Tel:
+49 (0)241 95 163 153
Fax:
+49 (0)241 95 163 155
E-Mail:
orders@anticorps-enligne.fr

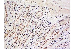
LRRC39 anticorps (AA 101-200)

Cet anticorps anti-LRRC39 Polyclonal Lapin (ABIN1713858) détecte spécifiquement LRRC39 dans ELISA, IF (cc), IF (p), IHC (fro), IHC (p) et ICC. L’anticorps est réactif avec des échantillons de Rat.
N° du produit ABIN1713858
357,70 €
Plus frais de livraison 40,00 € et TVA
100 μL
Destination: France
Envoi sous 8 à 12 jours ouvrables

Aperçu rapide pour LRRC39 anticorps (AA 101-200) (ABIN1713858)

Antigène

Voir toutes LRRC39 Anticorps
LRRC39 (Leucine Rich Repeat Containing 39 (LRRC39))

Reactivité

  • 19
  • 14
  • 1
Rat

Hôte

  • 30
  • 3
Lapin

Clonalité

  • 32
  • 1
Polyclonal

Conjugué

  • 10
  • 4
  • 3
  • 3
  • 1
  • 1
  • 1
  • 1
  • 1
  • 1
  • 1
  • 1
  • 1
  • 1
  • 1
  • 1
  • 1
Cet anticorp LRRC39 est non-conjugé

Application

  • 14
  • 13
  • 12
  • 12
  • 2
  • 2
  • 1
ELISA, Immunofluorescence (Cultured Cells) (IF (cc)), Immunofluorescence (Paraffin-embedded Sections) (IF (p)), Immunohistochemistry (Frozen Sections) (IHC (fro)), Immunohistochemistry (Paraffin-embedded Sections) (IHC (p)), Immunocytochemistry (ICC)
  • Épitope

    • 14
    • 8
    • 7
    • 3
    • 1
    • 1
    AA 101-200

     Réactivité croisée

    Rat

    Homologie

    Human,Mouse,Horse,Rabbit

    Purification

    Purified by Protein A.

    Immunogène

    KLH conjugated synthetic peptide derived from human LRRC39

    Isotype

    IgG
  • Indications d'application

    ELISA 1:500-1000
    IHC-P 1:200-400
    IHC-F 1:100-500
    IF(IHC-P) 1:50-200
    IF(IHC-F) 1:50-200
    IF(ICC) 1:50-200
    ICC 1:100-500

    Restrictions

    For Research Use only
  • Format

    Liquid

    Concentration

    1 μg/μL

    Buffer

    0.01M TBS( pH 7.4) with 1 % BSA, 0.02 % Proclin300 and 50 % Glycerol.

    Agent conservateur

    ProClin

    Précaution d'utilisation

    This product contains ProClin: a POISONOUS AND HAZARDOUS SUBSTANCE, which should be handled by trained staff only.

    Stock

    4 °C,-20 °C

    Stockage commentaire

    Shipped at 4°C. Store at -20°C for one year. Avoid repeated freeze/thaw cycles.

    Date de péremption

    12 months
  • Antigène

    LRRC39 (Leucine Rich Repeat Containing 39 (LRRC39))

    Autre désignation

    LRRC39

    Sujet

    Synonyms: Densin hlg, Leucine rich repeat containing 39, Leucine-rich repeat-containing protein 39, LRC39_HUMAN, Lrrc39.

    Background: The leucine-rich (LRR) repeat is a 20-30 amino acid motif that forms a hydrophobic / horseshoe fold, allowing it to accommodate several leucine residues within a tightly packed core. All LRR repeats contain a variable segment and a highly conserved segment, the latter of which accounts for 11 or 12 residues of the entire LRR motif. The primary function of these motifs is to provide a versatile structural framework to mediate the formation of protein-protein interactions. LRRs are present in a variety of proteins with diverse structure and function, including innate immunity and nervous system development. Several human diseases are associated with mutations in genes encoding LRR-containing proteins. The leucine-rich repeat-containing protein 39 (LRRC39) is a 335 amino acid protein that contains nine LRR repeats and exists as two alternatively spliced isoforms.

    ID gène

    127495
Vous êtes ici:
Chat with us!