Tel:
+49 (0)241 95 163 153
Fax:
+49 (0)241 95 163 155
E-Mail:
orders@anticorps-enligne.fr

IRX3 anticorps (AA 271-320)

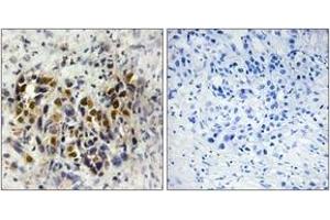
Cet anticorps anti-IRX3 Polyclonal Lapin (ABIN1533806) détecte spécifiquement IRX3 dans ELISA et IHC. L’anticorps est réactif avec des échantillons de Humain et Souris.
N° du produit ABIN1533806
402,00 €
Plus frais de livraison 40,00 € et TVA
Destination: France
Envoi sous 6 à 9 jours ouvrables

Aperçu rapide pour IRX3 anticorps (AA 271-320) (ABIN1533806)

Antigène

Voir toutes IRX3 Anticorps
IRX3 (Iroquois Homeobox 3 (IRX3))

Reactivité

  • 37
  • 29
  • 21
  • 7
  • 7
  • 3
  • 3
  • 2
  • 2
  • 2
  • 1
  • 1
  • 1
Humain, Souris

Hôte

  • 50
  • 5
Lapin

Clonalité

  • 51
  • 4
Polyclonal

Conjugué

  • 25
  • 4
  • 3
  • 3
  • 2
  • 1
  • 1
  • 1
  • 1
  • 1
  • 1
  • 1
  • 1
  • 1
  • 1
  • 1
  • 1
  • 1
  • 1
  • 1
  • 1
  • 1
  • 1
Cet anticorp IRX3 est non-conjugé

Application

  • 44
  • 20
  • 14
  • 13
  • 13
  • 6
  • 3
  • 2
ELISA, Immunohistochemistry (IHC)
  • Épitope

    • 15
    • 9
    • 9
    • 6
    • 2
    • 2
    • 2
    • 1
    • 1
    • 1
    • 1
    • 1
    AA 271-320

    Specificité

    IRX3 Antibody detects endogenous levels of total IRX3 protein.

    Purification

    The antibody was purified from rabbit antiserum by affinity-chromatography using immunogen.

    Pureté

    > 95 %

    Immunogène

    The antiserum was produced against synthesized peptide derived from human IRX3.

    Isotype

    IgG
  • Indications d'application

    IHC: 1:50~1:100 ELISA: 1:20000

    Commentaires

    Unigene-Number: Hs.499205 (NCBI Gene Symbol: IRX3)

    Restrictions

    For Research Use only
  • Format

    Liquid

    Concentration

    1 mg/mL

    Buffer

    phosphate buffered saline (without Mg2+ and Ca2+), pH 7.4, 150 mM NaCl, 0.02 % sodium azide and 50 % glycerol.

    Agent conservateur

    Sodium azide

    Précaution d'utilisation

    This product contains sodium azide: a POISONOUS AND HAZARDOUS SUBSTANCE which should be handled by trained staff only.

    Stock

    -20 °C

    Stockage commentaire

    Stable at -20°C for at least 1 year.

    Date de péremption

    12 months
  • Antigène

    IRX3 (Iroquois Homeobox 3 (IRX3))

    Autre désignation

    IRX3

    Sujet

    Synonyms: Iroquois-class homeodomain protein IRX-3, Homeodomain protein IRXB1, Iroquois homeobox protein 3 , IRX3 , IRXB1

    NCBI Gene Symbol: IRX3

    Poids moléculaire

    52 kDa

    ID gène

    79191

    OMIM

    612985

    UniProt

    P78415

    Pathways

    Tube Formation
Vous êtes ici:
Chat with us!