Tel:
+49 (0)241 95 163 153
Fax:
+49 (0)241 95 163 155
E-Mail:
orders@anticorps-enligne.fr

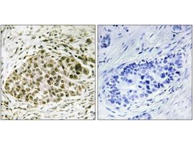
LYL1 anticorps (AA 151-200)

L’anticorps anti-LYL1 Polyclonal Lapin est utilisé pour la détection de LYL1 dans des échantillons de Humain, Souris et Rat. Il a été validé pour ELISA et IHC.
N° du produit ABIN1533613
402,00 €
Plus frais de livraison 40,00 € et TVA
Destination: France
Envoi sous 6 à 9 jours ouvrables

Aperçu rapide pour LYL1 anticorps (AA 151-200) (ABIN1533613)

Antigène

Voir toutes LYL1 Anticorps
LYL1

Reactivité

  • 35
  • 13
  • 5
  • 3
  • 1
  • 1
  • 1
Humain, Souris, Rat

Hôte

  • 34
  • 2
  • 1
Lapin

Clonalité

  • 36
  • 1
Polyclonal

Conjugué

  • 15
  • 2
  • 1
  • 1
  • 1
  • 1
  • 1
  • 1
  • 1
  • 1
  • 1
  • 1
  • 1
  • 1
  • 1
  • 1
  • 1
  • 1
  • 1
  • 1
  • 1
  • 1
Cet anticorp LYL1 est non-conjugé

Application

  • 27
  • 14
  • 13
  • 13
  • 5
  • 5
  • 3
  • 2
  • 1
  • 1
  • 1
ELISA, Immunohistochemistry (IHC)
  • Épitope

    • 16
    • 3
    • 2
    • 1
    • 1
    • 1
    • 1
    • 1
    • 1
    • 1
    AA 151-200

    Specificité

    Lyl-1 Antibody detects endogenous levels of total Lyl-1 protein.

    Purification

    The antibody was purified from rabbit antiserum by affinity-chromatography using immunogen.

    Pureté

    > 95 %

    Immunogène

    The antiserum was produced against synthesized peptide derived from human Lyl-1.

    Isotype

    IgG
  • Indications d'application

    IHC: 1:50~1:100 ELISA: 1:5000

    Commentaires

    Unigene-Number: Hs.46446 (NCBI Gene Symbol: LYL1)

    Restrictions

    For Research Use only
  • Format

    Liquid

    Concentration

    1 mg/mL

    Buffer

    phosphate buffered saline (without Mg2+ and Ca2+), pH 7.4, 150 mM NaCl, 0.02 % sodium azide and 50 % glycerol.

    Agent conservateur

    Sodium azide

    Précaution d'utilisation

    This product contains sodium azide: a POISONOUS AND HAZARDOUS SUBSTANCE which should be handled by trained staff only.

    Stock

    -20 °C

    Stockage commentaire

    Stable at -20°C for at least 1 year.

    Date de péremption

    12 months
  • Antigène

    LYL1

    Autre désignation

    Lyl-1

    Sujet

    Synonyms: 86 kDa subunit of Ku antigen, ATP-dependent DNA helicase II, 80 kDa subunit, CTC box binding factor 85 kDa subunit, CTC85, CTCBF, DNA-repair protein XRCC5, G22P2, KU86, Lupus Ku autoantigen protein p86, Nuclear factor IV, Thyroid- lupus autoantigen, TLAA,

    NCBI Gene Symbol: LYL1

    Poids moléculaire

    28 kDa

    ID gène

    4066

    OMIM

    151440

    UniProt

    P12980
Vous êtes ici:
Chat with us!