Tel:
+49 (0)241 95 163 153
Fax:
+49 (0)241 95 163 155
E-Mail:
orders@anticorps-enligne.fr

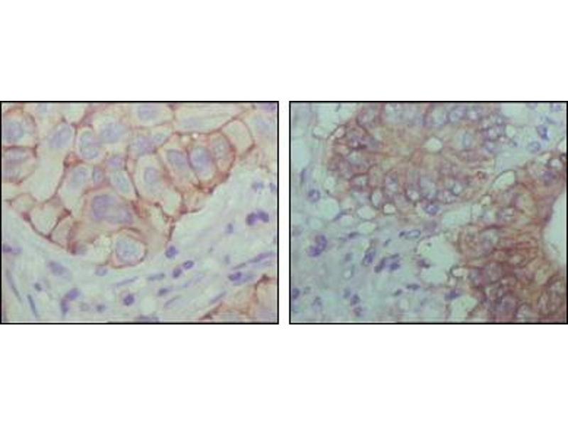
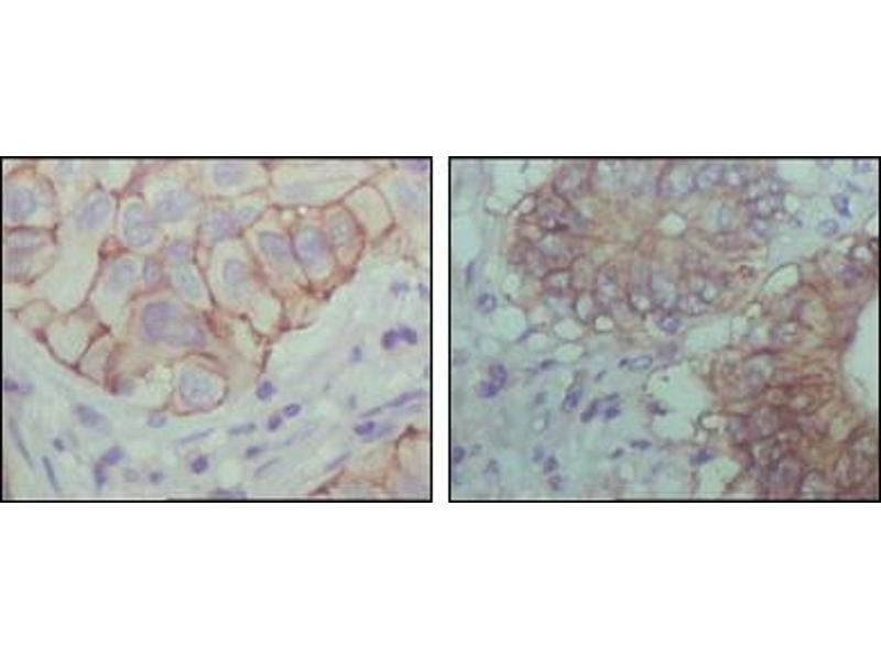
EhpB1 (AA 19-133) anticorps

Il existe 2+ publications pour ce produit. L’anticorps anti-EhpB1 Monoclonal Souris est utilisé pour la détection de EhpB1 dans des échantillons de Humain. Il a été validé pour IHC, ELISA et WB.
N° du produit ABIN1724690
676,34 €
Plus frais de livraison 40,00 € et TVA
100 μL
Destination: France
Envoi sous 7 à 10 jours ouvrables

Aperçu rapide pour EhpB1 (AA 19-133) anticorps (ABIN1724690)

Antigène

EhpB1

Reactivité

Humain

Hôte

Souris

Clonalité

Monoclonal

Application

Immunohistochemistry (IHC), ELISA, Western Blotting (WB)

Clone

5F10A4
  • Épitope

    AA 19-133

    Fonction

    EhpB1 Antibody

    Purification

    Ascitic fluid

    Immunogène

    Purified recombinant fragment of EphB1 (aa19-133) expressed in E. Coli.

    Isotype

    IgG1
  • Indications d'application

    ELISA: 1/10000

    Restrictions

    For Research Use only
  • Format

    Liquid

    Buffer

    Ascitic fluid containing 0.03 % sodium azide.

    Agent conservateur

    Sodium azide

    Précaution d'utilisation

    This product contains Sodium azide: a POISONOUS AND HAZARDOUS SUBSTANCE which should be handled by trained staff only.

    Stock

    4 °C,-20 °C

    Stockage commentaire

    Store at 4°C short term. Aliquot and store at -20°C long term. Avoid freeze/thaw cycles.
  • Huynh-Do, Vindis, Liu, Cerretti, McGrew, Enriquez, Chen, Daniel: "Ephrin-B1 transduces signals to activate integrin-mediated migration, attachment and angiogenesis." dans: Journal of cell science, Vol. 115, Issue Pt 15, pp. 3073-81, (2002) (PubMed).

    Prevost, Woulfe, Tanaka, Brass: "Interactions between Eph kinases and ephrins provide a mechanism to support platelet aggregation once cell-to-cell contact has occurred." dans: Proceedings of the National Academy of Sciences of the United States of America, Vol. 99, Issue 14, pp. 9219-24, (2002) (PubMed).

  • Antigène

    EhpB1

    Sujet

    EhpB1: EPH receptor B1. It is a receptor for ephrin-B family members. Ephrin receptors and their ligands, the ephrins, medate numerous developmental processes, particularly in the nervous system. Based on their structures and sequence relationships, ephrins are divided into the ephrin-A (EFNA) class, which are anchored to the membrane by a glycosylphosphatidylinositol linkage, and the ephrin-B (EFNB) class, which are transmembrane proteins. The Eph family of receptors are divided into 2 groups based on the similarity of their extracellular domain sequences and their affinities for binding ephrin-A and ephrin-B ligands. Ephrin receptors make up the largest subgroup of the receptor tyrosine kinase (RTK) family.

    Poids moléculaire

    110 kDa

    UniProt

    P54762
Vous êtes ici:
Chat with us!