MAP3K6 anticorps (AA 281-330)
Aperçu rapide pour MAP3K6 anticorps (AA 281-330) (ABIN1533562)
Antigène
Voir toutes MAP3K6 AnticorpsReactivité
Hôte
Clonalité
Conjugué
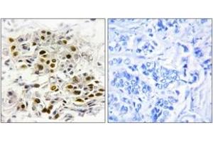
Application
-
-
Épitope
- AA 281-330
-
Specificité
-
MAP3K6 Antibody detects endogenous levels of total MAP3K6 protein.
-
Purification
- The antibody was purified from rabbit antiserum by affinity-chromatography using immunogen.
-
Pureté
- > 95 %
-
Immunogène
- The antiserum was produced against synthesized peptide derived from human MAP3K6.
-
Isotype
- IgG
-
-
-
-
Indications d'application
- IHC: 1:50~1:100 ELISA: 1:1000
-
Commentaires
-
Unigene-Number: Hs.194694 (NCBI Gene Symbol: MAP3K6)
-
Restrictions
- For Research Use only
-
-
-
Format
- Liquid
-
Concentration
- 1 mg/mL
-
Buffer
- phosphate buffered saline (without Mg2+ and Ca2+), pH 7.4, 150 mM NaCl, 0.02 % sodium azide and 50 % glycerol.
-
Agent conservateur
- Sodium azide
-
Précaution d'utilisation
- This product contains sodium azide: a POISONOUS AND HAZARDOUS SUBSTANCE which should be handled by trained staff only.
-
Stock
- -20 °C
-
Stockage commentaire
- Stable at -20°C for at least 1 year.
-
Date de péremption
- 12 months
-
-
- MAP3K6 (Mitogen-Activated Protein Kinase Kinase Kinase 6 (MAP3K6))
-
Autre désignation
- MAP3K6
-
Sujet
-
Synonyms: M3K6, MAPKKK6, Mitogen-activated protein kinase kinase kinase 6, kinase MAP3K6,
NCBI Gene Symbol: MAP3K6
-
Poids moléculaire
- 142 kDa
-
ID gène
- 9064
-
OMIM
- 604468
-
UniProt
- O95382
Antigène
-