RIMS4 anticorps (AA 33-82)
Aperçu rapide pour RIMS4 anticorps (AA 33-82) (ABIN1535284)
Antigène
Voir toutes RIMS4 AnticorpsReactivité
Hôte
Clonalité
Conjugué
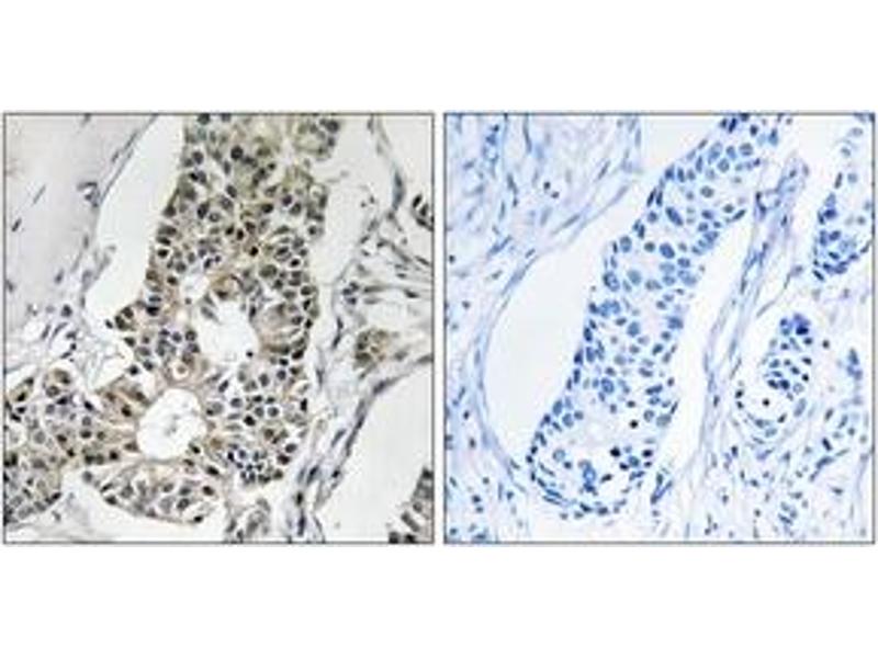
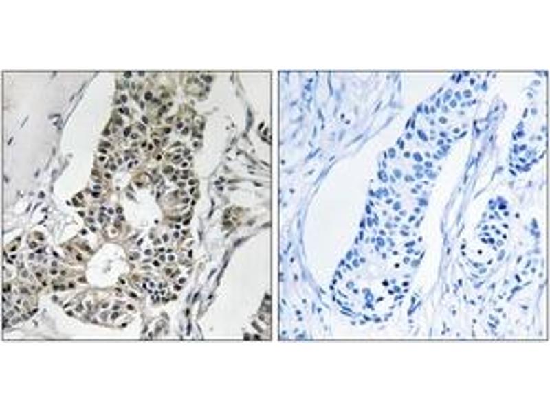
Application
-
-
Épitope
- AA 33-82
-
Specificité
-
RIMS4 Antibody detects endogenous levels of total RIMS4 protein.
-
Purification
- The antibody was purified from rabbit antiserum by affinity-chromatography using immunogen.
-
Pureté
- > 95 %
-
Immunogène
- The antiserum was produced against synthesized peptide derived from human RIMS4.
-
Isotype
- IgG
-
-
-
-
Indications d'application
- IHC: 1:50~1:100 ELISA: 1:20000
-
Commentaires
-
Unigene-Number: Hs.517065 (NCBI Gene Symbol: RIMS4)
-
Restrictions
- For Research Use only
-
-
-
Format
- Liquid
-
Concentration
- 1 mg/mL
-
Buffer
- phosphate buffered saline (without Mg2+ and Ca2+), pH 7.4, 150 mM NaCl, 0.02 % sodium azide and 50 % glycerol.
-
Agent conservateur
- Sodium azide
-
Précaution d'utilisation
- This product contains sodium azide: a POISONOUS AND HAZARDOUS SUBSTANCE which should be handled by trained staff only.
-
Stock
- -20 °C
-
Stockage commentaire
- Stable at -20°C for at least 1 year.
-
Date de péremption
- 12 months
-
-
- RIMS4 (Regulating Synaptic Membrane Exocytosis 4 (RIMS4))
-
Autre désignation
- RIMS4
-
Sujet
-
Synonyms: Rab3-interacting molecule 4, RIM 4, RIM4 gamma, C20orf190, regulating synaptic membrane exocytosis 4, RIM4, RIM4gamma
NCBI Gene Symbol: RIMS4
-
Poids moléculaire
- 29 kDa
-
ID gène
- 140730
-
OMIM
- 611601
-
UniProt
- Q9H426
-
Pathways
- Synaptic Vesicle Exocytosis
Antigène
-