PIK3R3 anticorps
Aperçu rapide pour PIK3R3 anticorps (ABIN1680999)
Antigène
Voir toutes PIK3R3 AnticorpsReactivité
Hôte
Clonalité
Conjugué
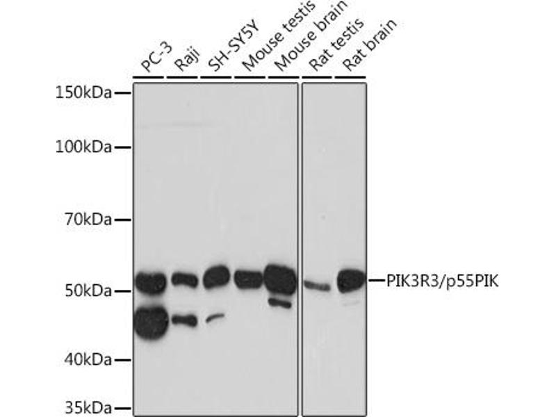
Application
-
-
Réactivité croisée
- Humain, Souris, Rat
-
Attributs du produit
- Monoclonal Antibodies
-
Purification
- Affinity purification
-
Immunogène
- A synthesized peptide derived from human PIK3R3/p55PIK
-
Isotype
- IgG
-
-
-
-
Indications d'application
- WB,1:500 - 1:2000
-
Restrictions
- For Research Use only
-
-
-
Buffer
- PBS with 0.02 % sodium azide,0.05 % BSA,50 % glycerol, pH 7.3.
-
Agent conservateur
- Sodium azide
-
Précaution d'utilisation
- This product contains Sodium azide: a POISONOUS AND HAZARDOUS SUBSTANCE which should be handled by trained staff only.
-
Stock
- -20 °C
-
Stockage commentaire
- Store at -20°C. Avoid freeze / thaw cycles.
-
-
- PIK3R3 (Phosphatidylinositol 3-kinase regulatory subunit gamma (PIK3R3))
-
Autre désignation
- PIK3R3
-
Sujet
- Phosphatidylinositol 3-kinase (PI3K) phosphorylates phosphatidylinositol and similar compounds, which then serve as second messengers in growth signaling pathways. PI3K is composed of a catalytic and a regulatory subunit. The protein encoded by this gene represents a regulatory subunit of PI3K. The encoded protein contains two SH2 domains through which it binds activated protein tyrosine kinases to regulate their activity. [provided by RefSeq, Jun 2016],p55, p55-GAMMA, p55PIK,AMPK Signaling Pathway,Angiogenesis,Apoptosis,Apoptosis_Inhibition of Apoptosis,Apoptosis_Mitochondrial Control of Apoptosis,Cardiovascular,Cell Adhesion,Cell Biology & Developmental Biology,Cytoskeleton,Cytoskeleton_Actins,Cytoskeleton_Microtubules,Endocrine & Metabolism,Epigenetics & Nuclear Signaling,ErbB-HER Signaling Pathway,ESC Pluripotency and Differentiation,G protein signaling,IL-6 Receptor Signaling Pathway,Immunology & Inflammation,Kinase,Lipid Metabolism,MAPK-Erk Signaling Pathway,MAPK-JNK Signaling Pathway,mTOR Signaling Pathway,NF-kB Signaling Pathway,PI3K-Akt Signaling Pathway,Protein Kinase C Signaling Pathway Pathway,Signal Transduction,T Cell Receptor Signaling Pathway,TGF-b-Smad Signaling Pathway,Translation Control,Translational Control_Regulation of eIF4 and p70 S6 Kinase,Warburg Effect,PIK3R3
-
Poids moléculaire
- 54 kDa
-
ID gène
- 8503
-
UniProt
- Q92569
Antigène
-