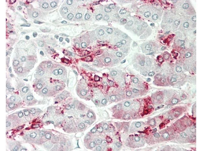
Western Blotting (WB), Immunohistochemistry (Paraffin-embedded Sections) (IHC (p))
Clone
RB38256
Épitope
AA 296-322
Homologie
Pr
Purification
This antibody is purified through a protein A column, followed by peptide affinity purification.
Immunogène
This GALNT9 antibody is generated from rabbits immunized with a KLH conjugated synthetic peptide between 296-322 amino acids from the Central region of human GALNT9.
This gene encodes a member of the UDP-N-acetyl-alpha-D-galactosamine:polypeptide N-acetylgalactosaminyltransferase (GalNAc-T) family of enzymes. GalNAc-Ts initiate mucin-type O-linked glycosylation in the Golgi apparatus by catalyzing the transfer of GalNAc to serine and threonine residues on target proteins. They are characterized by an N-terminal transmembrane domain, a stem region, a lumenal catalytic domain containing a GT1 motif and Gal/GalNAc transferase motif, and a C-terminal ricin/lectin-like domain. GalNAc-Ts have different, but overlapping, substrate specificities and patterns of expression. This gene is expressed specifically in the brain, with highest expression in the cerebellum. Multiple transcript variants encoding different isoforms have been found for this gene.