Tel:
+49 (0)241 95 163 153
Fax:
+49 (0)241 95 163 155
E-Mail:
orders@anticorps-enligne.fr

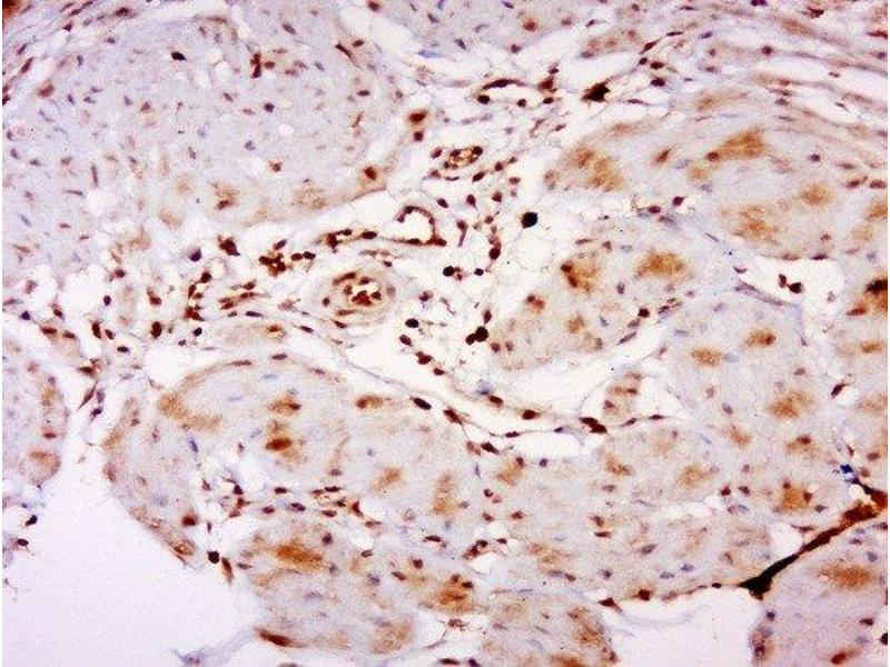
TFCP2L1 anticorps (AA 181-280)

Cet anticorps anti-TFCP2L1 Polyclonal Lapin (ABIN1713753) détecte spécifiquement TFCP2L1 dans WB, ELISA, IF (cc), IF (p), IHC (p), IHC (fro) et ICC. L’anticorps est réactif avec des échantillons de Humain et Souris.
N° du produit ABIN1713753
357,70 €
Plus frais de livraison 40,00 € et TVA
100 μL
Destination: France
Envoi sous 8 à 12 jours ouvrables

Aperçu rapide pour TFCP2L1 anticorps (AA 181-280) (ABIN1713753)

Antigène

Voir toutes TFCP2L1 Anticorps
TFCP2L1 (Transcription Factor CP2-Like 1 (TFCP2L1))

Reactivité

  • 53
  • 28
  • 6
  • 5
  • 4
  • 4
  • 3
  • 3
  • 2
  • 2
  • 1
  • 1
  • 1
  • 1
  • 1
  • 1
  • 1
Humain, Souris

Hôte

  • 51
  • 2
  • 1
Lapin

Clonalité

  • 54
Polyclonal

Conjugué

  • 24
  • 4
  • 4
  • 4
  • 4
  • 3
  • 1
  • 1
  • 1
  • 1
  • 1
  • 1
  • 1
  • 1
  • 1
  • 1
  • 1
Cet anticorp TFCP2L1 est non-conjugé

Application

  • 54
  • 28
  • 12
  • 12
  • 11
  • 9
  • 7
  • 2
  • 2
  • 1
Western Blotting (WB), ELISA, Immunofluorescence (Cultured Cells) (IF (cc)), Immunofluorescence (Paraffin-embedded Sections) (IF (p)), Immunohistochemistry (Paraffin-embedded Sections) (IHC (p)), Immunohistochemistry (Frozen Sections) (IHC (fro)), Immunocytochemistry (ICC)
  • Épitope

    • 14
    • 8
    • 8
    • 7
    • 5
    • 3
    • 2
    • 2
    • 2
    • 2
    • 1
    • 1
    • 1
    • 1
    • 1
    • 1
    AA 181-280

     Réactivité croisée

    Humain, Souris

    Homologie

    Rat,Dog,Cow,Horse,Chicken

    Purification

    Purified by Protein A.

    Immunogène

    KLH conjugated synthetic peptide derived from human CRTR1

    Isotype

    IgG
  • Indications d'application

    WB 1:300-5000
    ELISA 1:500-1000
    IHC-P 1:200-400
    IHC-F 1:100-500
    IF(IHC-P) 1:50-200
    IF(IHC-F) 1:50-200
    IF(ICC) 1:50-200
    ICC 1:100-500

    Restrictions

    For Research Use only
  • Format

    Liquid

    Concentration

    1 μg/μL

    Buffer

    0.01M TBS( pH 7.4) with 1 % BSA, 0.02 % Proclin300 and 50 % Glycerol.

    Agent conservateur

    ProClin

    Précaution d'utilisation

    This product contains ProClin: a POISONOUS AND HAZARDOUS SUBSTANCE, which should be handled by trained staff only.

    Stock

    4 °C,-20 °C

    Stockage commentaire

    Shipped at 4°C. Store at -20°C for one year. Avoid repeated freeze/thaw cycles.

    Date de péremption

    12 months
  • Antigène

    TFCP2L1 (Transcription Factor CP2-Like 1 (TFCP2L1))

    Autre désignation

    CRTR1

    Sujet

    Synonyms: CP2 related transcriptional repressor 1, CP2-related transcriptional repressor 1, CRTR 1, CRTR-1, LBP 9, LBP9, TF2L1_HUMAN, TFCP2 L1, TFCP2L1, Transcription factor CP2 like 1, Transcription factor CP2 like protein 1, Transcription factor CP2-like protein 1, Transcription factor LBP 9, Transcription factor LBP-9, Transcription factor LBP9.

    Background: The long terminal repeat binding protein-1 (LBP-1) mammalian family of transcription factors are proteins that stimulate transcription in HeLa cells from the major late promoter of simian virus 40 in vitro. The two related human LBP-1 genes are TFCP2A, which encodes the alternatively spliced transcripts LBP-1a and LBP-1b, and TFCP2C, which encodes LBP-1c and LBP-1d. LBP-9, also designated transcription factor CP2-like 1 (TFCP2L1), is a protein of 479 amino acids. LBP-9 shows 83 % sequence homology with LBP-1b and acts as a suppressor factor inhibiting the stimulation effect of LBP-1b. LBP-9 may regulate the P450scc reporter activity through the -155/-131 element.

Vous êtes ici:
Chat with us!