SCP2D1 anticorps (AA 101-156)
Aperçu rapide pour SCP2D1 anticorps (AA 101-156) (ABIN1714688)
Antigène
Voir toutes SCP2D1 AnticorpsReactivité
Hôte
Clonalité
Conjugué
Application
-
-
Épitope
- AA 101-156
-
Réactivité croisée
- Souris
-
Homologie
- Human,Rat,Dog,Cow,Sheep,Pig,Horse,Rabbit
-
Purification
- Purified by Protein A.
-
Immunogène
- KLH conjugated synthetic peptide derived from human C20orf79
-
Isotype
- IgG
-
-
-
-
Indications d'application
-
WB 1:300-5000
ELISA 1:500-1000
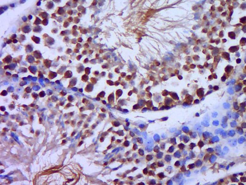
IHC-P 1:200-400
IHC-F 1:100-500
IF(IHC-P) 1:50-200
IF(IHC-F) 1:50-200
IF(ICC) 1:50-200
ICC 1:100-500 -
Restrictions
- For Research Use only
-
-
-
Format
- Liquid
-
Concentration
- 1 μg/μL
-
Buffer
- 0.01M TBS( pH 7.4) with 1 % BSA, 0.02 % Proclin300 and 50 % Glycerol.
-
Agent conservateur
- ProClin
-
Précaution d'utilisation
- This product contains ProClin: a POISONOUS AND HAZARDOUS SUBSTANCE, which should be handled by trained staff only.
-
Stock
- 4 °C,-20 °C
-
Stockage commentaire
- Shipped at 4°C. Store at -20°C for one year. Avoid repeated freeze/thaw cycles.
-
Date de péremption
- 12 months
-
-
- SCP2D1 (SCP2 Sterol-Binding Domain Containing 1 (SCP2D1))
-
Autre désignation
- C20orf79
-
Sujet
-
Synonyms: Chromosome 20 open reading frame 79, dJ1068E13.2, HSD22, Hypothetical protein LOC140856, MGC138229, OTTHUMP00000030367, Sterol carrier protein 2 like protein, Uncharacterized protein C20orf79.
Background: Representing about 2 % of human DNA, chromosome 20 consists of approximately 63 million bases and 600 genes. Chromosome 20 contains a region with numerous genes expressed in the epididymis, which are thought important for seminal production, and some viewed as potential targets for male contraception. The PRNP gene encoding the prion protein associated with spongiform encephalopathies, like Creutzfeldt-Jakob disease, is found on chromosome 20. Amyotrophic lateral sclerosis, spinal muscular atrophy, ring chromosome 20 epilepsy syndrome and Alagille syndrome are also associated with chromosome 20. The C20orf79 gene product has been provisionally designated C20orf79 pending further characterization.
-
ID gène
- 140856
Antigène
-