Tel:
+49 (0)241 95 163 153
Fax:
+49 (0)241 95 163 155
E-Mail:
orders@anticorps-enligne.fr

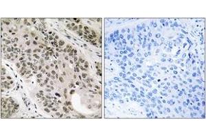
TNNI3K anticorps (AA 301-350)

Cet anticorps Lapin Polyclonal détecte spécifiquement TNNI3K dans IHC et ELISA. Il présente une réactivité avec des échantillons de Humain, Souris et Rat.
N° du produit ABIN1535346
402,00 €
Plus frais de livraison 40,00 € et TVA
Destination: France
Envoi sous 6 à 9 jours ouvrables

Aperçu rapide pour TNNI3K anticorps (AA 301-350) (ABIN1535346)

Antigène

Voir toutes TNNI3K Anticorps
TNNI3K (TNNI3 Interacting Kinase (TNNI3K))

Reactivité

  • 41
  • 32
  • 31
  • 6
  • 5
  • 4
  • 3
  • 2
  • 2
  • 2
  • 1
Humain, Souris, Rat

Hôte

  • 41
Lapin

Clonalité

  • 41
Polyclonal

Conjugué

  • 21
  • 1
  • 1
  • 1
  • 1
  • 1
  • 1
  • 1
  • 1
  • 1
  • 1
  • 1
  • 1
  • 1
  • 1
  • 1
  • 1
  • 1
  • 1
  • 1
  • 1
Cet anticorp TNNI3K est non-conjugé

Application

  • 33
  • 13
  • 7
  • 6
  • 4
  • 3
  • 2
  • 1
  • 1
Immunohistochemistry (IHC), ELISA
  • Épitope

    • 3
    • 3
    • 2
    • 2
    • 2
    • 1
    • 1
    • 1
    • 1
    • 1
    • 1
    • 1
    • 1
    AA 301-350

    Specificité

    TNNI3K Antibody detects endogenous levels of total TNNI3K protein.

    Purification

    The antibody was purified from rabbit antiserum by affinity-chromatography using immunogen.

    Pureté

    > 95 %

    Immunogène

    The antiserum was produced against synthesized peptide derived from human TNNI3K.

    Isotype

    IgG
  • Indications d'application

    IHC: 1:50~1:100 ELISA: 1:10000

    Commentaires

    Unigene-Number: Hs.480085 (NCBI Gene Symbol: TNNI3K)

    Restrictions

    For Research Use only
  • Format

    Liquid

    Concentration

    1 mg/mL

    Buffer

    phosphate buffered saline (without Mg2+ and Ca2+), pH 7.4, 150 mM NaCl, 0.02 % sodium azide and 50 % glycerol.

    Agent conservateur

    Sodium azide

    Précaution d'utilisation

    This product contains sodium azide: a POISONOUS AND HAZARDOUS SUBSTANCE which should be handled by trained staff only.

    Stock

    -20 °C

    Stockage commentaire

    Stable at -20°C for at least 1 year.

    Date de péremption

    12 months
  • Antigène

    TNNI3K (TNNI3 Interacting Kinase (TNNI3K))

    Autre désignation

    TNNI3K

    Sujet

    Synonyms: Serine/threonine-protein kinase TNNI3K TNNI3-interacting kinase, Cardiac ankyrin repeat kinase TNNI3K

    NCBI Gene Symbol: TNNI3K

    Poids moléculaire

    104 kDa

    ID gène

    51086

    UniProt

    Q59H18
Vous êtes ici:
Chat with us!