock
- -20 °C
-
Stockage commentaire
- Stable at -20°C for at least 1 year.
-
Date de péremption
- 12 months
-
-
- BUB1 (Budding Uninhibited By Benzimidazoles 1 Homolog (Yeast) (BUB1))
-
Autre désignation
- BUB1
-
Sujet
-
Synonyms: BUB1A, BUB1L, MBUB1, Mitotic checkpoint BUB1, hBUB1
NCBI Gene Symbol: BUB1
-
Poids moléculaire
- 122 kDa
-
ID gène
- 699
-
OMIM
- 602452
-
UniProt
- O43683
Antigène
-