Tel:
+49 (0)241 95 163 153
Fax:
+49 (0)241 95 163 155
E-Mail:
orders@anticorps-enligne.fr

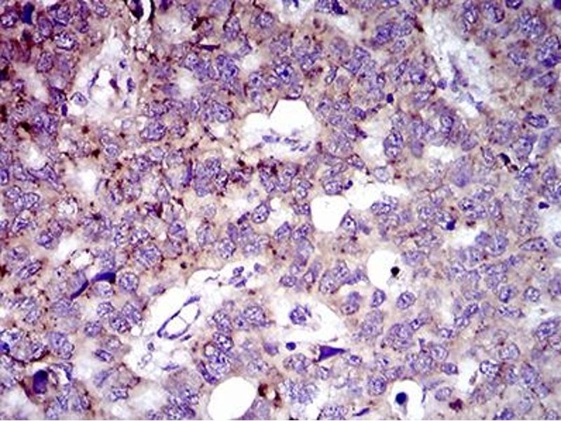
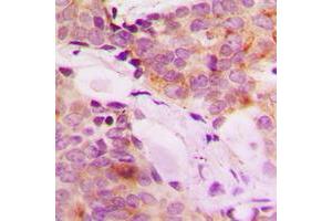
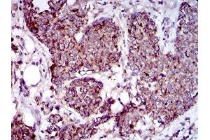
MRPL42 anticorps (AA 10-142)

Cet anticorps Souris Monoclonal détecte spécifiquement MRPL42 dans ELISA, IHC, WB et FACS. Il présente une réactivité avec des échantillons de Humain. Il a été cité dans 2+ publications.
N° du produit ABIN1724818
657,84 €
Plus frais de livraison 40,00 € et TVA
100 μL
Destination: France
Envoi sous 7 à 10 jours ouvrables

Aperçu rapide pour MRPL42 anticorps (AA 10-142) (ABIN1724818)

Antigène

Voir toutes MRPL42 Anticorps
MRPL42 (Mitochondrial Ribosomal Protein L42 (MRPL42))

Reactivité

  • 29
  • 1
  • 1
Humain

Hôte

  • 17
  • 12
Souris

Clonalité

  • 19
  • 10
Monoclonal

Conjugué

  • 12
  • 2
  • 2
  • 2
  • 2
  • 2
  • 2
  • 2
  • 2
  • 1
Cet anticorp MRPL42 est non-conjugé

Application

  • 9
  • 9
  • 5
  • 3
  • 2
  • 2
  • 1
ELISA, Immunohistochemistry (IHC), Western Blotting (WB), Flow Cytometry (FACS)

Clone

3H6H2
  • Épitope

    • 5
    • 3
    • 2
    • 1
    • 1
    • 1
    AA 10-142

    Fonction

    MRPL42 Antibody

    Purification

    Ascitic fluid

    Immunogène

    Purified recombinant fragment of human MRPL42 (AA: 10-142) expressed in E. Coli.

    Isotype

    IgG1
  • Indications d'application

    ELISA: 1/10000

    FCM: 1/200 - 1/400

    Restrictions

    For Research Use only
  • Format

    Liquid

    Buffer

    Ascitic fluid containing 0.03 % sodium azide.

    Agent conservateur

    Sodium azide

    Précaution d'utilisation

    This product contains Sodium azide: a POISONOUS AND HAZARDOUS SUBSTANCE which should be handled by trained staff only.

    Stock

    4 °C,-20 °C

    Stockage commentaire

    Store at 4°C short term. Aliquot and store at -20°C long term. Avoid freeze/thaw cycles.
  • Zhang, Gerstein: "Identification and characterization of over 100 mitochondrial ribosomal protein pseudogenes in the human genome." dans: Genomics, Vol. 81, Issue 5, pp. 468-80, (2003) (PubMed).

    Koc, Burkhart, Blackburn, Moyer, Schlatzer, Moseley, Spremulli: "The large subunit of the mammalian mitochondrial ribosome. Analysis of the complement of ribosomal proteins present." dans: The Journal of biological chemistry, Vol. 276, Issue 47, pp. 43958-69, (2001) (PubMed).

  • Antigène

    MRPL42 (Mitochondrial Ribosomal Protein L42 (MRPL42))

    Autre désignation

    MRPL42

    Sujet

    Mammalian mitochondrial ribosomal proteins are encoded by nuclear genes and help in protein synthesis within the mitochondrion. Mitochondrial ribosomes (mitoribosomes) consist of a small 28S subunit and a large 39S subunit. They have an estimated 75 % protein to rRNA composition compared to prokaryotic ribosomes, where this ratio is reversed. Another difference between mammalian mitoribosomes and prokaryotic ribosomes is that the latter contain a 5S rRNA. Among different species, the proteins comprising the mitoribosome differ greatly in sequence, and sometimes in biochemical properties, which prevents easy recognition by sequence homology. This gene encodes a protein identified as belonging to both the 28S and the 39S subunits. Alternative splicing results in multiple transcript variants. Pseudogenes corresponding to this gene are found on chromosomes 4q, 6p, 6q, 7p, and 15q.

    Poids moléculaire

    16.6 kDa

    ID gène

    28977

    UniProt

    Q9Y6G3
Vous êtes ici:
Chat with us!