IARS2 anticorps (AA 71-120)
Aperçu rapide pour IARS2 anticorps (AA 71-120) (ABIN1534148)
Antigène
Reactivité
Hôte
Clonalité
Conjugué
Application
-
-
Épitope
- AA 71-120
-
Specificité
-
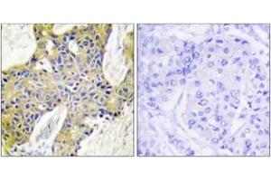
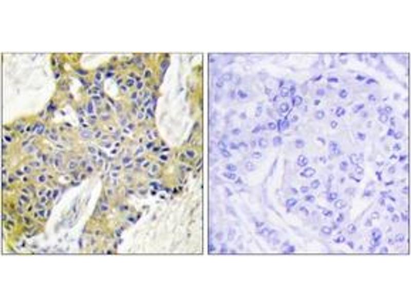
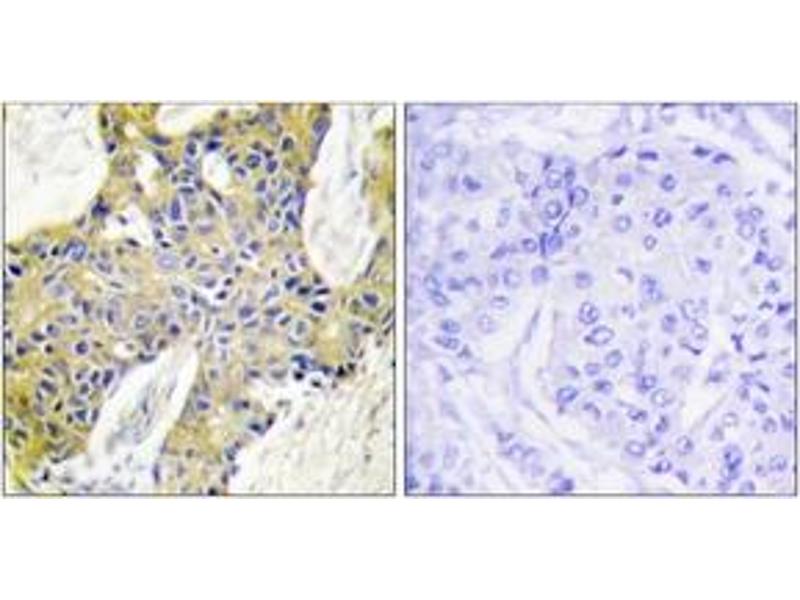
IARS2 Antibody detects endogenous levels of total IARS2 protein.
-
Purification
- The antibody was purified from rabbit antiserum by affinity-chromatography using immunogen.
-
Pureté
- > 95 %
-
Immunogène
- The antiserum was produced against synthesized peptide derived from human IARS2.
-
Isotype
- IgG
-
-
-
-
Indications d'application
- WB: 1:500~1:1000 IHC: 1:50~1:100 IF: 1:100~1:500 ELISA: 1:1000
-
Commentaires
-
Unigene-Number: Hs.262823 (NCBI Gene Symbol: IARS2)
-
Restrictions
- For Research Use only
-
-
-
Format
- Liquid
-
Concentration
- 1 mg/mL
-
Buffer
- phosphate buffered saline (without Mg2+ and Ca2+), pH 7.4, 150 mM NaCl, 0.02 % sodium azide and 50 % glycerol.
-
Agent conservateur
- Sodium azide
-
Précaution d'utilisation
- This product contains sodium azide: a POISONOUS AND HAZARDOUS SUBSTANCE which should be handled by trained staff only.
-
Stock
- -20 °C
-
Stockage commentaire
- Stable at -20°C for at least 1 year.
-
Date de péremption
- 12 months
-
-
- IARS2 (Isoleucyl-tRNA Synthetase 2, Mitochondrial (IARS2))
-
Autre désignation
- IARS2
-
Sujet
-
Synonyms: Isoleucyl-tRNA synthetase mitochondrial, Isoleucine--tRNA ligase, IleRS , IARS2
NCBI Gene Symbol: IARS2
-
Poids moléculaire
- 113 kDa
-
ID gène
- 55699
-
OMIM
- 612801
-
UniProt
- Q9NSE4
Antigène
-