Tel:
+49 (0)241 95 163 153
Fax:
+49 (0)241 95 163 155
E-Mail:
orders@anticorps-enligne.fr

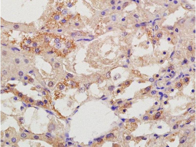
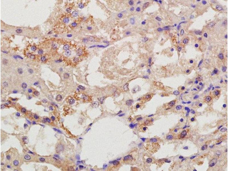
DIAPH2 anticorps (AA 901-1101)

Cet anticorps Lapin Polyclonal détecte spécifiquement DIAPH2 dans WB, ELISA, IF (cc), IF (p), IHC (p), IHC (fro) et ICC. Il présente une réactivité avec des échantillons de Rat.
N° du produit ABIN1713640
357,70 €
Plus frais de livraison 40,00 € et TVA
100 μL
Destination: France
Envoi sous 8 à 12 jours ouvrables

Aperçu rapide pour DIAPH2 anticorps (AA 901-1101) (ABIN1713640)

Antigène

Voir toutes DIAPH2 Anticorps
DIAPH2 (Diaphanous Homolog 2 (DIAPH2))

Reactivité

  • 25
  • 18
  • 6
  • 3
  • 2
  • 2
  • 1
  • 1
  • 1
  • 1
  • 1
  • 1
Rat

Hôte

  • 36
  • 3
Lapin

Clonalité

  • 36
  • 3
Polyclonal

Conjugué

  • 20
  • 2
  • 2
  • 2
  • 1
  • 1
  • 1
  • 1
  • 1
  • 1
  • 1
  • 1
  • 1
  • 1
  • 1
  • 1
  • 1
Cet anticorp DIAPH2 est non-conjugé

Application

  • 38
  • 14
  • 12
  • 12
  • 10
  • 9
  • 5
  • 2
  • 2
  • 1
Western Blotting (WB), ELISA, Immunofluorescence (Cultured Cells) (IF (cc)), Immunofluorescence (Paraffin-embedded Sections) (IF (p)), Immunohistochemistry (Paraffin-embedded Sections) (IHC (p)), Immunohistochemistry (Frozen Sections) (IHC (fro)), Immunocytochemistry (ICC)
  • Épitope

    • 14
    • 7
    • 3
    • 2
    • 2
    • 2
    • 2
    • 1
    • 1
    • 1
    • 1
    • 1
    • 1
    • 1
    AA 901-1101

     Réactivité croisée

    Rat

    Homologie

    Human,Dog,Horse,Rabbit

    Purification

    Purified by Protein A.

    Immunogène

    KLH conjugated synthetic peptide derived from human DIAPH2/Dia2

    Isotype

    IgG
  • Indications d'application

    WB 1:300-5000
    ELISA 1:500-1000
    IHC-P 1:200-400
    IHC-F 1:100-500
    IF(IHC-P) 1:50-200
    IF(IHC-F) 1:50-200
    IF(ICC) 1:50-200
    ICC 1:100-500

    Restrictions

    For Research Use only
  • Format

    Liquid

    Concentration

    1 μg/μL

    Buffer

    0.01M TBS( pH 7.4) with 1 % BSA, 0.02 % Proclin300 and 50 % Glycerol.

    Agent conservateur

    ProClin

    Précaution d'utilisation

    This product contains ProClin: a POISONOUS AND HAZARDOUS SUBSTANCE, which should be handled by trained staff only.

    Stock

    4 °C,-20 °C

    Stockage commentaire

    Shipped at 4°C. Store at -20°C for one year. Avoid repeated freeze/thaw cycles.

    Date de péremption

    12 months
  • Antigène

    DIAPH2 (Diaphanous Homolog 2 (DIAPH2))

    Autre désignation

    DIAPH2/Dia2

    Sujet

    Synonyms: DIA, POF, DIA2, DRF2, POF2, Protein diaphanous homolog 2, Diaphanous-related formin-2, DIAPH2

    Background: Could be involved in oogenesis. Involved in the regulation of endosome dynamics. Implicated in a novel signal transduction pathway, in which isoform 3 and CSK are sequentially activated by RHOD to regulate the motility of early endosomes through interactions with the actin cytoskeleton.

    ID gène

    1730

    UniProt

    O60879
Vous êtes ici:
Chat with us!