Tel:
+49 (0)241 95 163 153
Fax:
+49 (0)241 95 163 155
E-Mail:
orders@anticorps-enligne.fr

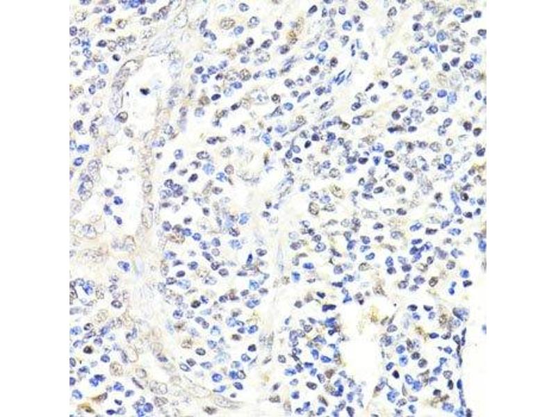
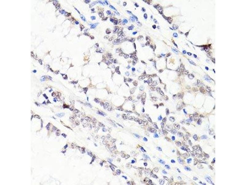
FKBP5 anticorps (AA 308-457)

L’anticorps anti-FKBP5 Polyclonal Lapin est utilisé pour la détection de FKBP5 dans des échantillons de Humain. Il a été validé pour WB.
N° du produit ABIN1679852
320,00 €
Plus frais de livraison 40,00 € et TVA
Destination: France
Envoi sous 8 à 10 jours ouvrables

Aperçu rapide pour FKBP5 anticorps (AA 308-457) (ABIN1679852)

Antigène

Voir toutes FKBP5 Anticorps
FKBP5 (FK506 Binding Protein 5 (FKBP5))

Reactivité

  • 84
  • 45
  • 32
  • 6
  • 6
  • 5
  • 5
  • 4
  • 4
  • 2
  • 2
  • 1
  • 1
  • 1
Humain

Hôte

  • 74
  • 17
  • 1
Lapin

Clonalité

  • 56
  • 36
Polyclonal

Conjugué

  • 39
  • 10
  • 4
  • 3
  • 3
  • 3
  • 3
  • 3
  • 3
  • 2
  • 1
  • 1
  • 1
  • 1
  • 1
  • 1
  • 1
  • 1
  • 1
  • 1
  • 1
  • 1
  • 1
  • 1
  • 1
  • 1
  • 1
  • 1
  • 1
Cet anticorp FKBP5 est non-conjugé

Application

  • 59
  • 28
  • 27
  • 26
  • 17
  • 12
  • 12
  • 11
  • 8
  • 2
  • 1
  • 1
Western Blotting (WB)
  • Épitope

    • 6
    • 4
    • 3
    • 3
    • 2
    • 2
    • 2
    • 1
    • 1
    • 1
    • 1
    • 1
    • 1
    AA 308-457

    Séquence

    ESKASESFLL AAFLNLAMCY LKLREYTKAV ECCDKALGLD SANEKGLYRR GEAQLLMNEF ESAKGDFEKV LEVNPQNKAA RLQISMCQKK AKEHNERDRR IYANMFKKFA EQDAKEEANK AMGKKTSEGV TNEKGTDSQA MEEEKPEGHV

     Réactivité croisée

    Humain, Souris, Rat

    Attributs du produit

    Polyclonal Antibodies

    Purification

    Affinity purification

    Immunogène

    Recombinant fusion protein containing a sequence corresponding to amino acids 308-457 of human FKBP51/FKBP51/FKBP51/FKBP5 (NP_001139247.1).

    Isotype

    IgG
  • Indications d'application

    WB,1:200 - 1:2000

    Restrictions

    For Research Use only
  • Buffer

    PBS with 0.02 % sodium azide,50 % glycerol, pH 7.3.

    Agent conservateur

    Sodium azide

    Précaution d'utilisation

    This product contains Sodium azide: a POISONOUS AND HAZARDOUS SUBSTANCE which should be handled by trained staff only.

    Stock

    -20 °C

    Stockage commentaire

    Store at -20°C. Avoid freeze / thaw cycles.
  • Antigène

    FKBP5 (FK506 Binding Protein 5 (FKBP5))

    Autre désignation

    FKBP5

    Sujet

    The protein encoded by this gene is a member of the immunophilin protein family, which play a role in immunoregulation and basic cellular processes involving protein folding and trafficking. This encoded protein is a cis-trans prolyl isomerase that binds to the immunosuppressants FK506 and rapamycin. It is thought to mediate calcineurin inhibition. It also interacts functionally with mature hetero-oligomeric progesterone receptor complexes along with the 90 kDa heat shock protein and P23 protein. This gene has been found to have multiple polyadenylation sites. Alternative splicing results in multiple transcript variants.,FKBP5,AIG6,FKBP51,FKBP54,P54,PPIase,Ptg-10,Epigenetics & Nuclear Signaling,Signal Transduction,Immunology & Inflammation,FKBP5

    Poids moléculaire

    30 kDa/51 kDa

    ID gène

    2289

    UniProt

    Q13451
Vous êtes ici:
Chat with us!