Tel:
+49 (0)241 95 163 153
Fax:
+49 (0)241 95 163 155
E-Mail:
orders@anticorps-enligne.fr

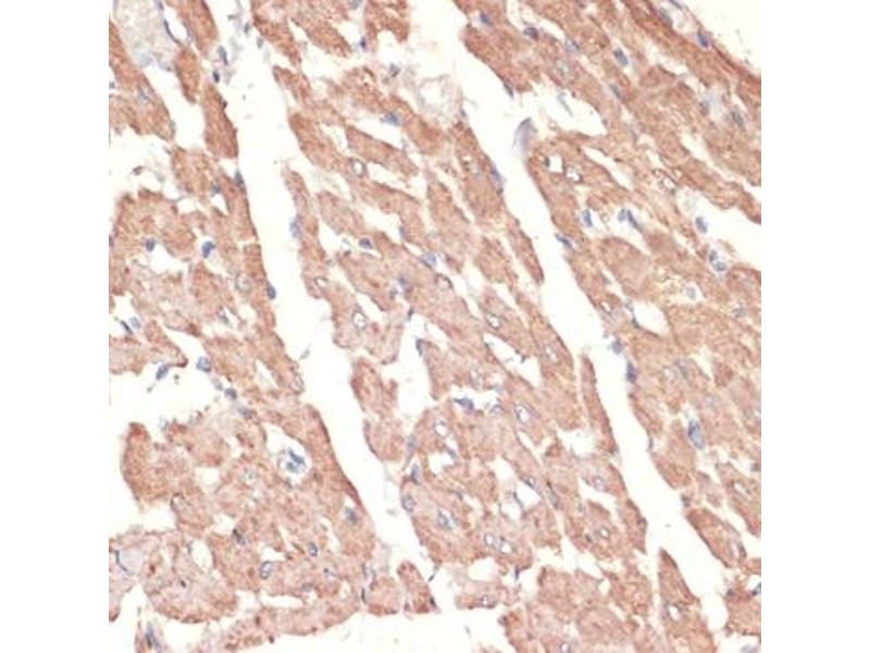
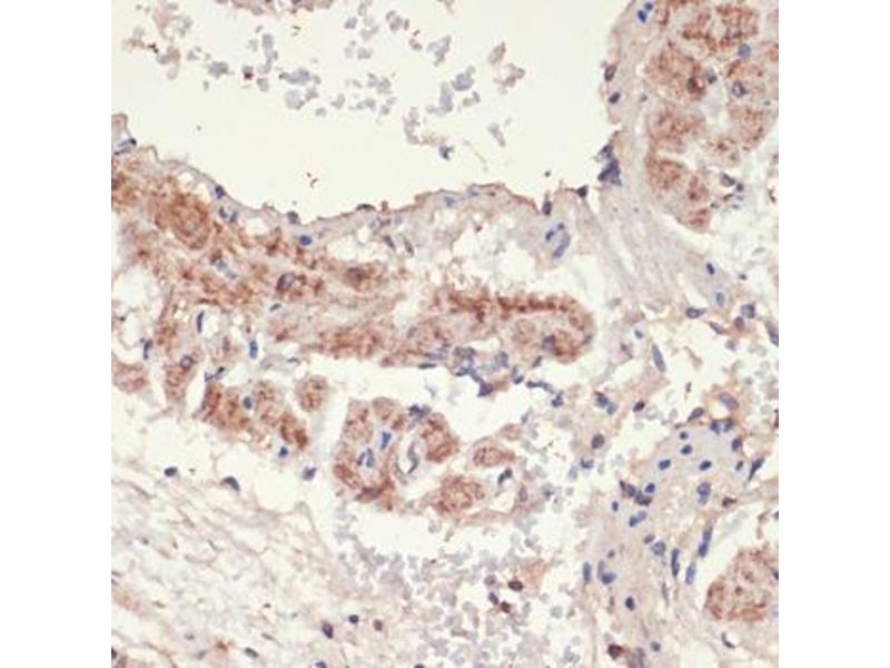
alpha 1 Adrenergic Receptor anticorps (AA 346-475)

Cet anticorps Lapin Polyclonal détecte spécifiquement alpha 1 Adrenergic Receptor dans WB, IF et IHC. Il présente une réactivité avec des échantillons de Humain.
N° du produit ABIN1678588
320,00 €
Plus frais de livraison 40,00 € et TVA
Destination: France
Envoi sous 8 à 10 jours ouvrables

Aperçu rapide pour alpha 1 Adrenergic Receptor anticorps (AA 346-475) (ABIN1678588)

Antigène

Voir toutes alpha 1 Adrenergic Receptor (ADRA1A) Anticorps
alpha 1 Adrenergic Receptor (ADRA1A) (Adrenoceptor alpha 1A (ADRA1A))

Reactivité

  • 66
  • 43
  • 43
  • 4
  • 4
  • 3
  • 3
  • 3
  • 3
  • 2
  • 2
  • 1
  • 1
Humain

Hôte

  • 60
  • 3
  • 2
  • 1
Lapin

Clonalité

  • 51
  • 15
Polyclonal

Conjugué

  • 34
  • 3
  • 3
  • 3
  • 2
  • 2
  • 2
  • 2
  • 2
  • 2
  • 1
  • 1
  • 1
  • 1
  • 1
  • 1
  • 1
  • 1
  • 1
  • 1
  • 1
Cet anticorp alpha 1 Adrenergic Receptor est non-conjugé

Application

  • 51
  • 24
  • 21
  • 18
  • 14
  • 13
  • 12
  • 11
  • 6
  • 3
  • 3
  • 2
  • 2
  • 1
Western Blotting (WB), Immunofluorescence (IF), Immunohistochemistry (IHC)
  • Épitope

    • 12
    • 5
    • 4
    • 2
    • 2
    • 2
    • 2
    • 2
    • 2
    • 1
    • 1
    • 1
    • 1
    • 1
    • 1
    • 1
    • 1
    • 1
    • 1
    • 1
    • 1
    • 1
    • 1
    AA 346-475

    Séquence

    LCRKQSSKHA LGYTLHPPSQ AVEGQHKDMV RIPVGSRETF YRISKTDGVC EWKFFSSMPR GSARITVSKD QSSCTTARTK SRSVTRLECS GMILAHCNLR LPGSRDSPAS ASQAAGTTGM CHQADATRPS

     Réactivité croisée

    Humain, Souris, Rat

    Attributs du produit

    Polyclonal Antibodies

    Purification

    Affinity purification

    Immunogène

    Recombinant fusion protein containing a sequence corresponding to amino acids 346-475 of human ADRA1A (NP_150646.3).

    Isotype

    IgG
  • Indications d'application

    WB,1:500 - 1:2000,IHC,1:50 - 1:100,IF,1:50 - 1:200

    Restrictions

    For Research Use only
  • Buffer

    PBS with 0.02 % sodium azide,50 % glycerol, pH 7.3.

    Agent conservateur

    Sodium azide

    Précaution d'utilisation

    This product contains Sodium azide: a POISONOUS AND HAZARDOUS SUBSTANCE which should be handled by trained staff only.

    Stock

    -20 °C

    Stockage commentaire

    Store at -20°C. Avoid freeze / thaw cycles.
  • Antigène

    alpha 1 Adrenergic Receptor (ADRA1A) (Adrenoceptor alpha 1A (ADRA1A))

    Autre désignation

    ADRA1A

    Sujet

    Alpha-1-adrenergic receptors (alpha-1-ARs) are members of the G protein-coupled receptor superfamily. They activate mitogenic responses and regulate growth and proliferation of many cells. There are 3 alpha-1-AR subtypes: alpha-1A, -1B and -1D, all of which signal through the Gq/11 family of G-proteins and different subtypes show different patterns of activation. This gene encodes alpha-1A-adrenergic receptor. Alternative splicing of this gene generates four transcript variants, which encode four different isoforms with distinct C-termini but having similar ligand binding properties.,ADRA1A,ADRA1C,ADRA1L1,ALPHA1AAR,Signal Transduction,G protein signaling,G-Protein-Coupled Receptors(GPCR),Cell Biology & Developmental Biology,Apoptosis,Endocrine & Metabolism,AMPK Signaling Pathway,Neuroscience,ADRA1A

    Poids moléculaire

    32-52 kDa

    ID gène

    148

    UniProt

    P35348

    Pathways

    AMPK Signaling
Vous êtes ici:
Chat with us!