Tel:
+49 (0)241 95 163 153
Fax:
+49 (0)241 95 163 155
E-Mail:
orders@anticorps-enligne.fr

Acetyl-CoA Carboxylase beta anticorps (Internal Region)

Cet anticorps Chèvre Polyclonal détecte spécifiquement Acetyl-CoA Carboxylase beta dans ELISA et IHC. Il présente une réactivité avec des échantillons de Humain.
N° du produit ABIN1781821
488,25 €
Plus frais de livraison 40,00 € et TVA
100 μg
Destination: France
Envoi sous 5 à 8 jours ouvrables

Aperçu rapide pour Acetyl-CoA Carboxylase beta anticorps (Internal Region) (ABIN1781821)

Antigène

Voir toutes Acetyl-CoA Carboxylase beta (ACACB) Anticorps
Acetyl-CoA Carboxylase beta (ACACB)

Reactivité

  • 28
  • 6
  • 4
  • 1
Humain

Hôte

  • 27
  • 2
  • 1
Chèvre

Clonalité

  • 23
  • 7
Polyclonal

Conjugué

  • 16
  • 1
  • 1
  • 1
  • 1
  • 1
  • 1
  • 1
  • 1
  • 1
  • 1
  • 1
  • 1
  • 1
  • 1
Cet anticorp Acetyl-CoA Carboxylase beta est non-conjugé

Application

  • 13
  • 13
  • 13
  • 9
  • 6
  • 4
  • 4
  • 4
  • 4
  • 2
  • 2
ELISA, Immunohistochemistry (IHC)

Classe de qualité

Verified
  • Épitope

    • 15
    • 2
    • 1
    • 1
    • 1
    • 1
    • 1
    • 1
    • 1
    Internal Region

    Fonction

    Acacb (mouse)

    Séquence

    TLNVQESGRV KYIKR

     Réactivité croisée

    Souris, Porc, Rat

    Purification

    Purified from goat serum by ammonium sulphate precipitation followed by antigen affinity chromatography using the immunizing peptide.

    Isotype

    IgG
  • Indications d'application

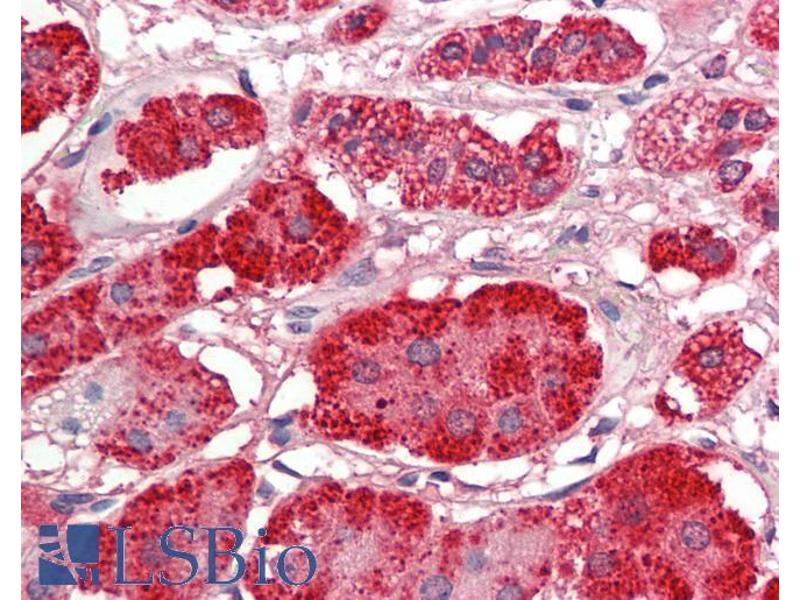
    Immunohistochemistry: Paraffin embedded Human Adrenal Gland. Recommended concentration: 5 μg/mL.

    Western Blot: Not yet tested - our routinely used western blotting protocol does not allow detection of proteins as large as the calculated size of 277 kDa according to NP_001084.3. Therefore we cannot recommend an optimal concentration and the antibody i

    Peptide ELISA: antibody detection limit dilution 1:16000.

    Restrictions

    For Research Use only
  • Format

    Liquid

    Concentration

    0.5 mg/mL

    Buffer

    Supplied at 0.5 mg/mL in Tris saline, 0.02 % sodium azide, pH 7.3 with 0.5 % bovine serum albumin.

    Agent conservateur

    Sodium azide

    Précaution d'utilisation

    This product contains Sodium azide: a POISONOUS AND HAZARDOUS SUBSTANCE which should be handled by trained staff only.

    Conseil sur la manipulation

    Minimize freezing and thawing.

    Stock

    -20 °C

    Stockage commentaire

    Aliquot and store at -20°C, with minimal freeze/thawing. A working aliquot may be refrigerated at 4°C for a few weeks and still remain viable.
  • Antigène

    Acetyl-CoA Carboxylase beta (ACACB)

    Autre désignation

    Acacb

    Sujet

    Acacb, acetyl-CoA carboxylase beta, Acc2, Accb, AI597064, AW743042

    ID gène

    100705, 116719

    NCBI Accession

    NP_598665

    Pathways

    AMPK Signaling, Ribonucleoside Biosynthetic Process
Vous êtes ici:
Chat with us!