Adenosine A2b Receptor anticorps (AA 251-300)
Aperçu rapide pour Adenosine A2b Receptor anticorps (AA 251-300) (ABIN1713360)
Antigène
Voir toutes Adenosine A2b Receptor (ADORA2B) AnticorpsReactivité
Hôte
Clonalité
Conjugué
Application
-
-
Épitope
- AA 251-300
-
Réactivité croisée
- Humain, Souris, Rat
-
Purification
- Purified by Protein A.
-
Immunogène
- KLH conjugated synthetic peptide derived from human ADORA2B
-
Isotype
- IgG
-
-
-
-
Indications d'application
-
WB 1:300-5000
FCM 1:20-100
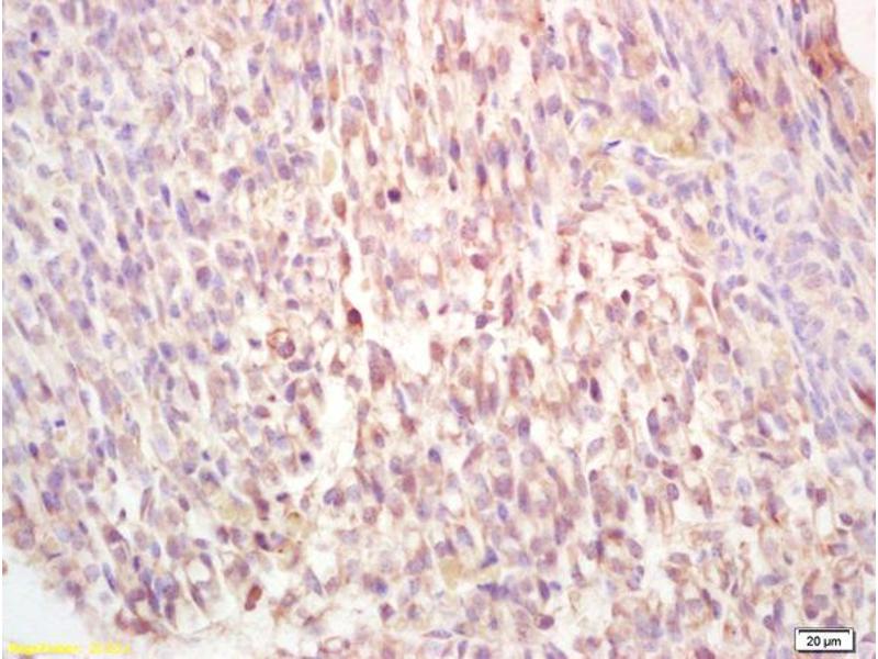
IHC-P 1:200-400
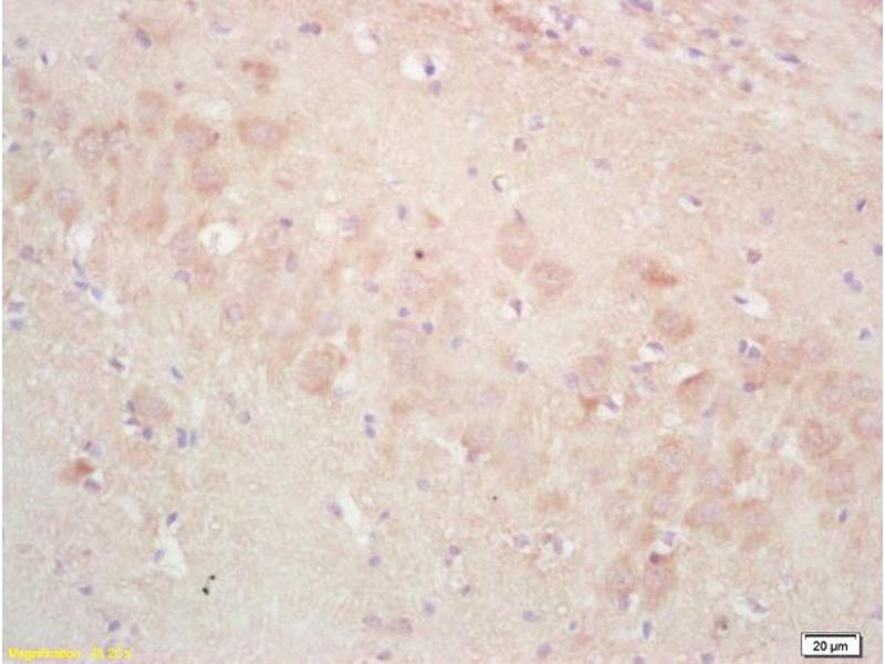
IHC-F 1:100-500 -
Restrictions
- For Research Use only
-
-
-
Format
- Liquid
-
Concentration
- 1 μg/μL
-
Buffer
- 0.01M TBS( pH 7.4) with 1 % BSA, 0.02 % Proclin300 and 50 % Glycerol.
-
Agent conservateur
- ProClin
-
Précaution d'utilisation
- This product contains ProClin: a POISONOUS AND HAZARDOUS SUBSTANCE, which should be handled by trained staff only.
-
Stock
- 4 °C,-20 °C
-
Stockage commentaire
- Shipped at 4°C. Store at -20°C for one year. Avoid repeated freeze/thaw cycles.
-
Date de péremption
- 12 months
-
-
- Adenosine A2b Receptor (ADORA2B)
-
Autre désignation
- ADORA2B
-
Sujet
-
Synonyms: ADORA2, Adenosine receptor A2b, ADORA2B
Background: Receptor for adenosine. The activity of this receptor is mediated by G proteins which activate adenylyl cyclase.
-
ID gène
- 136
-
UniProt
- P29275
-
Pathways
- cAMP Metabolic Process, Regulation of Leukocyte Mediated Immunity, Positive Regulation of Immune Effector Process
Antigène
-