Tel:
+49 (0)241 95 163 153
Fax:
+49 (0)241 95 163 155
E-Mail:
orders@anticorps-enligne.fr

CRCP anticorps (AA 1-115)

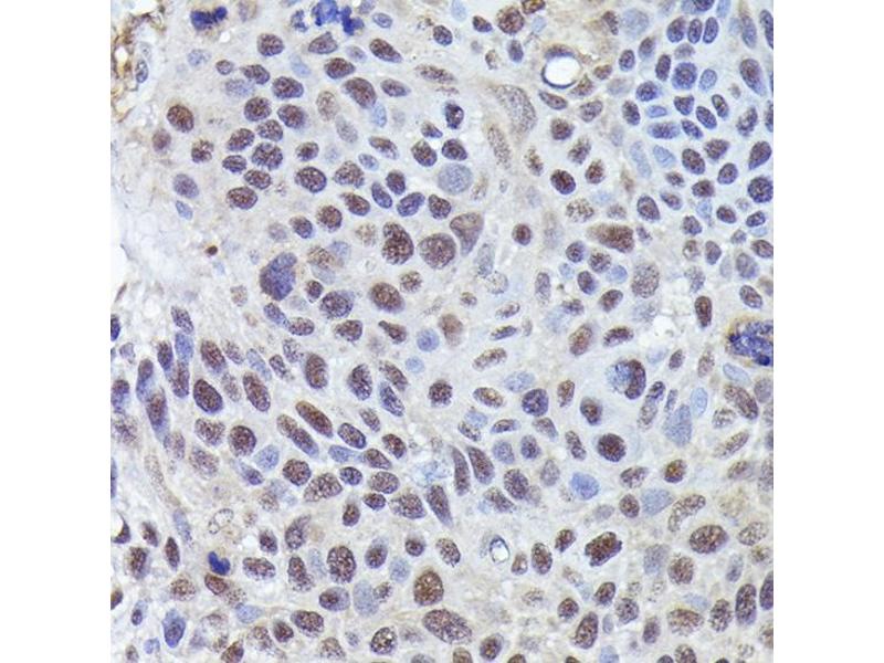
L’anticorps anti-CRCP Polyclonal Lapin est utilisé pour la détection de CRCP dans des échantillons de Humain. Il a été validé pour WB et IHC.
N° du produit ABIN1679351
320,00 €
Plus frais de livraison 40,00 € et TVA
Destination: France
Envoi sous 8 à 10 jours ouvrables

Aperçu rapide pour CRCP anticorps (AA 1-115) (ABIN1679351)

Antigène

Voir toutes CRCP Anticorps
CRCP (CGRP Receptor Component (CRCP))

Reactivité

  • 27
  • 14
  • 13
Humain

Hôte

  • 26
  • 1
Lapin

Clonalité

  • 14
  • 13
Polyclonal

Conjugué

  • 14
  • 2
  • 2
  • 1
  • 1
  • 1
  • 1
  • 1
  • 1
  • 1
  • 1
  • 1
Cet anticorp CRCP est non-conjugé

Application

  • 20
  • 15
  • 13
  • 12
  • 11
  • 10
  • 2
  • 1
  • 1
Western Blotting (WB), Immunohistochemistry (IHC)
  • Épitope

    • 5
    • 1
    • 1
    • 1
    AA 1-115

    Séquence

    MEVKDANSAL LSNYETLKYI SKTPCRHQSP EIVREFLTAL KSHKLTKAEK LQLLNHRPVT AVEIQLMVEE SEERLTEEQI EALLHTVTSI LPAEPEAEQK KNTNSNVAMD EEDPA

     Réactivité croisée

    Humain, Souris, Rat

    Attributs du produit

    Polyclonal Antibodies

    Purification

    Affinity purification

    Immunogène

    Recombinant fusion protein containing a sequence corresponding to amino acids 1-115 of human CRCP (NP_001035737.1).

    Isotype

    IgG
  • Indications d'application

    WB,1:500 - 1:2000,IHC,1:50 - 1:200

    Restrictions

    For Research Use only
  • Buffer

    PBS with 0.02 % sodium azide,50 % glycerol, pH 7.3.

    Agent conservateur

    Sodium azide

    Précaution d'utilisation

    This product contains Sodium azide: a POISONOUS AND HAZARDOUS SUBSTANCE which should be handled by trained staff only.

    Stock

    -20 °C

    Stockage commentaire

    Store at -20°C. Avoid freeze / thaw cycles.
  • Antigène

    CRCP (CGRP Receptor Component (CRCP))

    Autre désignation

    CRCP

    Sujet

    This gene encodes a membrane protein that functions as part of a receptor complex for a small neuropeptide that increases intracellular cAMP levels. Alternate transcriptional splice variants, encoding different isoforms, have been characterized.,CRCP,CGRP-RCP,CGRPRCP,RCP,RCP9,Signal Transduction,G protein signaling,G-Protein-Coupled Receptors(GPCR),Neuroscience,CRCP

    Poids moléculaire

    8 kDa/13 kDa/15 kDa/16 kDa

    ID gène

    27297

    UniProt

    O75575
Vous êtes ici:
Chat with us!