GCLC anticorps
Aperçu rapide pour GCLC anticorps (ABIN1680604)
Antigène
Voir toutes GCLC AnticorpsReactivité
Hôte
Clonalité
Conjugué
Application
-
-
Réactivité croisée
- Humain, Rat
-
Attributs du produit
- Monoclonal Antibodies
-
Purification
- Affinity purification
-
Immunogène
- A synthesized peptide derived from human GCLC
-
Isotype
- IgG
-
-
-
-
Indications d'application
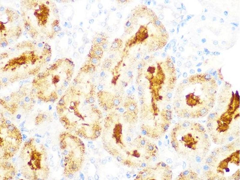
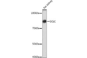
- WB,1:500 - 1:2000,IHC,1:50 - 1:200
-
Restrictions
- For Research Use only
-
-
-
Buffer
- PBS with 0.02 % sodium azide,0.05 % BSA,50 % glycerol, pH 7.3.
-
Agent conservateur
- Sodium azide
-
Précaution d'utilisation
- This product contains Sodium azide: a POISONOUS AND HAZARDOUS SUBSTANCE which should be handled by trained staff only.
-
Stock
- -20 °C
-
Stockage commentaire
- Store at -20°C. Avoid freeze / thaw cycles.
-
-
- GCLC (Glutamate-Cysteine Ligase, Catalytic Subunit (GCLC))
-
Autre désignation
- GCLC
-
Sujet
- Glutamate-cysteine ligase, also known as gamma-glutamylcysteine synthetase is the first rate-limiting enzyme of glutathione synthesis. The enzyme consists of two subunits, a heavy catalytic subunit and a light regulatory subunit. This locus encodes the catalytic subunit, while the regulatory subunit is derived from a different gene located on chromosome 1p22-p21. Mutations at this locus have been associated with hemolytic anemia due to deficiency of gamma-glutamylcysteine synthetase and susceptibility to myocardial infarction.[provided by RefSeq, Oct 2010],GCL, GCS, GLCL, GLCLC,Apoptosis,Cancer,Cell Biology & Developmental Biology,Endocrine & Metabolism,Mitochondrial metabolism,Mitochondrial metabolism_Mitochondrial markers,Signal Transduction,GCLC
-
Poids moléculaire
- 73 kDa
-
ID gène
- 2729
-
UniProt
- P48506
-
Pathways
- Cell RedoxHomeostasis
Antigène
-