Tel:
+49 (0)241 95 163 153
Fax:
+49 (0)241 95 163 155
E-Mail:
orders@anticorps-enligne.fr

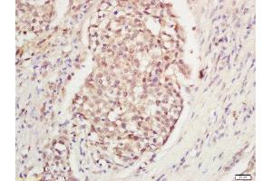
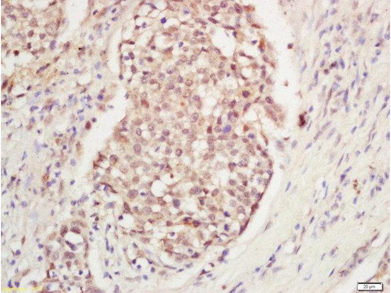
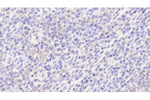
POLG anticorps (AA 1101-1239)

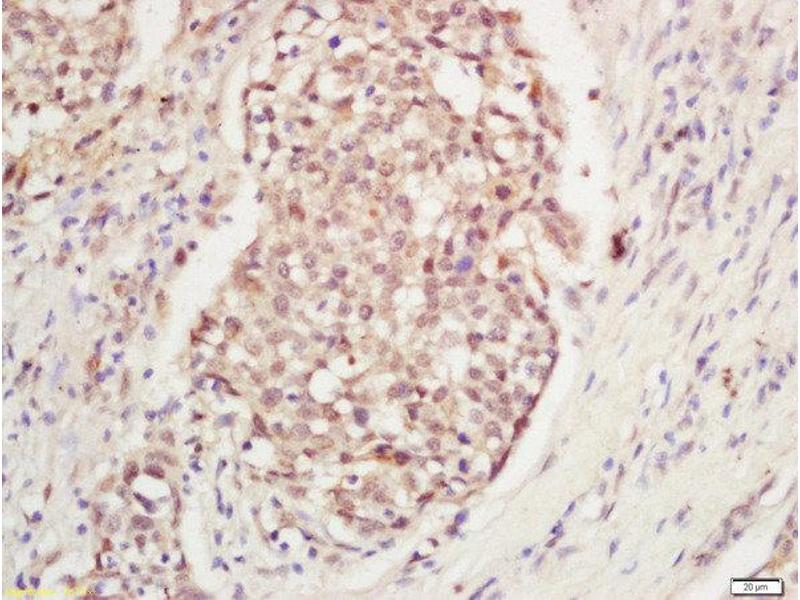
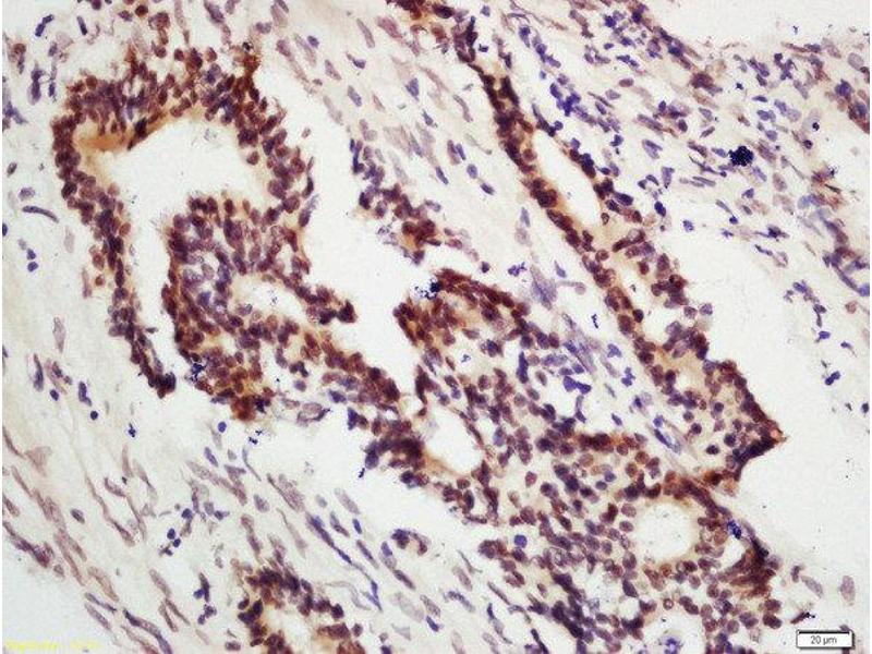
Il existe 1 publication pour ce produit. L’anticorps anti-POLG Polyclonal Lapin est utilisé pour la détection de POLG dans des échantillons de Humain, Souris et Rat. Il a été validé pour WB, ELISA, ICC, IF (cc), IF (p), IHC (p) et IHC (fro).
N° du produit ABIN1714946
357,70 €
Plus frais de livraison 40,00 € et TVA
100 μL
Destination: France
Envoi sous 8 à 12 jours ouvrables

Aperçu rapide pour POLG anticorps (AA 1101-1239) (ABIN1714946)

Antigène

Voir toutes POLG Anticorps
POLG (Polymerase (DNA Directed), gamma (POLG))

Reactivité

  • 47
  • 22
  • 19
  • 2
  • 1
  • 1
  • 1
  • 1
  • 1
  • 1
  • 1
  • 1
Humain, Souris, Rat

Hôte

  • 47
  • 2
Lapin

Clonalité

  • 43
  • 6
Polyclonal

Conjugué

  • 25
  • 3
  • 2
  • 2
  • 1
  • 1
  • 1
  • 1
  • 1
  • 1
  • 1
  • 1
  • 1
  • 1
  • 1
  • 1
  • 1
  • 1
  • 1
  • 1
  • 1
Cet anticorp POLG est non-conjugé

Application

  • 38
  • 12
  • 12
  • 10
  • 7
  • 7
  • 6
  • 5
  • 4
  • 3
  • 3
  • 2
  • 1
Western Blotting (WB), ELISA, Immunocytochemistry (ICC), Immunofluorescence (Cultured Cells) (IF (cc)), Immunofluorescence (Paraffin-embedded Sections) (IF (p)), Immunohistochemistry (Paraffin-embedded Sections) (IHC (p)), Immunohistochemistry (Frozen Sections) (IHC (fro))
  • Épitope

    • 14
    • 5
    • 5
    • 3
    • 3
    • 2
    • 2
    • 1
    • 1
    • 1
    • 1
    • 1
    • 1
    AA 1101-1239

     Réactivité croisée

    Humain, Souris, Rat

    Homologie

    Pig

    Purification

    Purified by Protein A.

    Immunogène

    KLH conjugated synthetic peptide derived from human POLG

    Isotype

    IgG
  • Indications d'application

    WB 1:300-5000
    ELISA 1:500-1000
    IHC-P 1:200-400
    IHC-F 1:100-500
    IF(IHC-P) 1:50-200
    IF(IHC-F) 1:50-200
    IF(ICC) 1:50-200
    ICC 1:100-500

    Restrictions

    For Research Use only
  • Format

    Liquid

    Concentration

    1 μg/μL

    Buffer

    0.01M TBS( pH 7.4) with 1 % BSA, 0.02 % Proclin300 and 50 % Glycerol.

    Agent conservateur

    ProClin

    Précaution d'utilisation

    This product contains ProClin: a POISONOUS AND HAZARDOUS SUBSTANCE, which should be handled by trained staff only.

    Stock

    4 °C,-20 °C

    Stockage commentaire

    Shipped at 4°C. Store at -20°C for one year. Avoid repeated freeze/thaw cycles.

    Date de péremption

    12 months
  • Chen, Zhao, Cai, Sun, Hu, Huang, Kong, Kong: "The role of sodium hydrosulfide in attenuating the aging process via PI3K/AKT and CaMKKβ/AMPK pathways." dans: Redox biology, Vol. 12, pp. 987-1003, (2017) (PubMed).

  • Antigène

    POLG (Polymerase (DNA Directed), gamma (POLG))

    Autre désignation

    DNA Polymerase gamma

    Sujet

    Synonyms: PEO, MDP1, SCAE, MIRAS, POLG1, POLGA, SANDO, MTDPS4A, MTDPS4B, DNA polymerase subunit gamma-1, Mitochondrial DNA polymerase catalytic subunit, PolG-alpha, POLG

    Background: Involved in the replication of mitochondrial DNA. Associates with mitochondrial DNA.

    ID gène

    5428

    UniProt

    P54098
Vous êtes ici:
Chat with us!